インビザラインによってワイヤー矯正では難しかった開咬のケースが可能になりました。
| 主訴 | |
![]()
| |
| 診断 | 開咬 |
| 開始年齢 | 7才 |
| 矯正装置 | 拡大床、リンガルアーチ |
| 抜歯部位 | 親知らず(予定) |
| 動的治療期間 | 1年6か月 |
| 総費用 | 検証料+前期基本料金¥210,000+管理料×来院回数 |
| コメント | 通常は開咬のケースは難しいのですが、このケースはたまたま前期治療だけで直りました。 |
| 矯正にはリスク・副作用があります▶ | |
| 主訴 | |
![]()
| |
| 診断 | 開咬、下顎前歯欠如 |
| 開始年齢 | 10才 |
| 矯正装置 | マルチブラケット装置、パラタルバー、リンガルアーチ |
| 抜歯部位 | 上の4と左下の7(左下1と右下の8は先天欠如) |
| 動的治療期間 | 3年8か月 |
| 総費用 | 検証料+後期基本料金¥456,000+管理料×来院回数 |
| コメント | 抜歯が必要なケースなので、もう少し後から開始しても良かったです。奥歯もキレイに咬んでいます。 |
| 矯正にはリスク・副作用があります▶ | |
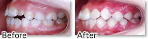
| 主訴 | 歯並び |
![]()
| |
| 診断 | 開咬+叢生 |
| 開始年齢 | 11才 |
| 矯正装置 | マルチブラケット装置、リンガルアーチ |
| 抜歯部位 | 親知らず |
| 動的治療期間 | 2年8か月 |
| 総費用 | 検証料+後期基本料金¥456,000+管理料×来院回数 |
| コメント | 通常の矯正を行った後、しばらく経過してから親知らずを抜歯しています。 |
| 矯正にはリスク・副作用があります▶ | |
当院の治療例はこちらからご覧いただけます。
治療費用の詳細はこちら
料金ページを見る




