お子様の矯正は期間は長くなりますが、成人矯正と比べて小臼歯抜歯の可能性が低く、 新しい咬み合わせにフィットするように顔面が成長するので後戻りが少ない場合がほとんどです。
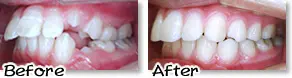
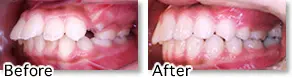
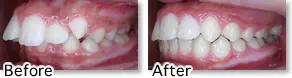
| 主訴 | 前歯の歯並び |
|
|
|
| 診断 | 上顎前突、叢生 |
| 開始年齢 | 7才 |
| 矯正装置 | 拡大床、マルチブラケット装置 |
| 抜歯部位 | 非抜歯→上の7と下の8 |
| 歯を動かした期間 | 1年11か月 |
| 総費用 | 検証料+前期基本料金¥136,000+管理料×来院回数 |
| コメント | 「前歯がガタガタ」ということで来院されました。あごを広げて前歯のガタガタは解消したのですが、かみ合わせが深いので、今後、奥歯を含めた仕上げの矯正が必要です。 歯をヤスリで削らずに矯正を行っているため、仕上がりがそこそこです。現在では、デジタルスキャンを行い、歯の大きさを正確に測定して、大きめの歯の幅を少しヤスリで削り、インビザラインを用いることでより美しく仕上げることも行っています。 |
| 矯正にはリスク・副作用があります▶ | |
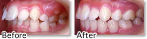
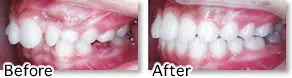
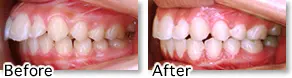
| 主訴 | 前歯が出ている |
|
|
|
| 診断 | 上顎前突 |
| 開始年齢 | 7才 |
| 矯正装置 | 拡大床、リンガルアーチ、Multi-Family |
| 抜歯部位 | |
| 歯を動かした期間 | 4年5か月(拡大ストップ期間1年を含む) |
| 総費用 |
検証料+前期基本料金¥210,000+管理料X来院回数 |
| コメント | Ⅰ期矯正のみである程度改善したので、Ⅱ期矯正は行いませんでした。歯をヤスリで削らずに治療を行っているため、仕上がりがそこそこです。現在では、デジタルスキャンを行い、歯の大きさを正確に測定して、大きめの歯の幅を少しヤスリで削り、インビザラインを用いることでより美しく仕上げることも行っています。 |
| 矯正にはリスク・副作用があります▶ | |
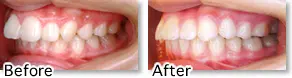
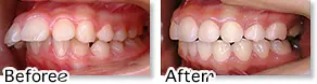
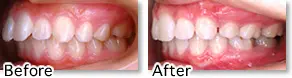
| 主訴 | 出っ歯 |
|
|
|
| 診断 | 上顎前突 |
| 開始年齢 | 8才 |
| 矯正装置 | マルチブラケット装置、クアドヘリックス、バイトプレート |
| 抜歯部位 | 上下の8番目の歯 |
| 歯を動かした期間 | 3年11か月 |
| 総費用 | 検証料+前期基本料金¥486,000+管理料×来院回数 |
| コメント | 「出っ歯」ということでご来院されましたが、調べたところ上の歯が前に傾いていて、上顎は特に大きくはありませんでした。まだ8歳だったのですが、かなり永久歯に生え変わっていたので、ワイヤー矯正しました。7番目の歯がはえてくるのが12歳だったので、その歯がキレイに並んだのを確認して終了しました。小臼歯は非抜歯で矯正できました。 |
| 矯正にはリスク・副作用があります▶ | |
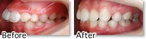
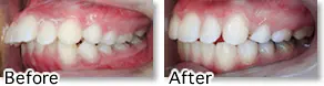
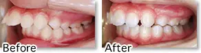
| 主訴 | 出っ歯 |
|
|
|
| 診断 | 過蓋咬合、上顎前突 |
| 開始年齢 | 8才 |
| 矯正装置 | 拡大床、マイオブレース |
| 抜歯部位 | なし |
| 歯を動かした期間 | 1年5か月 |
| 総費用 | 検証料+前期基本料金¥283,000+管理料×来院回数 |
| コメント | 「出っ歯」で来院されましたが、調べてみたらスペース不足で上の前歯が外側、下の前歯が内側に倒れていました。上下の顎を広げて多少は改善しましたが、依然として下の前歯が後ろに倒れているので将来、奥歯も含めた仕上げの後期矯正を行った方が良いと思います。 |
| 矯正にはリスク・副作用があります▶ | |
| 主訴 | 歯並びが悪い |
|
|
|
| 診断 | 上顎前突 |
| 開始年齢 | 8才 |
| 矯正装置 | マルチブラケット装置、クアドヘリックス、拡大床 |
| 抜歯部位 | 下の親知らず |
| 歯を動かした期間 |
前期:2年5か月 (第二大臼歯の萌出を2年2か月待って) 後期:8か月 |
| 総費用 |
検証料+前期+後期基本料金¥576,000+管理料×来院回数 |
| コメント | 低年齢から第一期矯正を行うことで期間は長くなりましたが、小臼歯を抜くことなく安定した咬合ときれいな歯並びを得ることができました。 |
| 矯正にはリスク・副作用があります▶ | |
| 主訴 | |
|
|
|
| 診断 | 上顎前突 |
| 開始年齢 | 8才 |
| 矯正装置 | 拡大床、マルチブラケット装置 |
| 抜歯部位 | 下の親知らず |
| 歯を動かした期間 |
4年6か月 |
| 総費用 |
検証料+前期+後期基本料金¥576,000+管理料×来院回数 |
| コメント | 上顎前突という診断で歯の交換待って、上の小臼歯を抜歯して矯正という流れになりがちなケースですが、時間をかけて早期治療を行ったことで、なんとか小臼歯非抜歯で治療できました。お子さんには、大きな可能性があります。その可能性を無視した診断に基づく矯正治療は私は間違っていると考えています。 |
| 矯正にはリスク・副作用があります▶ | |
| 主訴 | 出っ歯、歯並び |
|
|
|
| 診断 | 上顎前突、叢生 |
| 開始年齢 | 9才 |
| 矯正装置 | マルチブラケット装置 |
| 抜歯部位 | 下の8 |
| 歯を動かした期間 | 1年10か月 |
| 総費用 | 検証料+後期基本料金¥456,000+管理料×来院回数 |
| コメント | 「前歯が出ててガタガタ」ということで来院されました。調べてみると簡単なケースだったので、ワイヤー矯正とゴムの使用で短期間で小臼歯を抜かずに治療ができました。歯をヤスリで削らずに治療を行っているため、仕上がりがそこそこです。現在では、デジタルスキャンを行い、歯の大きさを正確に測定して、大きめの歯の幅を少しヤスリで削り、インビザラインを用いることでより美しく仕上げることも行っています。 |
| 矯正にはリスク・副作用があります▶ | |
| 主訴 | 出っ歯 |
|
|
|
| 診断 | 上顎前突、過蓋咬合 |
| 開始年齢 | 9才 |
| 矯正装置 | マルチブラケット装置、拡大床 |
| 抜歯部位 | 小臼歯、親知らず(予定) |
| 歯を動かした期間 |
前期:1年3か月 後期:2年11か月 |
| 総費用 | 検証料+前期+後期基本料金¥576,000+管理料×来院回数 |
| コメント | 「出っ歯」ということで来院されました。最初は小臼歯を非抜歯で進めたのですが、「もっと上の前歯を下げたい」とのご希望で、上の小臼歯を抜歯する治療に切り替えたため、トータルの期間が長くなりました。奥歯の噛み合わせは通常とは異なります。 |
| 矯正にはリスク・副作用があります▶ | |
| 主訴 | 前歯が出ている |
|
|
|
| 診断 | 上顎前突、過蓋咬合、正中離開 |
| 開始年齢 | 9才 |
| 矯正装置 | 拡大床、マルチブラケット装置、リンガルアーチ |
| 抜歯部位 | 上下の8 |
| 歯を動かした期間 | 2年7か月 |
| 総費用 | 検証料+後期基本料金¥456,000+管理料×来院回数 |
| コメント | 「前歯が出ている」で来院されました。スペースは充分にあったので、顎の拡大は行わずに、一つ一つの歯にブラケットをつけ、スペースを利用して前歯を下げることができました。 |
| 矯正にはリスク・副作用があります▶ | |
| 主訴 | 前歯が出ている |
|
|
|
| 診断 | 上顎前突 |
| 開始年齢 | 9才 |
| 矯正装置 | マルチブラケット装置、バイトプレート |
| 抜歯部位 | 右下8(左下8なし) |
| 動的治療期間 | 4年9か月 |
| 総費用 |
検証料+後期基本料金¥516,000+管理料×来院回数 |
| コメント | 早期から始めた事で期間は長くなりましたが、下顎の成長を利用し、小臼歯非抜歯で治す事ができました。歯をヤスリで削らずに治療を行っているため、仕上がりがそこそこです。現在では、デジタルスキャンを行い、歯の大きさを正確に測定して、大きめの歯の幅を少しヤスリで削り、インビザラインを用いることでより美しく仕上げることも行っています。 |
| 矯正にはリスク・副作用があります▶ | |
| 主訴 | 前歯が出ている |
|
|
|
| 診断 | 上顎前突、過蓋咬合 |
| 開始年齢 | 9才 |
| 矯正装置 | 拡大床、マルチブラケット装置、バイオネーター |
| 抜歯部位 | 下の親知らず |
| 歯を動かした期間 | 4年9か月 |
| 総費用 |
検証料+前期+後期基本料金¥606,000+管理料×来院回数 |
| コメント | 低年齢から顎を拡大し、下顎の前方への成長を誘導し、ワイヤー矯正で仕上げました。上の歯を少しずつ削ることでより緊密な咬合は得られると思いますが、そこまでは希望されませんでした。 |
| 矯正にはリスク・副作用があります▶ | |
| 主訴 | 出っ歯 |
|
|
|
| 診断 | 上顎前突 |
| 開始年齢 | 9才 |
| 矯正装置 | マルチブラケット装置、パラタルバー |
| 抜歯部位 | 上の4、下の親知らず、(下の5は先天欠如) |
| 動的治療期間 | 4年9か月 |
| 総費用 |
検証料+後期基本料金¥456,000+管理料×来院回数 |
| コメント | このケースは、審美的な理由から小臼歯を上下2本ずつ抜歯して矯正を行いました。 |
| 矯正にはリスク・副作用があります▶ | |
| 主訴 | 出っ歯 |
|
|
|
| 診断 | 上顎前突 |
| 開始年齢 | 9才 |
| 矯正装置 | 拡大床、マルチブラケット装置、リンガルアーチ |
| 抜歯部位 | 下の親知らず |
| 歯を動かした期間 | 前期2年2か月、後期2年9か月 |
| 総費用 |
検証料+前期+後期基本料金¥606,000+管理料×来院回数 |
| コメント | 歯をヤスリで削らずに治療を行っているため、仕上がりがそこそこです。現在では、デジタルスキャンを行い、歯の大きさを正確に測定して、大きめの歯の幅を少しヤスリで削り、インビザラインを用いることでより美しく仕上げることも行っています。 |
| 矯正にはリスク・副作用があります▶ | |
| 主訴 | 歯並び |
|
|
|
| 診断 | 上顎前突、過蓋咬合、叢生 |
| 開始年齢 | 10才 |
| 矯正装置 | ホールディングアーチ、パラタルバー、バイオネーター、マルチブラケッ ト装置、ヘッドギア |
| 抜歯部位 | 小臼歯、親知らず |
| 歯を動かした期間 | 4年6か月 |
| 総費用 | 検証料++後期基本料金¥516,000+管理料×来院回数 |
| コメント | 「歯のガタガタ」でご来院されました。調べてみると下顎は小さかったのですが、保護者が背が高い方でしたので、身長の伸びる時期に下顎がかなり成長することを警戒して、抜歯を延期して治療を1.5年程度停止しました。しかし、下顎の前方への成長が予想を下回ったため、小さい下顎に上の顎を合わせるために上の小臼歯を2本抜歯し、下の小臼歯は非抜歯で矯正を行いました。 |
| 矯正にはリスク・副作用があります▶ | |
| 主訴 | 前歯が出ている |
|
|
|
| 診断 | 上顎前突 |
| 開始年齢 | 10才 |
| 矯正装置 | パラタルバー、ヘッドギア、マルチブラケット装置、リンガルアーチ |
| 抜歯部位 | 下の8と左上の7 |
| 歯を動かした期間 | 4年4か月 |
| 総費用 | 検証料+後期基本料金¥486,000+管理料×来院回数 |
| コメント | 「前歯が出ているが抜歯矯正したくない」と来院されました。ワイヤー矯正を行いましたが、上の前突感が残ったため、小臼歯は抜かずに 下の親知らずと左上の第二大臼歯を抜歯して28本歯を残して矯正しました(クリックで動画が開きます)。左上の親知らずの萌出を待ったため、時間がかかりました。 |
| 矯正にはリスク・副作用があります▶ | |
| 主訴 | 前歯が出ている |
|
|
|
| 診断 | 上顎前突 |
| 開始年齢 | 10才 |
| 矯正装置 | マルチブラケット装置、パラタルバー |
| 抜歯部位 | 上の4と下の8 |
| 歯を動かした期間 | 6年4か月 |
| 総費用 | 検証料+後期基本料金¥456,000+管理料×来院回数 |
| コメント | 「前歯が出ている」でお越しになりました。2か月に一度しかご来院がなく、更に途中8か月の中断があったため時間がかかりました。 |
| 矯正にはリスク・副作用があります▶ | |
| 主訴 | 前歯が出ている |
|
|
|
| 診断 | 上顎前突 |
| 開始年齢 | 10才 |
| 矯正装置 | マルチブラケット装置 |
| 抜歯部位 | 親知らず |
| 歯を動かした期間 | 3年1か月 |
| 総費用 | 検証料+後期基本料金¥456,000+管理料×来院回数 |
| コメント | 「前歯が出ている」で来院されました。口元は出ていなかったので、乳歯がまだ残っている時期からワイヤー矯正を行い、小臼歯は抜かずに治療を行いました。歯をヤスリで削らずに矯正を行っているため、仕上がりがそこそこです。現在では、デジタルスキャンを行い、歯の大きさを正確に測定して、大きめの歯の幅を少しヤスリで削り、インビザラインを用いることでより美しく仕上げることも行っています。 |
| 矯正にはリスク・副作用があります▶ | |
| 主訴 | 前歯が出ている |
|
|
|
| 診断 | 上顎前突 |
| 開始年齢 | 10才 |
| 矯正装置 | バイオネーター、マルチブラケット装置 |
| 抜歯部位 | なし |
| 歯を動かした期間 | 3年1か月 |
| 総費用 | 検証料+後期基本料金¥486,000+管理料×来院回数 |
| コメント | 「前歯が出ている」とご来院されました。口元がでているわけではないので、小臼歯を抜歯せずに矯正を行いました。下唇の力が非常に強かったため、下顎前歯をもっと前に出すことはできませんでした。上の歯をヤスリで削らずに矯正を行っているため、仕上がりがそこそこです。現在では、デジタルスキャンを行い、歯の大きさを正確に測定して、大きめの歯の幅を少しヤスリで削り、インビザラインを用いることでより美しく仕上げることも行っています。 |
| 矯正にはリスク・副作用があります▶ | |
| 主訴 | 歯が出ている |
|
|
|
| 診断 | 上顎前突、過蓋咬合 |
| 開始年齢 | 10才 |
| 矯正装置 | マルチブラケット装置、パラタルバー、ヘッドギア |
| 抜歯部位 | 右上の4以外は5と親知らず(予定) |
| 歯を動かした期間 | 9年 |
| 総費用 | 検証料+後期基本料金¥486,000+管理料×来院回数 |
| コメント | 口元があまり出ていない方でしたが、「歯が出ている」で来院されました。最初は非抜歯で矯正を進めたのですが、やはり口元を下げてほしいとのことでした。最初の時点で奥歯のかみ合わせが左右非対称だったため、種類の異なる小臼歯を計4本抜歯して矯正を行いました。横顔は美しくはなりましたが、個人的には抜歯して口元を下げる必要はそこまで |
| 矯正にはリスク・副作用があります▶ | |
| 主訴 | 前歯が出ている |
|
|
|
| 診断 | 上顎前突 |
| 開始年齢 | 10才 |
| 矯正装置 | 拡大床、マルチブラケット装置、クアドヘリックス |
| 抜歯部位 | 親しらず |
| 歯を動かした期間 | 3年6か月 |
| 総費用 | 検証料+後期基本料金¥516,000+管理料×来院回数 |
| コメント | 「前歯が出ている」とご来院されました。小臼歯を抜歯せずに矯正を行いました。上の歯をヤスリで削らずに矯正を行っているため、仕上がりがそこそこです。現在では、デジタルスキャンを行い、歯の大きさを正確に測定して、大きめの歯の幅を少しヤスリで削り、インビザラインを用いることでより美しく仕上げることも行っています。 |
| 矯正にはリスク・副作用があります▶ | |
| 主訴 | 前歯が出ている |
|
|
|
| 診断 | 上顎前突 |
| 開始年齢 | 10才 |
| 矯正装置 | マルチブラケット装置、クアドヘリックス、リンガルアーチ、バイヘリックス |
| 抜歯部位 | 下の親知らず |
| 歯を動かした期間 | 4年4か月 |
| 総費用 | 検証料+後期基本料金¥486,000+管理料×来院回数 |
| コメント | 「前歯が出ている」ということで来院されましたが、調べてみると下顎の小さい方でした。成長を利用することで小臼歯は非抜歯で治療することができました。男子の場合は、このケースのように下顎が劇的に前に成長するケースがありますので、安易に上の小臼歯を抜歯すると、後で下の小臼歯も抜かないといけなくなる場合もあります。このケースの場合は、上の歯を少し削って小さくすれば、より緊密なかみ合わせを作ることができます。 日本歯科矯正専門医学会(JSO)のガイドライン:「上顎前歯が前突した小児(7歳から11歳)に対し、 早期矯正治療を行わないことを強く推奨する。」 を守って治療を延期していたらどうなっていたでしょうか? |
| 矯正にはリスク・副作用があります▶ | |
| 主訴 | 出っ歯 |
|
|
|
| 診断 | 上顎前突、過蓋咬合 |
| 開始年齢 | 10才 |
| 矯正装置 | 拡大床、マルチブラケット装置、バイヘリックス |
| 抜歯部位 | 親しらず |
| 歯を動かした期間 | 5年2か月 |
| 総費用 | 検証料+後期基本料金¥486,000+管理料×来院回数 |
| コメント | 「出っ歯」でご来院されましたが、調べてみたら下顎が小さい方でした。上下の顎を拡大して、下顎の前方への成長を促進させることで、トータルで5年以上かかりましたが、小臼歯を抜かずに治療ができました。成長を待ってから上の小臼歯を抜歯する矯正だと短期間で終了することができます。上の歯をヤスリで削らずに治療を行っているため、仕上がりがそこそこです。現在では、デジタルスキャンを行い、歯の大きさを正確に測定して、大きめの歯の幅を少しヤスリで削り、インビザラインを用いることでより美しく仕上げることも行っています。 |
| 矯正にはリスク・副作用があります▶ | |
| 主訴 | 出っ歯 |
|
|
|
| 診断 | 上顎前突 |
| 開始年齢 | 10才 |
| 矯正装置 | 拡大床、マルチブラケット装置、クアドヘリックス、バイヘリックス |
| 抜歯部位 | なし(親知らずが3本なし) |
| 歯を動かした期間 | 4年6か月 |
| 総費用 | 検証料+後期基本料金¥486,000+管理料×来院回数 |
| コメント | 「出っ歯」でご来院されましたが、調べてみたら下顎が小さい方でした。上下の顎を拡大して、下顎の前方への成長を促進させることで、トータルで4年以上かかりましたが、小臼歯を抜かずに矯正ができました。成長を待ってから上の小臼歯を抜歯する矯正だともっと短期間で終了することができます。上の歯をヤスリで削らずに矯正を行っているため、仕上がりがそこそこです。現在では、デジタルスキャンを行い、歯の大きさを正確に測定して、大きめの歯の幅を少しヤスリで削り、インビザラインを用いることでより美しく仕上げることも行っています。 |
| 矯正にはリスク・副作用があります▶ | |
| 主訴 | 前歯が出ている |
|
|
|
| 診断 | 上顎前突 |
| 開始年齢 | 10才 |
| 矯正装置 | 拡大床、マルチブラケット装置、リンガルアーチ |
| 抜歯部位 | 下の親知らず |
| 動的治療期間 | 2年1か月 |
| 総費用 |
検証料+後期基本料金¥486,000+管理料×来院回数 |
| コメント | 中学生になるまで開始を待つのではなく、早期に適切な処置を行うことで小臼歯を抜かずに前歯を下げ、良好な咬み合わせを作ることができました。上の歯をヤスリで削らずに治療を行っているため、仕上がりがそこそこです。現在では、デジタルスキャンを行い、歯の大きさを正確に測定して、大きめの歯の幅を少しヤスリで削り、インビザラインを用いることでより美しく仕上げることも行っています。 |
| 矯正にはリスク・副作用があります▶ | |
| 主訴 | 歯並びが悪い、顎のズレ、咬めていない |
|
|
|
| 診断 | 上顎前突、叢生 |
| 開始年齢 | 10才 |
| 矯正装置 | マルチブラケット装置、クアドヘリックス |
| 抜歯部位 | 下の親知らず |
| 歯を動かした期間 | 4年9か月 |
| 総費用 |
検証料+後期基本料金¥486,000+管理料×来院回数 |
| コメント | 簡単なケースだったので早期矯正を行わずに第二期治療のみで小臼歯を非抜歯で前歯を下げて良好な咬み合わせを作ることができました。 |
| 矯正にはリスク・副作用があります▶ | |
| 主訴 | 歯並びが悪い、前歯が出ている |
|
|
|
| 診断 | 上顎前突 |
| 開始年齢 | 10才 |
| 矯正装置 | マルチブラケット装置、クアドヘリックス |
| 抜歯部位 | 下の親知らず |
| 歯を動かした期間 | 4年6か月 |
| 総費用 |
検証料+後期基本料金¥486,000+管理料×来院回数 |
| コメント | 小臼歯抜歯と診断されがちのケースです。しかし、親知らずのみの抜歯で歯も一切削らずに矯正できました。伝統的な矯正治療の診断法はインビザライン矯正が普及した現在では必ずしも正しいとは限りません。 |
| 矯正にはリスク・副作用があります▶ | |
| 主訴 | 前歯が出ていて、歯並びも悪い |
|
|
|
| 診断 | 上顎前突、叢生 |
| 開始年齢 |
10才 |
| 矯正装置 | 拡大装置、エッジワイズ装置 |
| 抜歯部位 | 下の親知らず |
| 歯を動かした期間 |
3年11ヶ月 |
| 総費用 |
検証料+後期基本料金¥486,000+管理料×来院回数 |
| コメント | 歯の交換が早く、小臼歯抜歯と診断されがちのケースです。しかし、骨格が良かった上に成長も利用できたので親知らずのみの抜歯で歯も一切削らずに矯正できました。伝統的な矯正の診断法が必ずしも正しいとは限りません。注意が必要です。 |
| 矯正にはリスク・副作用があります▶ | |
| 主訴 | |
|
|
|
| 診断 | 上顎前突、叢生 |
| 開始年齢 |
10才 |
| 矯正装置 | |
| 抜歯部位 | |
| 歯を動かした期間 | |
| 総費用 | |
| コメント | |
| 矯正にはリスク・副作用があります▶ | |
| 主訴 | 歯が出ている、下の歯並び、口元が出ている |
|
|
|
| 診断 | 上顎前突、過蓋咬合、小臼歯欠如 |
| 開始年齢 | 11才 |
| 矯正装置 | マルチブラケット装置 |
| 抜歯部位 | 上の4(下の5は先天欠損) |
| 歯を動かした期間 | 4年 |
| 総費用 | 検証料+後期基本料金¥456,000+管理料×来院回数 |
| コメント | 「歯が出ていて、下の歯がガタガタで、口元が出ている」でご来院でした。お顔が細い方で下の5番目の歯が2本ともなかったので、顎は広げず、上は4番目の歯を2本抜歯して後期矯正を行いました。通常は、上下の7番目の歯がキチンと咬んだことを確認して治療が終了になります。 |
| 矯正にはリスク・副作用があります▶ | |
| 主訴 | 前歯が出ている |
|
|
|
| 診断 | 上顎前突 |
| 開始年齢 | 11才 |
| 矯正装置 | マルチブラケット装置 |
| 抜歯部位 | 下の8 |
| 歯を動かした期間 | 2年1か月 |
| 総費用 | 610,575円(金属ブラケット使用なら:585,375円) |
| コメント | 「前歯が出ている」でご来院されましたが、調べてみたら下顎が小さい方でした。開始年齢は遅かったのですが、歯が小さめの方で、身長の伸びもかなりあったので、短めの矯正治療期間で終了しました。 |
| 矯正にはリスク・副作用があります▶ | |
| 主訴 | 歯が出ている |
|
|
|
| 診断 | 上顎前突 |
| 開始年齢 | 11才 |
| 矯正装置 | マルチブラケット装置、パラタルバー、 |
| 抜歯部位 | 親知らず |
| 歯を動かした期間 | 1年10か月 |
| 総費用 | 検証料+後期基本料金¥456,000+管理料×来院回数 |
| コメント | 小臼歯を抜いて口元を下げるか、抜かずに並べるか迷うケースでしたが、強く非抜歯をご希望されたので、口元が少し出た感じで終了しました。気になるようであれば、調節料のみで再矯正するとお伝えしています。→終了して6年後に再来院されました。上の親知らずを抜歯して終了しました。上の親知らずの抜歯はほとんどのケースで非常に重要です。 |
| 矯正にはリスク・副作用があります▶ | |
| 主訴 | 歯が出ている |
|
|
|
| 診断 | 過蓋咬合、空隙歯列 |
| 開始年齢 | 11才 |
| 矯正装置 | マルチブラケット装置、バイトプレート、パラタルバー |
| 抜歯部位 | 親知らず |
| 歯を動かした期間 | 4年1か月 |
| 総費用 | 検証料+後期基本料金¥486,000+管理料×来院回数 |
| コメント | 「歯が出ている」で来られました。調べてみると骨格に問題はなく、歯が小さくて前に出ているだけでした。乳歯が残っている時期から始め、前歯の咬み合わせが深いままですがもう終わって欲しいとの事で外しました。もっと上の前歯を改善したかったケースです。 |
| 矯正にはリスク・副作用があります▶ | |
| 主訴 | 出っ歯 |
|
|
|
| 診断 | 上顎前突、過蓋咬合 |
| 開始年齢 | 11才 |
| 矯正装置 | マルチブラケット装置、ヘッドギア、パラタルバー、ホールディングアーチ |
| 抜歯部位 | 上下の8 |
| 歯を動かした期間 | 2年5か月 |
| 総費用 | 検証料+後期基本料金¥486,000+管理料×来院回数 |
| コメント | もう少し早く開始したかったケースです。下の親知らずを抜歯しましたが、上の親知らずを抜歯しないまま来院が途絶えてしまいました。上の親知らずを抜かないと上の前歯に影響が出てしまうと思います。歯をヤスリで削らずに矯正を行っているため、仕上がりがそこそこです。現在では、デジタルスキャンを行い、歯の大きさを正確に測定して、大きめの歯の幅を少しヤスリで削り、インビザラインを用いることでより美しく仕上げることも行っています。 |
| 矯正にはリスク・副作用があります▶ | |
| 主訴 | 出っ歯 |
|
|
|
| 診断 | 上顎前突、過蓋咬合 |
| 開始年齢 | 11才 |
| 矯正装置 | 拡大床、クワドヘリックス、リップバンパー、リンガルアーチ、パラタル バー、マルチブラケット装置 |
| 抜歯部位 | 上の4、下の2、親知らず |
| 歯を動かした期間 | 5年9か月 |
| 総費用 | 検証料+後期基本料金¥516,000+管理料×来院回数 |
| コメント | 最初は非抜歯で進めましたが、歯が入りきらなかったため、抜歯矯正に移行し、時間がかかりました。 |
| 矯正にはリスク・副作用があります▶ | |
| 主訴 | 出っ歯 |
|
|
|
| 診断 | 上顎前突、過蓋咬合 |
| 開始年齢 | 11才 |
| 矯正装置 | マルチブラケット装置,パラタルバー |
| 抜歯部位 | 前歯、親知らず |
| 歯を動かした期間 | 2年2か月 |
| 総費用 | 検証料+後期基本料金¥456,000+管理料×来院回数 |
| コメント | 根が発育不良の前歯を抜歯して矯正しました。どの歯を抜歯して矯正を行うかは、将来を見越して慎重に決めた方が良いと思います。 |
| 矯正にはリスク・副作用があります▶ | |
| 主訴 | 出っ歯 |
|
|
|
| 診断 | 上顎前突、過蓋咬合、上顎犬歯欠如 |
| 開始年齢 | 11才 |
| 矯正装置 | マルチブラケット装置、パラタルバー、インプラント |
| 抜歯部位 | 下の8と左上の乳犬歯 |
| 歯を動かした期間 | 4年3か月 |
| 総費用 | 検証料+後期基本料金¥456,000+管理料×来院回数 |
| コメント | 左側の犬歯がなく、乳犬歯が残っていました。乳犬歯を抜いて、小臼歯や大臼歯を大きく前方移動するためにミニスクリューを用いました。 |
| 矯正にはリスク・副作用があります▶ | |
| 主訴 | 出っ歯 |
|
|
|
| 診断 | 上顎前突、過蓋咬合 |
| 開始年齢 | 11才 |
| 矯正装置 | マルチブラケット装置 |
| 抜歯部位 | 右上の7、右上以外の上8 |
| 歯を動かした期間 | 3年6か月 |
| 総費用 | 検証料+後期基本料金¥456,000+管理料×来院回数 |
| コメント | 上の第二大臼歯を抜歯して矯正しました(クリックで動画が開きます)。他は下の親しらずしか抜いていないので歯は全部で28本残っています。深かった咬み合わせが浅くなり安定しています。こういうケースでは上の4番目の歯と8番目の歯を抜く治療が一般的ですが、そうすると歯の総数は26本になってしまいます。 |
| 矯正にはリスク・副作用があります▶ | |
| 主訴 | 出っ歯 |
|
|
|
| 診断 | 上顎前突、叢生 |
| 開始年齢 | 11才 |
| 矯正装置 | マルチブラケット装置,パラタルバー |
| 抜歯部位 | 上の4と下の8 |
| 歯を動かした期間 | 3年7か月 |
| 総費用 | 検証料+後期基本料金¥456,000+管理料×来院回数 |
| コメント | 舌癖があったので苦労しました。舌癖があると、後戻りしやすいので注意が必要です。抜歯矯正は11歳くらいから開始します。このケースでは上の小臼歯を2本抜歯しています。 |
| 矯正にはリスク・副作用があります▶ | |
| 主訴 | 歯が出ている |
|
|
|
| 診断 | 上顎前突 |
| 開始年齢 | 11才 |
| 矯正装置 | マルチブラケット装置 |
| 抜歯部位 | 下の8 |
| 歯を動かした期間 | 3年11か月 |
| 総費用 | 検証料+後期基本料金¥456,000+管理料×来院回数 |
| コメント | 女子としては開始年齢がやや遅かったのですが、なんとか小臼歯は非抜歯で治療できました。 |
| 矯正にはリスク・副作用があります▶ | |
| 主訴 | 出っ歯 |
|
|
|
| 診断 | 上顎前突、過蓋咬合 |
| 開始年齢 | 11才 |
| 矯正装置 | マルチブラケット装置、クアドヘリックス |
| 抜歯部位 | 下の8 |
| 歯を動かした期間 | 3年4か月 |
| 総費用 | 検証料+後期基本料金¥486,000+管理料×来院回数 |
| コメント | 期間はかかりましたが、成長を利用することで深いかみ合わせを改善することができました。このようなケースですべての永久歯を待ってから治療をすると小臼歯の抜歯の可能性が高くなります。 |
| 矯正にはリスク・副作用があります▶ | |
| 主訴 | 前歯が出ている、歯並びが悪い |
|
|
|
| 診断 | 上顎前突、叢生 |
| 開始年齢 | 11才 |
| 矯正装置 | マルチブラケット装置、クアドヘリックス、バイヘリックス |
| 抜歯部位 | 左下の親知らず |
| 歯を動かした期間 | 1年10か月 |
| 総費用 |
検証料+後期基本料金¥486,000+管理料×来院回数 |
| コメント | 中学受験前で矯正治療を行うことを迷っておられましたが、思い切って治療を開始されました。結果的に小臼歯を抜歯せずに前歯を下げ、良好な咬み合わせを作ることができ、志望校にも無事合格されました。 |
| 矯正にはリスク・副作用があります▶ | |
| 主訴 | 出っ歯が気になる |
|
|
|
| 診断 | 上顎前突 |
| 開始年齢 | 11才 |
| 矯正装置 | マルチブラケット装置、クアドヘリックス、リンガルアーチ、バイヘリックス |
| 抜歯部位 | 下の親知らず先天欠如 |
| 歯を動かした期間 | 4年2か月 |
| 総費用 |
検証料+後期基本料金¥486,000+管理料×来院回数 |
| コメント | 低年齢から第一期治療を行ったので期間は長くなりましたが、小臼歯を抜かずに前歯を下げて良好な咬み合わせを作ることができました。 日本歯科矯正専門医学会(JSO)のガイドライン:「上顎前歯が前突した小児(7歳から11歳)に対し、 早期矯正治療を行わないことを強く推奨する。」 を守って治療を延期していたらどうなっていたでしょうか? |
| 矯正にはリスク・副作用があります▶ | |
| 主訴 | 出っ歯が気になる |
|
|
|
| 診断 | 上顎前突 |
| 開始年齢 | 11才 |
| 矯正装置 | マルチブラケット装置、クアドヘリックス |
| 抜歯部位 | 下の親知らず |
| 歯を動かした期間 | 1年9か月 |
| 総費用 |
検証料+後期基本料金¥486,000+管理料×来院回数 |
| コメント | 治療開始がやや遅かったのですが、なんとか小臼歯を抜かずに矯正ができました。上の歯をヤスリで削ればもう少し仕上がりは良くなりますが、そこまではご希望されませんでした。 |
| 矯正にはリスク・副作用があります▶ | |
| 主訴 | |
|
|
|
| 診断 | 上顎前突 |
| 開始年齢 | 11才 |
| 矯正装置 | マルチブラケット装置 |
| 抜歯部位 | 下の親知らず |
| 歯を動かした期間 | 3年11ヶ月 |
| 総費用 |
検証料+後期基本料金¥456,000+管理料×来院回数 |
| コメント | 上の歯をヤスリで削ればもう少し仕上がりは良くなりますが、舌の癖があり、長期的には前歯の間にスキマができる可能性が高いのでこれくらいで止めました。 |
| 矯正にはリスク・副作用があります▶ | |
| 主訴 | 前歯が出ている |
|
|
|
| 診断 | 上顎前突 |
| 開始年齢 | 12才 |
| 矯正装置 | 拡大床、マルチブラケット装置 |
| 抜歯部位 | 下の8 |
| 歯を動かした期間 | 2年9か月 |
| 総費用 |
検証料+後期基本料金¥486,000+管理料×来院回数 |
| コメント | 簡単なケースだったので後期治療で遅めのスタートでしたが、きれいに直すことができました。 |
| 矯正にはリスク・副作用があります▶ | |
| 主訴 | 出っ歯 |
|
|
|
| 診断 | 上顎前突 |
| 開始年齢 | 12才 |
| 矯正装置 | マルチブラケット装置、ハイプルヘッドギアー、パラタルバー |
| 抜歯部位 | 上の4と上下の8 |
| 歯を動かした期間 | 4年2か月 |
| 総費用 | 検証料+後期基本料金¥486,000+管理料×来院回数 |
| コメント | 当時はヘッドギアーを使用して長期間治療しましたが、現在はミニスクリューを用いるので期間は短縮できます。奥歯もキレイに咬んでいます。上の小臼歯を2本抜歯し、下の歯はヤスリで少し幅を少なくしています。 |
| 矯正にはリスク・副作用があります▶ | |
| 主訴 | 出っ歯、歯並び |
|
|
|
| 診断 | 上顎前突、叢生 |
| 開始年齢 | 12才 |
| 矯正装置 | ホールディングアーチ、ヘッドギア、マルチブラケット装置、バイトプレート |
| 抜歯部位 | 小臼歯、親知らず |
| 歯を動かした期間 | 4年9か月 |
| 総費用 | 検証料+後期基本料金¥486,000+管理料×来院回数 |
| コメント | 前期矯正で長期間ヘッドギアを使用後、後期矯正を行いました。低年令から開始しても非抜歯では無理なケースです。 「アゴを広げる+抜歯」でスペースを多く作る必要があります。現在はミニスクリューを用いるので期間は短縮できます。 |
| 矯正にはリスク・副作用があります▶ | |
| 主訴 | 出っ歯 |
|
|
|
| 診断 | 上顎前突 |
| 開始年齢 | 12才 |
| 矯正装置 | マルチブラケット装置、パラタルバー |
| 抜歯部位 | 上の4(下の8は予備でおいてます) |
| 歯を動かした期間 | 2年5か月 |
| 総費用 | 検証料+後期基本料金¥456,000+管理料×来院回数 |
| コメント | 抜歯矯正は11歳~14歳くらいから行うことが多いです。拡大の必要がなければ、小臼歯非抜歯のケースより期間は短い場合が多いです。 |
| 矯正にはリスク・副作用があります▶ | |
| 主訴 | 前歯が出ている |
|
|
|
| 診断 | 上顎前突 |
| 開始年齢 | 12才 |
| 矯正装置 | マルチブラケット装置、ヘッドギア |
| 抜歯部位 | 親知らず(予定) |
| 歯を動かした期間 | 3年2か月 |
| 総費用 | 検証料+後期基本料金¥486,000+管理料×来院回数 |
| コメント | 12歳でしたが、ヘッドギアを頑張ってもらえて、小臼歯を非抜歯で治療できました。今ならインビザラインで治療すると思います。 |
| 矯正にはリスク・副作用があります▶ | |
| 主訴 | 歯並び |
|
|
|
| 診断 | 下顎前歯欠如、叢生、過蓋咬合、上顎前突 |
| 開始年齢 | 12才 |
| 矯正装置 | マルチブラケット装置 |
| 抜歯部位 | 親知らず |
| 歯を動かした期間 | 1年8か月 |
| 総費用 | 検証料+後期基本料金¥456,000+管理料×来院回数 |
| コメント | 下顎前歯が3本しかないケースです。上顎の抜歯を希望されなかったために、前歯の前突が残っています。歯をヤスリで削らずに矯正を行っているため、仕上がりがそこそこです。現在では、デジタルスキャンを行い、歯の大きさを正確に測定して、大きめの歯の幅を少しヤスリで削り、インビザラインを用いることでより美しく仕上げることも行っています。 |
| 矯正にはリスク・副作用があります▶ | |
| 主訴 | 歯並び |
|
|
|
| 診断 | 上顎前突 |
| 開始年齢 | 12才 |
| 矯正装置 | マルチブラケット装置、パラタルバー |
| 抜歯部位 | 上の4 |
| 歯を動かした期間 | 2年4か月 |
| 総費用 | 検証料+後期基本料金¥456,000+管理料×来院回数 |
| コメント | 上の小臼歯を2本抜歯して、下は非抜歯で並べました。今なら上は小臼歯ではなく前から7番目の歯を抜いて治療するかもしれません。 |
| 矯正にはリスク・副作用があります▶ | |
| 主訴 | 出っ歯 |
|
|
|
| 診断 | 上顎前突 |
| 開始年齢 | 12才 |
| 矯正装置 | マルチブラケット装置、リンガルアーチ |
| 抜歯部位 | 下の8 |
| 歯を動かした期間 | 2年6か月 |
| 総費用 | 検証料+後期基本料金¥456,000+管理料×来院回数 |
| コメント | 成長期に矯正を開始したため、非抜歯で上顎前突を改善できました。歯をヤスリで削らずに治療を行っているため、仕上がりがそこそこです。現在では、デジタルスキャンを行い、歯の大きさを正確に測定して、大きめの歯の幅を少しヤスリで削り、インビザラインを用いることでより美しく仕上げることも行っています。 |
| 矯正にはリスク・副作用があります▶ | |
| 主訴 | 出っ歯 |
|
|
|
| 診断 | 上顎前突 |
| 開始年齢 | 12才 |
| 矯正装置 | マルチブラケット装置、パラタルバー、インプラントアンカー |
| 抜歯部位 | 上の4、親知らず |
| 歯を動かした期間 | 3年5か月 |
| 総費用 | 検証料+後期基本料金¥456,000+管理料×来院回数 |
| コメント | 前歯を最大限に後ろに引かないといけなかったのでインプラントアンカーを使用しました。 |
| 矯正にはリスク・副作用があります▶ | |
| 主訴 | 八重歯、かみ合っていない |
|
|
|
| 診断 | 叢生、上顎前突 |
| 開始年齢 | 12才 |
| 矯正装置 | マルチブラケット装置 |
| 抜歯部位 | 下の親知らず |
| 歯を動かした期間 | 2年4か月 |
| 総費用 |
561,160円(金属ブラケットなら:526,600円) |
| コメント | 装置に対する反応が良く、比較的容易に改善しました。 |
| 矯正にはリスク・副作用があります▶ | |
| 主訴 | |
|
|
|
| 診断 | 上顎前突出っ歯 |
| 開始年齢 | 12才 |
| 矯正装置 | ポーター、マルチブラケット装置、リンガルアーチ |
| 抜歯部位 | 親知らず(予定) |
| 歯を動かした期間 | 2年7ヶ月 |
| 総費用 |
検証料+後期基本料金¥486,000+管理料×来院回数 |
| コメント | 12歳でしたが、男子でまだ乳歯が残っていたため、骨も柔らかく治療は比較的容易でした。年令よりもどれくらい乳歯が残っているかが小臼歯非抜歯で治療する上で影響が大きいように感じています。 |
| 矯正にはリスク・副作用があります▶ | |
| 主訴 | 出っ歯 |
|
|
|
| 診断 | 上顎前突 |
| 開始年齢 | 13才 |
| 矯正装置 | マルチブラケット装置、パラタルバー、ヘッドギア |
| 抜歯部位 | 上の4と下の8 |
| 歯を動かした期間 | 2年3か月 |
| 総費用 | 検証料+後期基本料金¥486,000+管理料×来院回数 |
| コメント | このケースは、開始年齢が遅めでしたので、上だけ小臼歯を抜歯して矯正しました。今なら上の第二大臼歯を抜歯して小臼歯非抜歯で治療すると思います。 |
| 矯正にはリスク・副作用があります▶ | |
| 主訴 | 出っ歯 |
|
|
|
| 診断 | 上顎前突 |
| 開始年齢 | 13才 |
| 矯正装置 | マルチブラケット装置 |
| 抜歯部位 | 親知らず(予定) |
| 歯を動かした期間 | 2年8か月 |
| 総費用 | 検証料+後期基本料金¥456,000+管理料×来院回数 |
| コメント | 上の歯をヤスリで少しずつ小さくすれば、もっと美しく仕上げることができます。 |
| 矯正にはリスク・副作用があります▶ | |
| 主訴 | 出っ歯 |
|
|
|
| 診断 | 上顎前突 |
| 開始年齢 | 13才 |
| 矯正装置 | マルチブラケット装置、パラタルバー、ヘッドギア |
| 抜歯部位 | 親知らず |
| 動的治療期間 | 4年4か月 |
| 総費用 | 検証料+後期基本料金¥486,000+管理料×来院回数 |
| コメント | 時間はかかりましたが、ヘッドギアを使用し、成長を利用することで非抜歯で奥歯のかみ合わせまで改善しています。男子だったので何とか間に合いましたが、女子の場合はもっと早くから開始した方が良いです。歯をヤスリで削らずに治療を行っているため、仕上がりがそこそこです。現在では、デジタルスキャンを行い、歯の大きさを正確に測定して、大きめの歯の幅を少しヤスリで削り、インビザラインを用いることでより美しく仕上げることも行っています。 |
| 矯正にはリスク・副作用があります▶ | |
| 主訴 | 前歯が出ている |
|
|
|
| 診断 | 上顎前突 |
| 開始年齢 | 13才 |
| 矯正装置 | マルチブラケット装置、パラタルバー |
| 抜歯部位 | 右上の4、左上の5、親知らず |
| 歯を動かした期間 | 3年5か月 |
| 総費用 | 検証料+後期基本料金¥456,000+管理料×来院回数 |
| コメント | 前歯が大きく前突感があるので上の小臼歯2本だけ抜歯のケースとして治療しました。左上の5番目の歯が良くなかったため、4の代わりに5を抜歯して治療しました。その分、期間は長くなりました。奥歯もキレイに咬んでいます。 |
| 矯正にはリスク・副作用があります▶ | |
| 主訴 | 八重歯、出っ歯、歯並び |
|
|
|
| 診断 | 上顎前突、叢生 |
| 開始年齢 | 13才 |
| 矯正装置 | マルチブラケット装置、パラタルバー、インプラントアンカー |
| 抜歯部位 | 上顎小臼歯、親知らず |
| 動的治療期間 | 2年11か月 |
| 総費用 | 検証料+後期基本料金¥456,000+管理料×来院回数 |
| コメント | ミニスクリューを使ったケースです。低年齢から開始しても、非抜歯では無理なケースです。上の小臼歯は抜歯しましたが、下の小臼歯は非抜歯で治療しています。歯をヤスリで削らずに矯正を行っているため、仕上がりがそこそこです。現在では、デジタルスキャンを行い、歯の大きさを正確に測定して、大きめの歯の幅を少しヤスリで削り、インビザラインを用いることでより美しく仕上げることも行っています。 |
| 矯正にはリスク・副作用があります▶ | |
| 主訴 | 口元が出ている |
|
|
|
| 診断 | 上顎前突 |
| 開始年齢 | 13才 |
| 矯正装置 | マルチブラケット装置、ホールディングアーチ、ヘッドギア |
| 抜歯部位 | 上の4、下の5、親知らず |
| 歯を動かした期間 | 2年8か月 |
| 総費用 | 検証料+後期基本料金¥486,000+管理料×来院回数 |
| コメント | 口元を下げて欲しいという要望があったので、小臼歯を抜歯して矯正しました。面長の方の場合は顎を横に拡大するのが難しい場合が多いです。 |
| 矯正にはリスク・副作用があります▶ | |
| 主訴 | 口元を下げて欲しい |
|
|
|
| 診断 | 上顎前突 |
| 開始年齢 | 13才 |
| 矯正装置 | マルチブラケット装置、ホールディングアーチ |
| 抜歯部位 | 上下の4、親知らず |
| 歯を動かした期間 | 3年2か月 |
| 総費用 | 検証料+後期基本料金¥486,000+管理料×来院回数 |
| コメント | 口元を下げて欲しいという要望があったので、小臼歯を抜歯して矯正しました。下は5番目の小臼歯を抜歯した方が早く終了できたと思います。 |
| 矯正にはリスク・副作用があります▶ | |
| 主訴 | 出っ歯 |
|
|
|
| 診断 | 上顎前突、叢生 |
| 開始年齢 | 13才 |
| 矯正装置 | マルチブラケット装置 |
| 抜歯部位 | 親知らず |
| 歯を動かした期間 | 2年4か月 |
| 総費用 | 検証料+後期基本料金¥456,000+管理料×来院回数 |
| コメント | 他院で上下の顎の拡大を行ってもらっていたので、後期矯正は比較的短期間で終わりました。前の先生の拡大治療に感謝です。 |
| 矯正にはリスク・副作用があります▶ | |
| 主訴 | 前歯が気になる |
|
|
|
| 診断 | 上顎前突 |
| 開始年齢 | 13才 |
| 矯正装置 |
マルチブラケット装置、リンガルアーチ |
| 抜歯部位 | まだ抜歯していません |
| 歯を動かした期間 | 3年8ヶ月 |
| 総費用 | 576,800円 |
| コメント | 開始年令がやや遅めでしたが、なんとか小臼歯を非抜歯で治療することができました。いずれ親知らずは必ず抜く必要があります。 |
| 矯正にはリスク・副作用があります▶ | |
| 主訴 | 出っ歯 |
|
|
|
| 診断 | 上顎前突 |
| 開始年齢 | 14才 |
| 矯正装置 | マルチブラケット装置、パラタルバー |
| 抜歯部位 | 上の4と下の5、上下の8 |
| 歯を動かした期間 | 3年6か月 |
| 総費用 | 532,875円 |
| コメント | 前突感が主訴の場合、ワイヤー矯正だと小臼歯の抜歯になることが多いです。今ならインビザラインで小臼歯を非抜歯で治療するかもしれません。 |
| 矯正にはリスク・副作用があります▶ | |
| 主訴 | 出っ歯 |
|
|
|
| 診断 | 上顎前突 |
| 開始年齢 | 15才 |
| 矯正装置 | マルチブラケット装置、パラタルバー、インプラントアンカー |
| 抜歯部位 | 上の4下の8 |
| 歯を動かした期間 | 2年11か月 |
| 総費用 | 検証料+後期基本料金¥456,000+管理料×来院回数 |
| コメント | マルチブラケット装置で上の歯を並べてからミニインプラントを上の顎に埋入し、Class IIIゴムで下の歯を起こしてから上の4を抜歯して上の前歯を下げたケースです。舌癖が残っているので保定は長期間必要です。歯をヤスリで削らずに治療を行っているため、仕上がりがそこそこです。現在では、デジタルスキャンを行い、歯の大きさを正確に測定して、大きめの歯の幅を少しヤスリで削り、インビザラインを用いることでより美しく仕上げることも行っています。 |
| 矯正にはリスク・副作用があります▶ | |
| 主訴 | 出っ歯 |
|
|
|
| 診断 | 上顎前突 |
| 開始年齢 | 15才 |
| 矯正装置 | 拡大床、マルチブラケット装置、パラタルバー、インプラントアンカー |
| 抜歯部位 | 上顎小臼歯、下顎親知らず |
| 歯を動かした期間 | 5年5か月 |
| 総費用 | 検証料+後期基本料金¥486,000+管理料×来院回数 |
| コメント |
昔でしたのでインプラントアンカーがなくて時間がかかりました。鋏状咬合+舌癖があったので、非常に時間がかかってしまいました。15歳からでは遅すぎると痛感したケースの一つです。今ならインプラントアンカーを用いて歯をヤスリで削り、上の前歯をもっと下げることができます。 |
| 矯正にはリスク・副作用があります▶ | |
| 主訴 | 出っ歯 |
|
|
|
| 診断 | 上顎前突 |
| 開始年齢 | 15才 |
| 矯正装置 | マルチブラケット装置、パラタルバー |
| 抜歯部位 | 上の4、下顎親知らず |
| 歯を動かした期間 | 3年11か月 |
| 総費用 | 検証料+後期基本料金¥456,000+管理料×来院回数 |
| コメント | 唇の薄い方でしたので、途中から抜歯のケースに変更して、下顎の歯にはIPR(歯をヤスリで削って小さくすること)も行って矯正しました。 |
| 矯正にはリスク・副作用があります▶ | |
| 主訴 | 出っ歯、歯並び |
|
|
|
| 診断 | 叢生、上顎前突 |
| 開始年齢 | 15才 |
| 矯正装置 | マルチブラケット装置、バイトプレート、パラタルバー |
| 抜歯部位 | 上下の4 |
| 歯を動かした期間 | 4年9か月 |
| 総費用 | 検証料+後期基本料金¥486,000+管理料×来院回数 |
| コメント | 小臼歯非抜歯で一旦、治療終了したのですが、口元の前突感を改善するために再度、小臼歯を4本抜歯して矯正を行いました。 |
| 矯正にはリスク・副作用があります▶ | |
| 主訴 | 歯並びが悪い |
|
|
|
| 診断 | 上顎前突、叢生 |
| 開始年齢 | 23才 |
| 矯正装置 | マルチブラケット装置 |
| 抜歯部位 | 上下の親知らず |
| 歯を動かした期間 | 2年9か月 |
| 総費用 |
検証料+後期基本料金¥456,000+管理料×来院回数 |
| コメント | 後期矯正を行いました。下の前歯は少しヤスリで削っています。 |
| 矯正にはリスク・副作用があります▶ | |
| 主訴 | 前歯がまた出た |
![]() #image_title |
|
| 診断 | 上顎前突 |
| 開始年齢 | 27才 |
| 矯正装置 | マルチブラケット装置、クアドヘリックス、インプラントアンカー |
| 抜歯部位 | 新たな抜歯はなし |
| 歯を動かした期間 | 1年7か月 |
| 総費用 |
検証料+後期基本料金¥486,000+管理料×来院回数 |
| コメント | 他院で上下の小臼歯を抜歯して矯正したそうですが、親知らずを抜歯しなかったため多くの歯が前に押されて後戻りしてしまったようです。インプラントアンカーを用いて上の奥歯を後ろに動かして咬み合わせを治しました。下の前歯については通常はヤスリで小さくして並べるのですが、この方はむし歯になりやすい方なので行いませんでした。 | 矯正にはリスク・副作用があります▶ |
当院の治療例はこちらからご覧いただけます。
治療費用の詳細はこちら
料金ページを見る





































































