7歳くらいから矯正を始めると、矯正期間は長くなりますが、 新しい咬み合わせにフィットするように顔面が成長するので後戻りが少ないです。
👉 専門用語について
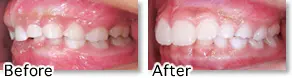
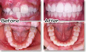
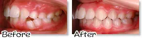
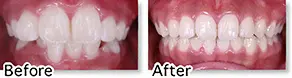
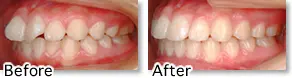
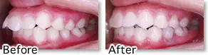
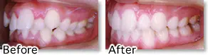
| 主訴 | 上の前歯が変 |
|
|
|
| 診断 | 叢生 |
| 開始年齢 | 7才 |
| 矯正装置 | 拡大床、マルチブラケット装置、ヘッドギア |
| 抜歯部位 | 親知らず(予定) |
| 動的治療期間 | 1年8か月 |
| 総費用 | 検証料+前期基本料金¥216,000+管理料×来院回数 |
| コメント | 「上の前歯が変」ということでご来院されました。お顔がそれほど小さい方ではなかったので、顎を広げたら前歯を並べるスペースができました。「だいたい並べば良い」とのご希望でしたので前期矯正のみで終了しました。 |
| 矯正にはリスク・副作用があります▶ | |
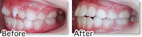
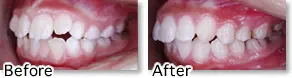
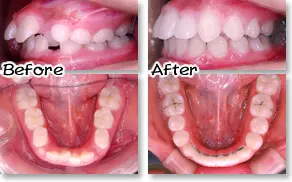
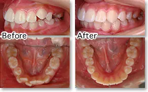
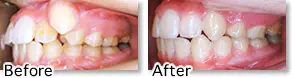
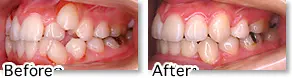
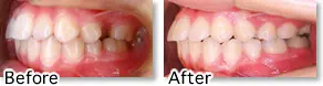
| 主訴 | 下の前歯がガタガタしている |
|
|
|
| 診断 | 叢生、過蓋咬合 |
| 開始年齢 | 7才 |
| 矯正装置 | マルチブラケット装置、拡大床 |
| 抜歯部位 | 親知らず(予定) |
| 動的治療期間 | 前期:2年6か月 |
| 総費用 | 検証料+前期基本料金¥196,000+管理料×来院回数 |
| コメント | 前期矯正のみでした。個人的には、引き続き後期矯正を行い、前歯の深いかみ合わせを直した方が良いと思います。 |
| 矯正にはリスク・副作用があります▶ | |
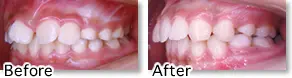
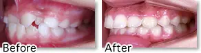
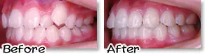
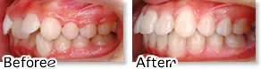
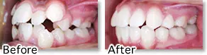
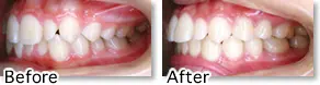
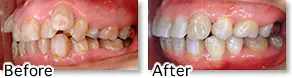
| 主訴 | 前歯の生え方が気になる |
|
|
|
| 診断 | 叢生 |
| 開始年齢 | 7才 |
| 矯正装置 | 拡大床、マルチブラケット装置、リンガルアーチ |
| 抜歯部位 | なし |
| 動的治療期間 | 1年2か月 |
| 総費用 | 検証料+前期基本料金¥166,000+管理料×来院回数 |
| コメント | ピッタリの開始時期だったと思います。この方は前期矯正のみで終了しました。 |
| 矯正にはリスク・副作用があります▶ | |
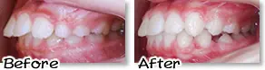
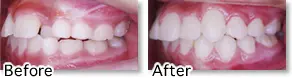
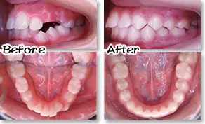
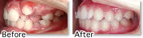
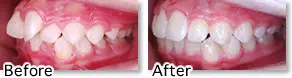
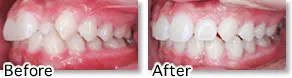
| 主訴 | 歯並び |
|
|
|
| 診断 | 叢生 |
| 開始年齢 | 7才 |
| 矯正装置 | 拡大床、マルチブラケット装置 |
| 抜歯部位 | なし |
| 動的治療期間 | 2年11か月 |
| 総費用 | 検証料+前期基本料金¥196,000+管理料×来院回数 |
| コメント | 前期矯正でここまで直し、まだ乳歯が4本残っています。上の前歯は改善していますが、前方に傾斜しているので、永久歯への交換を待って、後期矯正を行った方が望ましいケースです。 |
| 矯正にはリスク・副作用があります▶ | |
| 主訴 | 歯がガタガタしている |
|
|
|
| 診断 | 叢生 |
| 開始年齢 | 7才 |
| 矯正装置 | 拡大床 |
| 抜歯部位 | 親しらず(予定) |
| 動的治療期間 | 1年4か月 |
| 総費用 | 検証料+前期基本料金¥210,000+管理料×来院回数 |
| コメント | 上下の顎を拡大して経過を観察中です。将来的には親知らずの抜歯が必要です。 |
| 矯正にはリスク・副作用があります▶ | |
| 主訴 | 前歯のガタガタ |
|
|
|
| 診断 | 叢生 |
| 開始年齢 | 7才 |
| 矯正装置 | 拡大床 |
| 抜歯部位 | 親知らず(予定) |
| 動的治療期間 | 3年5か月 |
| 総費用 | 検証料+前期基本料金¥210,000+管理料×来院回数 |
| コメント | 上下の顎を拡大して経過を観察し、終了しました。将来的には親知らずの抜歯が必要です。現在ならもう少し上下の顎の関係を修正します。 |
| 矯正にはリスク・副作用があります▶ | |
| 主訴 | 歯がガタガタ |
|
|
|
| 診断 | 叢生 |
| 開始年齢 | 7才 |
| 矯正装置 | 拡大床、リンガルアーチ、ワイヤー矯正装置 |
| 抜歯部位 | 下の親知らず |
| 動的治療期間 |
4年10か月 |
| 総費用 | 検証料+前期+後期基本料金¥486,000+管理料×来院回数 |
| コメント | 低年齢からあごを広げて矯正しました。親知らずは抜かないと並びませんでしたが、その他の歯をヤスリで削ったりは一切行っていません。 |
| 矯正にはリスク・副作用があります▶ | |
| 主訴 | タ |
|
|
|
| 診断 | 叢生 |
| 開始年齢 | 7才 |
| 矯正装置 | |
| 抜歯部位 | |
| 動的治療期間 | |
| 総費用 | |
| コメント | |
| 矯正にはリスク・副作用があります▶ | |
| 主訴 | 下の歯がガタガタしている |
|
|
|
| 診断 | 叢生、過蓋咬合 |
| 開始年齢 | 8才 |
| 矯正装置 | マイオブレース |
| 抜歯部位 | 親知らず(予定) |
| 動的治療期間 | 1年10か月 |
| 総費用 | 検証料+前期基本料金¥210,000+管理料×来院回数 |
| コメント | 前期矯正だけ行い、歯の交換を待ってご相談の上で後期矯正を行います。 |
| 矯正にはリスク・副作用があります▶ | |
| 主訴 | 歯並び |
|
|
|
| 診断 | 叢生 |
| 開始年齢 | 8才 |
| 矯正装置 | 拡大床、マルチブラケット装置 |
| 抜歯部位 | 上下の親知らず(予定) |
| 動的治療期間 | 4年7か月 |
| 総費用 | 検証料+前期+後期基本料金¥486,000+管理料×来院回数 |
| コメント | お顔の小さい方だったので難しかったのですが、早期に開始することで、時間はかかりましたが小臼歯を非抜歯で矯正し、歯を28本残すことができました。歯をヤスリで削らずに矯正を行っているため、仕上がりがそこそこです。現在では、デジタルスキャンを行い、歯の大きさを正確に測定して、大きめの歯の幅を少しヤスリで削り、インビザラインを用いることでより美しく仕上げることも可能です。 |
| 矯正にはリスク・副作用があります▶ | |
| 主訴 | 歯並び |
|
|
|
| 診断 | 叢生 |
| 開始年齢 | 8才 |
| 矯正装置 | 拡大床、マルチブラケット装置、リンガルアーチ、クアドヘリックス |
| 抜歯部位 | 上下の親知らず(予定) |
| 動的治療期間 | 1年3か月 |
| 総費用 | 検証料+前期基本料金¥226,000+管理料×来院回数 |
| コメント | 簡単なケースだったので、部分矯正である程度は改善しました。個人的には後期矯正で上の犬歯の角度は直したかったです。 |
| 矯正にはリスク・副作用があります▶ | |
| 主訴 | 歯並び |
|
|
|
| 診断 | 叢生 |
| 開始年齢 | 8才 |
| 矯正装置 | 拡大床、マルチブラケット装置、クアドヘリックス |
| 抜歯部位 | 上下の親知らず(予定) |
| 動的治療期間 | 3年8か月 |
| 総費用 | 検証料+前期基本料金¥256,000+管理料×来院回数 |
| コメント | 前歯のかみ合わせが深いため、後期矯正+親しらずの抜歯が必要だったのですが、了解が得られず前期矯正のみで終了しました。犬歯の角度も気になります。 |
| 矯正にはリスク・副作用があります▶ | |
| 主訴 | かみ合わせが悪い |
|
|
|
| 診断 | 叢生 |
| 開始年齢 | 8才 |
| 矯正装置 | 拡大床、マルチブラケット装置 |
| 抜歯部位 | 親知らず(予定) |
| 動的治療期間 | 5年5か月 |
| 総費用 | 検証料+前期+後期基本料金¥486,000+管理料×来院回数 |
| コメント | 上の前歯が下の前歯の内側にあるケースは下の前歯にダメージがかかるので、早めに改善した方が良いです。上下の前歯の真ん中を合わせる為には、少し歯を削る必要がありますが、同意が得られませんでした。今ならIPR(歯と歯の間をヤスリで削って歯の幅を狭くする)を行い、もっと精密に仕上げることができます。 |
| 矯正にはリスク・副作用があります▶ | |
| 主訴 | 歯並び |
|
|
|
| 診断 | 叢生 |
| 開始年齢 | 8才 |
| 矯正装置 | 拡大床、リンガルアーチ |
| 抜歯部位 | 上下の親知らず(予定) |
| 動的治療期間 | 2年 |
| 総費用 | 検証料+前期基本料金¥210,000+管理料×来院回数 |
| コメント | 歯が小さめだったので、前期矯正のみでだいたい並べることができました。個人的には後期矯正で小臼歯部のかみ合わせを改善したかったです。 |
| 矯正にはリスク・副作用があります▶ | |
| 主訴 | 歯並び |
|
|
|
| 診断 | 叢生 |
| 開始年齢 | 8才 |
| 矯正装置 |
拡大床、マルチブラケット装置、クアドヘリックス、リンガルアーチ、 パラタルバー |
| 抜歯部位 | 上下の親知らず(予定) |
| 動的治療期間 | 5年 |
| 総費用 | 315,360円 |
| コメント | 前期矯正を行って、歯の交換を待ちました。前歯以外がキレイに生えて来たので後期矯正は不要でした。 |
| 矯正にはリスク・副作用があります▶ | |
| 主訴 | 前歯の歯並び |
|
|
|
| 診断 | 叢生 |
| 開始年齢 | 8才 |
| 矯正装置 | 拡大床、マルチブラケット装置、クアドヘリックス |
| 抜歯部位 | 下顎左親知らず(右親知らずなし) |
| 動的治療期間 | 8か月 |
| 総費用 | 検証料+前期基本料金¥136,000+管理料×来院回数 |
| コメント | 前期矯正で上の前歯を並べました。下の前歯はガタガタが残っているのですが後期矯正は希望されませんでした。 |
| 矯正にはリスク・副作用があります▶ | |
| 主訴 | 前歯がガタガタしている |
|
|
|
| 診断 | 叢生 |
| 開始年齢 | 8才 |
| 矯正装置 | 拡大床、マルチブラケット装置 |
| 抜歯部位 | 左下8、舌小帯切除 |
| 動的治療期間 | 6年1か月 |
| 総費用 |
検証料+前期基本料金¥226,000+管理料×来院回数 |
| コメント |
前期矯正だけでした。個人的には歯が前に傾いているのが気になります。今ならもう少し改善できると思います。 |
| 矯正にはリスク・副作用があります▶ | |
| 主訴 | 歯並びが気になる |
|
|
|
| 診断 | 叢生 |
| 開始年齢 | 8才 |
| 矯正装置 | 拡大床、マルチブラケット装置、リンガルアーチ |
| 抜歯部位 | 親知らず(予定) |
| 動的治療期間 | 6年11か月 |
| 総費用 |
検証料+前期+後期基本料金¥486,000+管理料×来院回数 |
| コメント | 長期間かかりましたが、小臼歯非抜歯で矯正できました。歯をヤスリで削らずに矯正を行っているため、仕上がりがそこそこです。現在では、デジタルスキャンを行い、歯の大きさを正確に測定して、大きめの歯の幅を少しヤスリで削り、インビザラインを用いることでより美しく仕上げることも行っています。 |
| 矯正にはリスク・副作用があります▶ | |
| 主訴 | 前歯のかみ合わせ |
|
|
|
| 診断 | 叢生、反対咬合 |
| 開始年齢 | 8才 |
| 矯正装置 | 拡大床、マルチブラケット装置、クアドヘリックス |
| 抜歯部位 | 下の親知らず |
| 動的治療期間 | 前期1年9か月、後期2年11か月 |
| 総費用 |
検証料+前期+後期基本料金¥486,000+管理料×来院回数 |
| コメント | 歯をヤスリで削らずに治療を行っているため、仕上がりがそこそこです。現在では、デジタルスキャンを行い、歯の大きさを正確に測定して、大きめの歯の幅を少しヤスリで削り、インビザラインを用いることでより美しく仕上げることも行っています。 |
| 矯正にはリスク・副作用があります▶ | |
| 主訴 | |
|
|
|
| 診断 | 叢生 |
| 開始年齢 | 8才 |
| 矯正装置 | 拡大装置、マルチブラケット装置 |
| 抜歯部位 | 親知らず |
| 動的治療期間 |
6年7ヶ月 |
| 総費用 |
検証料+前期+後期基本料金¥486,000+管理料×来院回数 |
| コメント | ガタガタの程度がひどかったので、本当は歯をヤスリで削って少し小さくしてもっときれいに納めたかったケースです。今ならインビザライン治療をお勧めすると思います。 |
| 矯正にはリスク・副作用があります▶ | |
| 主訴 | |
|
|
|
| 診断 | 叢生 |
| 開始年齢 | 8才 |
| 矯正装置 | |
| 抜歯部位 | |
| 動的治療期間 | |
| 総費用 | |
| コメント | |
| 矯正にはリスク・副作用があります▶ | |
| 主訴 | 歯並び |
|
|
|
| 診断 | 叢生、上顎前突 |
| 開始年齢 | 9才 |
| 矯正装置 | マルチブラケット装置 |
| 抜歯部位 | 親知らず(予定) |
| 動的治療期間 | 1年10か月 |
| 総費用 | 検証料+後期基本料金¥456,000+管理料×来院回数 |
| コメント | 比較的簡単なケースだったので、中学の入学式までに終了できました。簡単なケースだと後期矯正のみで期間は短かくてすみます。下の前歯はヤスリをかけて小さくしています。今ならインビザラインをお勧めすると思います。 |
| 矯正にはリスク・副作用があります▶ | |
| 主訴 | 歯並び |
|
|
|
| 診断 | 臼歯部叢生 |
| 開始年齢 | 9才 |
| 装置 | 拡大床、マルチブラケット装置 |
| 抜歯部位 | 上下の親知らず(予定) |
| 動的治療期間 | 1年9か月 |
| 総費用 | 検証料+前期基本料金¥196,000+管理料×来院回数 |
| コメント | 乳臼歯が早く抜けて上の6才臼歯が前にズレていました。簡単なケースだったので上だけマルチブラケット装置を使用して短期間で終了できて後期治療も不要でした。こういうケースはトータルプライス制の医院だと費用が必要以上にかかります。 |
| 矯正にはリスク・副作用があります▶ | |
| 主訴 | 歯並び |
|
|
|
| 診断 | 前歯部叢生 |
| 開始年齢 | 9才 |
| 矯正装置 | 拡大床、マルチブラケット装置、リンガルアーチ |
| 抜歯部位 | 上下の親知らず(予定) |
| 動的治療期間 | 2年5か月 |
| 総費用 | 検証料+前期基本料金¥226,000+管理料×来院回数 |
| コメント | 拡大して、上の前歯のスペースを作りました。生え替わりを待って、後期矯正が必要です。 |
| 矯正にはリスク・副作用があります▶ | |
| 主訴 | 歯並び |
|
|
|
| 診断 | 前歯部叢生 |
| 開始年齢 | 9才 |
| 装置 | 拡大床、パラタルバー |
| 抜歯部位 | 上顎第二大臼歯、下の親知らず |
| 動的治療期間 | 6年7か月 |
| 総費用 | 検証料+前期+後期基本料金¥486,000+管理料×来院回数 |
| コメント | 前期治療に引き続いて後期治療を行い、その後上の第二大臼歯を抜歯して親知らずの萌出を待ったため、時間はかかりましたが小臼歯は非抜歯で歯を28本残して治療できました。 |
| 矯正にはリスク・副作用があります▶ | |
| 主訴 | 歯並び |
|
|
|
| 診断 | 叢生 |
| 開始年齢 | 9才 |
| 矯正装置 | 拡大床、マルチブラケット装置 |
| 抜歯部位 | 上下の親知らず(予定) |
| 動的治療期間 | 6年10か月 |
| 総費用 | 検証料+前期+後期基本料金¥486,000+管理料×来院回数) |
| コメント | 拡大して小臼歯非抜歯で矯正しました。今ならインビザラインを用いて、少し歯を削って前歯を下げる選択肢もありだと思います。 |
| 矯正にはリスク・副作用があります▶ | |
| 主訴 | 歯並び |
|
|
|
| 診断 | 叢生 |
| 開始年齢 | 9才 |
| 矯正装置 | 拡大床、マルチブラケット装置、リンガルアーチ |
| 抜歯部位 | 上下の親知らず(予定) |
| 動的治療期間 | 3年7か月 |
| 総費用 | 検証料+前期基本料金¥226,000+管理料×来院回数 |
| コメント | 前期矯正だけで改善し、後期治療は不要でした。歯の大きさがちょうど良くて、良いポジションに生えてくれたためです。こういう運の良いケースの方は少ないのが現実です。 |
| 矯正にはリスク・副作用があります▶ | |
| 主訴 | 歯並び |
|
|
|
| 診断 | 叢生 |
| 開始年齢 | 9才 |
| 装置 | 拡大床、リンガルアーチ |
| 抜歯部位 | 上下の親知らず(予定) |
| 動的治療期間 | 1年5か月 |
| 総費用 | 検証料+前期基本料金¥210,000+管理料×来院回数 |
| コメント | 犬歯や前歯のかみ合わせに問題があるので後期治療+親しらず抜歯で咬み合わせを良くした方が望ましいケースです。 |
| 矯正にはリスク・副作用があります▶ | |
| 主訴 | 歯並び |
|
|
|
| 診断 | 叢生 |
| 開始年齢 | 9才 |
| 矯正装置 | マルチブラケット装置、リンガルアーチ |
| 抜歯部位 | 上下の親知らず(予定) |
| 動的治療期間 | 3年6か月 |
| 総費用 | 検証料+前期+後期基本料金¥486,000+管理料×来院回数 |
| コメント | 期間は長くなりましたが、上下の顎を拡大して、なんとか非抜歯で並べました。 |
| 矯正にはリスク・副作用があります▶ | |
| 主訴 | 歯が一本だけ内側に入っている |
|
|
|
| 診断 | 叢生 |
| 開始年齢 | 9才 |
| 矯正装置 | 拡大床、マルチブラケット装置、ペンデュラム |
| 抜歯部位 | 上下の親知らず(予定) |
| 動的治療期間 | 前期:1年、後期:2年2か月 |
| 総費用 | 検証料+前期+後期基本料金¥258,000+管理料×来院回数 |
| コメント | 上だけの装置をご希望だったので仕上がりは今ひとつだと思います。歯をヤスリで削らずに治療を行っているため、仕上がりがそこそこです。現在では、デジタルスキャンを行い、歯の大きさを正確に測定して、大きめの歯の幅を少しヤスリで削り、インビザラインを用いることでより美しく仕上げることも行っています。 |
| 矯正にはリスク・副作用があります▶ | |
| 主訴 | 前歯がガタガタしている |
|
|
|
| 診断 | 叢生 |
| 開始年齢 | 9才 |
| 矯正装置 | 拡大床、、クアドヘリックス、リンガルアーチ、バイヘリックス |
| 抜歯部位 | 上下の親知らず(予定) |
| 動的治療期間 | 4年9か月 |
| 総費用 |
検証料+前期+後期基本料金¥486,000+管理料×来院回数 |
| コメント | 早期から始めた事で期間は長くなりましたが、小臼歯非抜歯で治す事ができました。歯をヤスリで削らずに治療を行っているため、仕上がりがそこそこです。現在では、デジタルスキャンを行い、歯の大きさを正確に測定して、大きめの歯の幅を少しヤスリで削り、インビザラインを用いることでより美しく仕上げることも行っています。 |
| 矯正にはリスク・副作用があります▶ | |
| 主訴 | 前歯が気になる |
|
|
|
| 診断 | 叢生 |
| 開始年齢 | 9才 |
| 矯正装置 | クアドヘリックス、拡大床、マルチブラケット装置 |
| 抜歯部位 | 下の親知らず |
| 動的治療期間 | 6年7ヶ月 |
| 総費用 |
検証料+前期+後期基本料金¥486,000+管理料×来院回数 |
| コメント |
非常に顔が小さい方でしたが、長期間かけてあごを拡大して小臼歯を抜歯せずになんとか治療する事ができました。 |
| 矯正にはリスク・副作用があります▶ | |
| 主訴 | 歯並び |
|
|
|
| 診断 | 叢生 |
| 開始年齢 | 10才 |
| 矯正装置 | マルチブラケット装置、クアドヘリックス |
| 抜歯部位 | 上下の親知らず(予定) |
| 動的治療期間 | 1年5か月 |
| 総費用 | 検証料+前期+後期基本料金¥456,000+管理料×来院回数) |
| コメント | 簡単なケースだったので、後期矯正を10才くらいから始めて、小臼歯非抜歯矯正で期間は短く終わることができました。 |
| 矯正にはリスク・副作用があります▶ | |
| 主訴 | 歯並び |
|
|
|
| 診断 | 叢生 |
| 開始年齢 | 10才 |
| 矯正装置 | 拡大床、マルチブラケット装置、クアドヘリックス、リップバンパー |
| 抜歯部位 | 親知らず(予定) |
| 動的治療期間 | 1年11か月 |
| 総費用 | 検証料+前期+後期基本料金¥486,000+管理料×来院回数 |
| コメント | 簡単なケースの場合、10才くらいから始めると小臼歯非抜歯矯正で期間が短く終われます。歯にヤスリをかけて、一つ一つの歯を小さくすれば、前歯をもう少し下げることは可能です。 |
| 矯正にはリスク・副作用があります▶ | |
| 主訴 | 歯並び |
|
|
|
| 診断 | 叢生 |
| 開始年齢 | 10才 |
| 矯正装置 | マルチブラケット装置、クアドヘリックス |
| 抜歯部位 | 親知らず(予定) |
| 動的治療期間 | 3年10か月 |
| 総費用 | 検証料+前期+後期基本料金¥456,000+管理料×来院回数 |
| コメント | 簡単なケースだったので10歳くらいから後期矯正のみでキレイに治すことができました。上下の前歯は少しヤスリで削って小さくしています。 |
| 矯正にはリスク・副作用があります▶ | |
| 主訴 | 歯並び |
|
|
|
| 診断 | 叢生 |
| 開始年齢 | 10才 |
| 矯正装置 | 拡大床、マルチブラケット装置、パラタルバー、クアドヘリックス |
| 抜歯部位 | 上の4と下の5、親知らず(予定) |
| 動的治療期間 |
前期:1年7か月 後期:2年10ヶ月 |
| 総費用 | 検証料+前期+後期基本料金¥486,000+管理料×来院回数 |
| コメント | 「歯がガタガタ」ということで来院されました。最初は前期矯正を行い、非抜歯で矯正を進めていたのですが、お顔が細く、歯がやや大きめだったのと、顎があまり広がらなかったため、しかたなく小臼歯を4本抜歯して矯正しました。 |
| 矯正にはリスク・副作用があります▶ | |
| 主訴 | 歯並び |
|
|
|
| 診断 | 叢生 |
| 開始年齢 | 10才 |
| 矯正装置 | マルチブラケット装置、リンガルアーチ |
| 抜歯部位 | 上下の8の予定 |
| 動的治療期間 | 2年4か月 |
| 総費用 | 検証料+後期基本料金¥456,000+管理料×来院回数 |
| コメント | このような簡単なケースは10歳くらいから後期矯正を行い、小臼歯非抜歯で歯を28本残して矯正することができます。 |
| 矯正にはリスク・副作用があります▶ | |
| 主訴 | 歯並び |
|
|
|
| 診断 | 叢生、1歯反対咬合 |
| 開始年齢 | 10才 |
| 矯正装置 | マルチブラケット装置、パラタルバー、クアドヘリックス |
| 抜歯部位 | 小臼歯、下の8 |
| 動的治療期間 |
前期:1年5か月 後期:3年6ヶ月 |
| 総費用 | 検証料+前期+後期基本料金¥486,000+管理料×来院回数 |
| コメント | このように顎が小さく、スペースが少なくなっているケースは顎を拡げただけではスペースが足りず、小臼歯も抜歯してようやく並べることができました。 |
| 矯正にはリスク・副作用があります▶ | |
| 主訴 | 前歯の歯並び |
|
|
|
| 診断 | 叢生 |
| 開始年齢 | 10才 |
| 矯正装置 | マルチブラケット装置、クアドヘリックス |
| 抜歯部位 | 上下の8の予定 |
| 動的治療期間 | 1年7か月 |
| 総費用 | 検証料+前期基本料金¥196,000+管理料×来院回数 |
| コメント | 簡単で運が良いケースだったので、部分矯正だけで奥歯までキレイに並び、後期矯正は必要ありませんでした。こういうケースはトータルプライス制の矯正歯科医院だと費用が必要以上にかかります。 |
| 矯正にはリスク・副作用があります▶ | |
| 主訴 | 歯並び |
|
|
|
| 診断 | 叢生 |
| 開始年齢 | 10才 |
| 矯正装置 | マルチブラケット装置、リンガルアーチ |
| 抜歯部位 | 左下の埋伏した5(予定)、それ以外は4、上下の8(予定) |
| 動的治療期間 | 3年4か月 |
| 総費用 | 検証料+後期基本料金¥456,000+管理料×来院回数 |
| コメント | 左下の埋伏した小臼はまだ抜歯していません。それ以外の4を抜歯して矯正しています。 |
| 矯正にはリスク・副作用があります▶ | |
| 主訴 | 歯並び |
|
|
|
| 診断 | 叢生 |
| 開始年齢 | 10才 |
| 矯正装置 | マルチブラケット装置、リップバンパー |
| 抜歯部位 | 上下の8 |
| 動的治療期間 | 3年7か月 |
| 総費用 | 検証料+後期基本料金¥456,000+管理料×来院回数 |
| コメント | 早めに開始できたので、時間はかかりましたが、親知らず以外は非抜歯で矯正できました。歯にヤスリをかけて少し小さくして良いならインビザラインを用いてパーフェクトに仕上げる事も可能です。 |
| 矯正にはリスク・副作用があります▶ | |
| 主訴 | 歯並び |
|
|
|
| 診断 | 叢生 |
| 開始年齢 | 10才 |
| 矯正装置 | マルチブラケット装置 |
| 抜歯部位 | 下の親知らず |
| 動的治療期間 | 3年7か月 |
| 総費用 | 検証料+後期基本料金¥456,000+管理料×来院回数 |
| コメント | このような顎を拡大する必要がない簡単なケースは10歳くらいから後期矯正を行い、小臼歯非抜歯で歯を28本残して矯正することができます。 |
| 矯正にはリスク・副作用があります▶ | |
| 主訴 | 歯並び |
|
|
|
| 診断 | 叢生、過蓋咬合、1歯反対咬合 |
| 開始年齢 | 10才 |
| 矯正装置 | 拡大床、マルチブラケット装置、クアドヘリックス、リンガルアーチ |
| 抜歯部位 | 上下の親知らず(予定) |
| 動的治療期間 | 5年9か月 |
| 総費用 | 検証料+前期+後期基本料金¥486,000+管理料×来院回数 |
| コメント | 男子で生え変わりが遅めのケースだったので、時間はかかりましたが、上下の顎を広げてなんとか小臼歯を抜かずに矯正できました。 |
| 矯正にはリスク・副作用があります▶ | |
| 主訴 | 歯並び |
|
|
|
| 診断 | 叢生 |
| 開始年齢 | 10才 |
| 矯正装置 | 拡大床、マルチブラケット装置、パラタルバー、クアドヘリックス、ペンデュラム |
| 抜歯部位 | 上下の親知らず |
| 動的治療期間 |
5年7か月 |
| 総費用 | 検証料+前期+後期基本料金¥486,000+管理料×来院回数 |
| コメント | どうしても小臼歯非抜歯で治療してくださいと言われたので、時間はかかりましたが、上下の顎を広げてなんとか小臼歯を抜かずに矯正できました。 |
| 矯正にはリスク・副作用があります▶ | |
| 主訴 | 前歯が開いている |
|
|
|
| 診断 | 叢生 |
| 開始年齢 | 10才 |
| 矯正装置 | マルチブラケット装置 |
| 抜歯部位 | 元々親知らずはありませんでした |
| 動的治療期間 | 3年8か月 |
| 総費用 | 検証料+前期基本料金¥152,000+管理料×来院回数 |
| コメント | 前歯だけにマルチブラケット装置を用いて、前歯は改善したのですが、上下の前歯に前後的なズレが残っていますので個人的には後期矯正を行った方が良いと思います。現在は前期治療でもう少し改善できるようになりました。 |
| 矯正にはリスク・副作用があります▶ | |
| 主訴 | 歯並び |
|
|
|
| 診断 | 叢生 |
| 開始年齢 | 10才 |
| 矯正装置 | 拡大床、マルチブラケット装置、クアドヘリックス |
| 抜歯部位 | 親知らず |
| 動的治療期間 | 5年3か月 |
| 総費用 | 検証料+前期+後期基本料金¥486,000+管理料×来院回数 |
| コメント | 期間は長くなりましたが、早くから矯正を開始したことで、難易度の高い下顎の拡大もキレイに行う事ができ、小臼歯を抜かずに矯正ができました。 |
| 矯正にはリスク・副作用があります▶ | |
| 主訴 | 八重歯 |
|
|
|
| 診断 | 叢生 |
| 開始年齢 | 10才 |
| 矯正装置 | マルチブラケット装置、パラタルバー、ペンデュラム |
| 抜歯部位 | 上下の8 |
| 動的治療期間 | 3年 |
| 総費用 | 検証料+後期基本料金¥456,000+管理料×来院回数 |
| コメント | 運良く小臼歯を抜歯せずに治すことができましたが、年齢が上がると顎を広げることが難しくなるので、もう少し早めに矯正を開始した方が望ましいと思います。 |
| 矯正にはリスク・副作用があります▶ | |
| 主訴 | 歯並び |
|
|
|
| 診断 | 叢生 |
| 開始年齢 | 10才 |
| 矯正装置 | 拡大床、マルチブラケット装置、クアドヘリックス |
| 抜歯部位 | 親知らず |
| 動的治療期間 | 2年8か月 |
| 総費用 | 検証料+後期基本料金¥456,000+管理料×来院回数 |
| コメント | 親知らずを抜く事で、なんとか小臼歯非抜歯で並べることができましたが、下の前歯はヤスリをかけて小さくする必要がありました。開始時期としてはもう少し早いほうが望ましいと思います。 |
| 矯正にはリスク・副作用があります▶ | |
| 主訴 | 歯並び |
|
|
|
| 診断 | 叢生 |
| 開始年齢 | 10才 |
| 矯正装置 | マルチブラケット装置、パラタルバー、リップバンパー |
| 抜歯部位 | 上下の8 |
| 動的治療期間 | 2年2か月 |
| 総費用 | 検証料+後期基本料金¥456,000+管理料×来院回数 |
| コメント | 歯が小さかったので、難易度はそれほど高くありませんでした。すべての歯が永久歯に交換する前に矯正を開始したことで、難易度の高い下顎の拡大を上手く行う事ができました。 |
| 矯正にはリスク・副作用があります▶ | |
| 主訴 | 八重歯 |
|
|
|
| 診断 | 叢生 |
| 開始年齢 | 10才 |
| 矯正装置 |
拡大床、マルチブラケット装置、クアドヘリックス、リンガルアーチ |
| 抜歯部位 | 親知らず(予定) |
| 動的治療期間 | 4年 |
| 総費用 | 検証料+前期+後期基本料金¥486,000+管理料×来院回数 |
| コメント | 10才で開始できたので、期間はかかりましたが、小臼歯を非抜歯で矯正することができました。歯をヤスリで削らずに矯正を行ったため、仕上がりがそこそこです。現在では、デジタルスキャンを行い、歯の大きさを正確に測定して、大きめの歯の幅を少しヤスリで削り、インビザラインを用いることでより美しく仕上げることも行っています。 |
| 矯正にはリスク・副作用があります▶ | |
| 主訴 | 歯並び |
|
|
|
| 診断 | 叢生 |
| 開始年齢 | 10才 |
| 矯正装置 | 拡大床、マルチブラケット装置、パラタルバー、クアドヘリックス |
| 抜歯部位 | 親知らず |
| 動的治療期間 | 5年6か月 |
| 総費用 | 検証料+前期+後期基本料金¥486,000+管理料×来院回数 |
| コメント | 親しらずを抜歯して、第二大臼歯をキレイに配列しました。時間はかかりましたが小臼歯非抜歯でできました。歯にヤスリをかけても良ければ、インビザラインを用いて前歯をもう少し下げることが可能です。 |
| 矯正にはリスク・副作用があります▶ | |
| 主訴 | 歯並び、咬み合わせ |
|
|
|
| 診断 | 叢生 |
| 開始年齢 | 10才 |
| 矯正装置 | マルチブラケット装置、クアドヘリックス |
| 抜歯部位 | 下顎親知らず |
| 動的治療期間 | 3年1か月 |
| 総費用 | 検証料+前期+後期基本料金¥486,000+管理料×来院回数 |
| コメント | 顎を広げて、小臼歯非抜歯で矯正しました。骨格的に恵まれた男性のケースだったので間に合いましたが、個人的には、もう少し早く始めたかったケースです。 |
| 矯正にはリスク・副作用があります▶ | |
| 主訴 | 歯並びが悪い |
|
|
|
| 診断 | 叢生 |
| 開始年齢 | 10才 |
| 矯正装置 | 拡大床、マルチブラケット装置、クアドヘリックス |
| 抜歯部位 | 下顎親知らず |
| 動的治療期間 | 前期:9か月、後期:2年3か月 |
| 総費用 | 検証料+前期+後期基本料金¥288,000+管理料×来院回数 |
| コメント | 費用を抑えて欲しいとご希望があり、診断の結果、なんとかなりそうだったのでこのケースでは下顎には矯正装置をつけませんでした。 |
| 矯正にはリスク・副作用があります▶ | |
| 主訴 | 歯並びが悪い |
|
|
|
| 診断 | 叢生 |
| 開始年齢 | 10才 |
| 矯正装置 | バイヘリックス、装置、クアドヘリックス、リンガルアーチ |
| 抜歯部位 | 下顎親知らず |
| 動的治療期間 | 後期:4年4か月 |
| 総費用 | 検証料+後期基本料金¥456,000+管理料×来院回数 |
| コメント | 10才だったので女子ですが、うまく拡大することができて小臼歯非抜歯で矯正できました。 |
| 矯正にはリスク・副作用があります▶ | |
| 主訴 | 歯並びが悪い |
|
|
|
| 診断 | 叢生 |
| 開始年齢 | 10才 |
| 矯正装置 | 拡大床、マルチブラケット装置、バイヘリックス |
| 抜歯部位 | 下の親知らず |
| 動的治療期間 | 4年6か月 |
| 総費用 |
検証料+前期+後期基本料金¥486,000+管理料×来院回数 |
| コメント | 早期に矯正を開始できたので無理なく小臼歯非抜歯で治療できました。 |
| 矯正にはリスク・副作用があります▶ | |
| 主訴 | |
|
|
|
| 診断 | 叢生 |
| 開始年齢 | 10才 |
| 矯正装置 | ポーター、マルチブラケット装置 |
| 抜歯部位 | 下の親知らず |
| 動的治療期間 | 4年4ヶ月 |
| 総費用 |
検証料+後期基本料金¥456,000+管理料×来院回数 |
| コメント | 永久歯に全て交換してから矯正を始めるとこのように下顎を十分に拡大することはほぼできません。このような顎を広げる治療は2015年頃は矯正の業界では異端とされていました。しかし、現在ではインビザラインファーストが普及してごく普通の治療になりました。 |
| 矯正にはリスク・副作用があります▶ | |
| 主訴 | 歯並び |
|
|
|
| 診断 | 叢生 |
| 開始年齢 | 11才 |
| 矯正装置 | マルチブラケット装置 |
| 抜歯部位 | 親知らず |
| 動的治療期間 | 2年3か月 |
| 総費用 | 検証料+後期基本料金¥456,000+管理料×来院回数 |
| コメント | この年齢になると下顎の拡大が難しくなるので、もう少し早く開始したかったケースです。→1年後下の前歯が少しガタついたので、下の前歯のみにヤスリをかけて小さくして、再度ワイヤーで並べ直ししました。現在では、デジタルスキャンを行い、歯の大きさを正確に測定して、大きめの歯の幅を少しヤスリで削り、インビザラインを用いることでより美しく仕上げることも行っています。 |
| 矯正にはリスク・副作用があります▶ | |
| 主訴 | 八重歯、咬み合わせ |
|
|
|
| 診断 | 叢生 |
| 開始年齢 | 11才 |
| 矯正装置 | マルチブラケット装置 |
| 抜歯部位 | 親知らず(予定) |
| 動的治療期間 | 1年9か月 |
| 総費用 | 検証料+後期基本料金¥456,000+管理料×来院回数 |
| コメント | 下顎の拡大が不要な簡単なケースなので、11歳でしたが小臼歯非抜歯で矯正できました。 |
| 矯正にはリスク・副作用があります▶ | |
| 主訴 | 歯並び |
|
|
|
| 診断 | 叢生 |
| 開始年齢 | 11才 |
| 矯正装置 | マルチブラケット装置、ホールディングアーチ |
| 抜歯部位 | 親知らず(予定) |
| 動的治療期間 | 3年1か月 |
| 総費用 | 検証料+後期基本料金¥456,000+管理料×来院回数 |
| コメント | 開始時期が遅めだったので下顎の拡大量が少なかったため、下顎の前歯にヤスリをかけて小さくして小臼歯非抜歯で矯正できました。全部永久歯に交換してからでは、治療は難しくなります。 |
| 矯正にはリスク・副作用があります▶ | |
| 主訴 | 前歯のならび |
|
|
|
| 診断 | 叢生 |
| 開始年齢 | 11才 |
| 矯正装置 | マルチブラケット装置、パラタルバー |
| 抜歯部位 | 親知らず |
| 動的治療期間 | 3年3か月 |
| 総費用 | 検証料+後期基本料金¥456,000+管理料×来院回数 |
| コメント | 下顎の拡大が不要な簡単なケースなので、11歳でしたが小臼歯非抜歯で矯正できました。 |
| 矯正にはリスク・副作用があります▶ | |
| 主訴 | 犬歯がへんなとこから出てきた |
|
|
|
| 診断 | 叢生 |
| 開始年齢 | 11才 |
| 矯正装置 | マルチブラケット装置 |
| 抜歯部位 | 親知らず(予定) |
| 動的治療期間 | 2年1か月 |
| 総費用 | 検証料+後期基本料金¥456,000+管理料×来院回数 |
| コメント | 上の乳歯がまだ残っていて、下顎の拡大が不要な簡単なケースなので、11歳で女子でしたが、小臼歯非抜歯で矯正できました。 |
| 矯正にはリスク・副作用があります▶ | |
| 主訴 | 歯並び |
|
|
|
| 診断 | 叢生 |
| 開始年齢 | 11才 |
| 矯正装置 | マルチブラケット装置 |
| 抜歯部位 | 親知らず |
| 動的治療期間 | 2年11か月 |
| 総費用 | 検証料+後期基本料金¥456,000+管理料×来院回数 |
| コメント | 下の歯が1本少ないので、上下の歯の前後的なズレが少し残っています。歯にヤスリをかけても良ければ、インビザラインを用いて前歯をもう少し下げることも可能です。 |
| 矯正にはリスク・副作用があります▶ | |
| 主訴 | 歯並び |
|
|
|
| 診断 | 叢生 |
| 開始年齢 | 11才 |
| 矯正装置 | マルチブラケット装置 |
| 抜歯部位 | 親知らず(予定) |
| 動的治療期間 | 1年9か月 |
| 総費用 | 検証料+前期基本料金¥152,000+管理料×来院回数 |
| コメント | 前期矯正のみで終了しました。個人的には後期矯正で、小臼歯から後の歯をすべて起こした方が良かったと思います。 |
| 矯正にはリスク・副作用があります▶ | |
| 主訴 | 歯並び |
|
|
|
| 診断 | 叢生 |
| 開始年齢 | 11才 |
| 矯正装置 | マルチブラケット装置,クアドヘリックス |
| 抜歯部位 | 下の8,下の前歯1本が欠損 |
| 動的治療期間 | 3年2か月 |
| 総費用 | 検証料+後期基本料金¥456,000+管理料×来院回数 |
| コメント | 下の親知らずを抜いた後に7番目の歯を動かす必要があったため時間はかかりましたが、歯を27本残すことができました。 |
| 矯正にはリスク・副作用があります▶ | |
| 主訴 | 歯並びが悪い |
|
|
|
| 診断 | 叢生 |
| 開始年齢 | 11才 |
| 機装置 | マルチブラケット装置、ホールディングアーチ |
| 抜歯部位 | 上下の4と親知らず |
| 動的治療期間 | 3年8か月 |
| 総費用 | 検証料+後期基本料金¥456,000+管理料×来院回数 |
| コメント | 診断の結果、顎の発育が悪くなくて、叢生がきつかったので、これくらいの年齢から開始して、小臼歯を4本抜歯して矯正治療する方が治療期間は短くなります。 |
| 矯正にはリスク・副作用があります▶ | |
| 主訴 | 歯並びが悪い |
|
|
|
| 診断 | 叢生 |
| 開始年齢 | 11才 |
| 矯正装置 | マルチブラケット装置 |
| 抜歯部位 | 親知らず |
| 動的治療期間 | 2年7か月 |
| 総費用 |
検証料+後期基本料金¥456,000+管理料×来院回数 |
| コメント | 簡単なケースだったので永久歯に交換後でも小臼歯は非抜歯で矯正できました。もし7才くらいからを前期矯正をしていれば、それだけで治った可能性はあります。 |
| 矯正にはリスク・副作用があります▶ | |
| 主訴 | 歯ならびが悪い、前歯の真ん中のズレが気になる |
|
|
|
| 診断 | 叢生 |
| 開始年齢 | 11才 |
| 矯正装置 | 拡大床、マルチブラケット装置、バイヘリックス |
| 抜歯部位 | 下の親知らず |
| 動的治療期間 | 6年7か月 |
| 総費用 |
検証料+前期+後期基本料金¥486,000+管理料×来院回数 |
| コメント | 小さいときから顎を拡大し、前期矯正から後期治療に移行して治したケースになります。時間はかかりましたが、口元や前歯を前に出すことなく、小臼歯を抜かずに治療する事ができました。現在では、デジタルスキャンを行い、歯の大きさを正確に測定して、大きめの歯の幅を少しヤスリで削り、インビザラインを用いることでより美しく仕上げることも行っています。 |
| 矯正にはリスク・副作用があります▶ | |
| 主訴 | 歯並びが悪い、八重歯が気になる |
|
|
|
| 診断 | 叢生、上下顎前突 |
| 開始年齢 | 11才 |
| 矯正装置 | マルチブラケット装置、リンガルアーチ |
| 抜歯部位 | 下の親知らず |
| 動的治療期間 | 4年1か月 |
| 総費用 |
検証料+後期基本料金¥456,000+管理料×来院回数 |
| コメント | 開始時期は少し遅めでしたが、比較的簡単なケースだったので早期矯正を行わずに第二期治療のみで小臼歯を非抜歯で前歯を下げて良好な咬み合わせを作ることができました。 |
| 矯正にはリスク・副作用があります▶ | |
| 主訴 | 前歯が出ている、歯並びが悪い |
|
|
|
| 診断 | 上顎前突、叢生 |
| 開始年齢 | 11才 |
| 矯正装置 | マルチブラケット装置、クアドヘリックス、バイヘリックス |
| 抜歯部位 | 左下の親知らず |
| 動的治療期間 | 1年10か月 |
| 総費用 |
検証料+後期基本料金¥456,000+管理料×来院回数 |
| コメント | 中学受験前で矯正を行うことを迷っておられましたが、思い切って治療を開始されました。結果的に小臼歯を抜歯せずに前歯を下げ、良好な咬み合わせを作ることができ、志望校にも無事合格されました。 |
| 矯正にはリスク・副作用があります▶ | |
| 主訴 | 歯並びが悪い |
|
|
|
| 診断 | 叢生 |
| 開始年齢 | 11才 |
| 矯正装置 | マルチブラケット装置、クアドヘリックス、バイヘリックス |
| 抜歯部位 | 下顎親知らず |
| 動的治療期間 | 後期:2年3か月 |
| 総費用 | 検証料+後期基本料金¥456,000+管理料×来院回数 |
| コメント | 簡単なケースだったので11才から始めても比較的短い期間で小臼歯非抜歯で矯正できました。 |
| 矯正にはリスク・副作用があります▶ | |
| 主訴 | 歯並びが悪い | |
|
|
||
| 診断 | 叢生 | |
| 開始年齢 | 11才 | |
| 矯正装置 | マルチブラケット装置 | |
| 抜歯部位 | 下顎親知らず | |
| 動的治療期間 | 後期:2年7か月 | |
| 総費用 | 検証料+後期基本料金¥456,000+管理料×来院回数 | |
| コメント | 男子で比較的簡単なケースだったので3年以内に終了できました。下の前歯は並びきらなかったためヤスリで削って幅を狭くしました。 | |
| 矯正にはリスク・副作用があります▶ | ||
| 主訴 | 歯並びが悪い |
|
|
|
| 診断 | 叢生 |
| 開始年齢 | 11才 |
| 矯正装置 | ポーター、マルチブラケット装置 |
| 抜歯部位 | 下の親知らず |
| 動的治療期間 | 2年3ヶ月 |
| 総費用 | 検証料+後期基本料金¥456,000+管理料×来院回数 |
| コメント | 歯がそれほど大きくなくて、あまり拡大する必要がない簡単なケースでは、女子で11歳くらいから始めても、このように小臼歯非抜歯で歯をヤスリで削って小さくすることなく、治療することが可能です。 |
| 矯正にはリスク・副作用があります▶ | |
| 主訴 | 歯並びが悪い |
|
|
|
| 診断 | 叢生 |
| 開始年齢 | 11才 |
| 矯正装置 | ポーター、マルチブラケット装置 |
| 抜歯部位 | 下の親知らず |
| 動的治療期間 | 4年1ヶ月 |
| 総費用 | 検証料+後期基本料金¥456,000+管理料×来院回数 |
| コメント | 他院で抜歯と言われて来院されました。歯がそれほど大きくない簡単なケースでは、このように小臼歯非抜歯で歯をヤスリで削って小さくすることなく、治療することが可能です。 |
| 矯正にはリスク・副作用があります▶ | |
| 主訴 | 八重歯 |
|
|
|
| 診断 | 叢生 |
| 開始年齢 | 12才 |
| 矯正装置 | マルチブラケット装置,ホールディングアーチ |
| 抜歯部位 | 小臼歯、親知らず(予定) |
| 動的治療期間 | 2年2か月 |
| 総費用 | 検証料+後期基本料金¥456,000+管理料×来院回数 |
| コメント | 小臼歯抜歯のケースとしてピッタリの時期に矯正を開始できました。奥歯もキレイに咬んでいます。 |
| 矯正にはリスク・副作用があります▶ | |
| 主訴 | 前歯の歯並び |
|
|
|
| 診断 | 叢生 |
| 開始年齢 | 12才 |
| 矯正装置 | マルチブラケット装置 |
| 抜歯部位 | 親知らず |
| 動的治療期間 | 2年4か月 |
| 総費用 | 検証料+後期基本料金¥456,000+管理料×来院回数 |
| コメント | 男子の簡単なケースだったので、小臼歯非抜歯で矯正を行うことができました。下の前歯は少しヤスリで削って幅を減らしています。奥歯もキレイに咬んでいます。 |
| 矯正にはリスク・副作用があります▶ | |
| 主訴 | 歯並び |
|
|
|
| 診断 | 叢生 |
| 開始年齢 | 12才 |
| 矯正装置 | マルチブラケット装置,ヘッドギア |
| 抜歯部位 | 親知らず |
| 動的治療期間 | 1年8か月 |
| 総費用 | 検証料+後期基本料金¥456,000+管理料×来院回数 |
| コメント | 何とか非抜歯で歯もヤスリで削らずに矯正できましたが、ギリギリのタイミングでした。特に女子は、全部永久歯に交換する前に、早めにご相談をお願いします。 |
| 矯正にはリスク・副作用があります▶ | |
| 主訴 | 八重歯 |
|
|
|
| 診断 | 叢生 |
| 開始年齢 | 12才 |
| 矯正装置 | マルチブラケット装置,パラタルバー |
| 抜歯部位 | 上の4と下の5、親知らず |
| 動的治療期間 | 2年7か月 |
| 総費用 | 検証料+後期基本料金¥456,000+管理料×来院回数 |
| コメント | 小臼歯抜歯のケースは、下の7番目の歯が重要なので12歳頃から始めても遅くありません。 |
| 矯正にはリスク・副作用があります▶ | |
| 主訴 | 歯並び |
|
|
|
| 診断 | 叢生 |
| 開始年齢 | 12才 |
| 矯正装置 | マルチブラケット装置,クアドヘリックス |
| 抜歯部位 | 下顎親知らず |
| 動的治療期間 | 4年3か月 |
| 総費用 | 検証料+前期+後期基本料金¥486,000+管理料×来院回数 |
| コメント | 年齢の割には歯の交換が遅かったので前期矯正で歯列の拡大を行い、引き続き後期矯正を行う事で小臼歯を抜かずに治療できました。 |
| 矯正にはリスク・副作用があります▶ | |
| 主訴 | 前歯の歯並び |
|
|
|
| 診断 | 叢生 |
| 開始年齢 | 12才 |
| 装置 | マルチブラケット装置 |
| 抜歯部位 | 下顎親知らず |
| 動的治療期間 | 2年11か月 |
| 総費用 | 検証料+後期基本料金¥456,000+管理料×来院回数 |
| コメント | 上の2番目の歯が小さいので、3番目の歯が少し前に位置しています。 |
| 矯正にはリスク・副作用があります▶ | |
| 主訴 | 歯並び |
|
|
|
| 診断 | 叢生 |
| 開始年齢 | 12才 |
| 矯正装置 | マルチブラケット装置,ヘッドギア |
| 抜歯部位 | 親知らず(予定) |
| 動的治療期間 | 2年9か月 |
| 総費用 | 検証料+後期基本料金¥456,000+管理料×来院回数 |
| コメント | このケースは少しだけ大きめの上の前歯をヤスリで削って細くして、裏から固定しています。今ならインビザラインでさらに精度の高い矯正が可能です。 |
| 矯正にはリスク・副作用があります▶ | |
| 主訴 | 八重歯 |
|
|
|
| 診断 | 叢生 |
| 開始年齢 | 12才 |
| 矯正装置 | マルチブラケット装置 |
| 抜歯部位 | 上顎小臼歯 |
| 動的治療期間 | 2年3か月 |
| 総費用 | 検証料+後期基本料金¥456,000+管理料×来院回数 |
| コメント | 歯が大きく、年齢も高かったため、上だけ4番目の小臼歯を抜歯して矯正しました。 |
| 矯正にはリスク・副作用があります▶ | |
| 主訴 | 歯並び |
|
|
|
| 診断 | 叢生 |
| 開始年齢 | 12才 |
| 矯正装置 | マルチブラケット装置,クアドヘリックス |
| 抜歯部位 | 親知らず |
| 動的治療期間 | 2年5か月 |
| 総費用 | 検証料+後期基本料金¥456,000+管理料×来院回数 |
| コメント | 最初に上の顎を拡大し、下の親知らずを抜いて、下の奥歯を後に動かしました。 |
| 矯正にはリスク・副作用があります▶ | |
| 主訴 | 歯並び |
|
|
|
| 診断 | 叢生 |
| 開始年齢 | 12才 |
| 矯正装置 | マルチブラケット装置,パラタルバー |
| 抜歯部位 | 上下の4、親知らず |
| 動的治療期間 | 2年11か月 |
| 総費用 | 検証料+後期基本料金¥456,000+管理料×来院回数 |
| コメント | このようなケースは、幼児から拡大しても小臼歯非抜歯では絶対に無理なケースです。歯をヤスリで削らずに治療を行っているため、仕上がりがそこそこです。現在では、デジタルスキャンを行い、歯の大きさを正確に測定して、大きめの歯の幅を少しヤスリで削り、インビザラインを用いることでより美しく仕上げることも行っています。 |
| 矯正にはリスク・副作用があります▶ | |
| 主訴 | 前歯の生え方 |
|
|
|
| 診断 | 叢生 |
| 開始年齢 | 12才 |
| 矯正装置 | マルチブラケット装置 |
| 抜歯部位 | 親知らず |
| 動的治療期間 | 1年6か月 |
| 総費用 | 検証料+後期基本料金¥456,000+管理料×来院回数 |
| コメント | 歯がそれほど大きくなかったので、なんとか歯もヤスリで削ることなく非抜歯で治療できましたが、低年令からの矯正が望ましいケースでした。 |
| 矯正にはリスク・副作用があります▶ | |
| 主訴 | 歯がガタガタしている |
|
|
|
| 診断 | 叢生 |
| 開始年齢 | 12才 |
| 矯正装置 | マルチブラケット装置 |
| 抜歯部位 | 親知らず |
| 動的治療期間 | 2年11か月 |
| 総費用 | 検証料+後期基本料金¥456,000+管理料×来院回数 |
| コメント | 開始時期が遅かったのですが、なんとか小臼歯非抜歯で矯正できました。舌小帯の短縮があったので、延長術を途中で行っています。歯にヤスリをかけて小さくすれば、もう少し仕上がりを良くすることは可能です。 |
| 矯正にはリスク・副作用があります▶ | |
| 主訴 | 前歯の噛み合わせ |
|
|
|
| 診断 | 叢生 |
| 開始年齢 | 12才 |
| 矯正装置 | マルチブラケット装置,リンガルアーチ |
| 抜歯部位 | 下顎親知らず |
| 動的治療期間 | 1年10か月 |
| 総費用 | 検証料+後期基本料金¥456,000+管理料×来院回数 |
| コメント | 下の親知らずを抜歯し、マルチブラケット装置をつけて治療しました。 |
| 矯正にはリスク・副作用があります▶ | |
| 主訴 | 噛み合わせが気になる |
|
|
|
| 診断 | 軽い叢生 |
| 開始年齢 | 12才 |
| 矯正装置 | マルチブラケット装置 |
| 抜歯部位 | 親知らず |
| 動的治療期間 | 2年 |
| 総費用 |
検証料+後期基本料金¥456,000+管理料×来院回数 |
| コメント | 現在はインビザラインでさらに精度の高い矯正が可能です。 |
| 矯正にはリスク・副作用があります▶ | |
| 主訴 | 前歯の歯並び |
|
|
|
| 診断 | 叢生 |
| 開始年齢 | 12才 |
| 矯正装置 | マルチブラケット装置 |
| 抜歯部位 | 親知らず |
| 動的治療期間 | 2年7か月 |
| 総費用 |
検証料+後期基本料金¥456,000+管理料×来院回数 |
| コメント | 簡単なケースだったので永久歯に交換後でも小臼歯は非抜歯で矯正できました。もし7才くらいから前期矯正を行っていれば、それだけで治った可能性はあります。 |
| 矯正にはリスク・副作用があります▶ | |
| 主訴 | 歯並びが悪い、八重歯が気になる |
|
|
|
| 診断 | 叢生 |
| 開始年齢 | 12才 |
| 矯正装置 | マルチブラケット装置 |
| 抜歯部位 | 下の親知らず |
| 動的治療期間 | 1年7か月 |
| 総費用 |
検証料+後期基本料金¥456,000+管理料×来院回数 |
| コメント | 矯正開始がやや遅かったのですが、なんとか小臼歯を抜かずに矯正できました。歯をヤスリで削ればもう少し仕上がりは良くなりますが、そこまではご希望されませんでした。 |
| 矯正にはリスク・副作用があります▶ | |
| 主訴 | 歯並び |
|
|
|
| 診断 | 叢生 |
| 開始年齢 | 13才 |
| 矯正装置 | マルチブラケット装置,パラタルバー |
| 抜歯部位 | 小臼歯、上顎第二大臼歯、下顎親知らず |
| 動的治療期間 | 3年7か月 |
| 総費用 | 検証料+後期基本料金¥456,000+管理料×来院回数 |
| コメント | 難しいケースは、「アゴを広げる+抜歯」でスペースを多く作る必要があるため時間がかかります。もう少し早く矯正開始したかったケースです。 |
| 矯正にはリスク・副作用があります▶ | |
| 主訴 | 歯並び |
|
|
|
| 診断 | 叢生 |
| 開始年齢 | 13才 |
| 矯正装置 | マルチブラケット装置,クアドヘリックス |
| 抜歯部位 | 親知らず |
| 動的治療期間 | 3年10か月 |
| 総費用 | 検証料+後期基本料金¥456,000+管理料×来院回数 |
| コメント | かなり昔のケースです。顎が大きめで歯が小さかったため小臼歯非抜歯でたまたまうまく矯正できましたが、女子なのでもっと早く開始したかったケースです。最近はこういう簡単なケースは見かけなくなりました。 |
| 矯正にはリスク・副作用があります▶ | |
| 主訴 | 歯並び |
|
|
|
| 診断 | 叢生 |
| 開始年齢 | 13才 |
| 矯正装置 | マルチブラケット装置,パラタルバー,クアドヘリックス |
| 抜歯部位 | 小臼歯、親知らず(予定) |
| 動的治療期間 | 2年11か月 |
| 総費用 | 検証料+後期基本料金¥456,000+管理料×来院回数 |
| コメント |
下の前歯が前に傾斜していて、歯も大きく、口元が出ていたため、小臼歯を抜歯して矯正しました。抜歯ケースだったのでこの年令からのスタートでも問題ありませんでした。 |
| 矯正にはリスク・副作用があります▶ | |
| 主訴 | 歯並び |
|
|
|
| 診断 | 叢生 |
| 開始年齢 | 13才 |
| 矯正装置 | マルチブラケット装置,クアドヘリックス |
| 抜歯部位 | 親知らず |
| 動的治療期間 | 2年1か月 |
| 総費用 | 検証料+後期基本料金¥456,000+管理料×来院回数 |
| コメント | もっと早く始めたかったケースです。下の歯列を拡大する事はこの年齢では難しいため、下の歯をヤスリで小さくする必要がありますが、ご希望されませんでしたため、下の前歯の並びは妥協しています。 |
| 矯正にはリスク・副作用があります▶ | |
| 主訴 | 歯並び |
|
|
|
| 診断 | 叢生 |
| 開始年齢 | 13才 |
| 矯正装置 | マルチブラケット装置,パラタルバー |
| 抜歯部位 | 上下の5、親知らず(予定) |
| 動的治療期間 | 2年11か月 |
| 総費用 | 検証料+後期基本料金¥456,000+管理料×来院回数 |
| コメント | 右下の5番目の歯の神経が取られていたため、他も4番目ではなく、5番目の歯を抜歯して治療し、健康な小臼歯を残しました。抜歯ケースだったのでこの年令からのスタートでも問題ありませんでした。 |
| 矯正にはリスク・副作用があります▶ | |
| 主訴 | 歯並び |
|
|
|
| 診断 | 叢生 |
| 開始年齢 | 13才 |
| 矯正装置 | マルチブラケット装置,クアドヘリックス |
| 抜歯部位 | 親知らず |
| 動的治療期間 | 2年6か月 |
| 総費用 | 検証料+後期基本料金¥456,000+管理料×来院回数 |
| コメント | 開始年齢が遅く、拡大があまりできなかった上に舌癖があるため、上下の前歯の間にすき間が残っています。犬歯から犬歯までの歯を少し削っても良ければ改善できます。 |
| 矯正にはリスク・副作用があります▶ | |
| 主訴 | 歯並び |
|
|
|
| 診断 | 叢生 |
| 開始年齢 | 13才 |
| 矯正装置 | マルチブラケット装置,クアドヘリックス |
| 抜歯部位 | 親知らず |
| 動的治療期間 | 1年10か月 |
| 総費用 | 検証料+後期基本料金¥456,000+管理料×来院回数 |
| コメント | 歯が小さく、下顎の拡大が不要な簡単なケースなので、13歳でしたが小臼歯非抜歯で直すことができました。今ならデジタルスキャンを行い、歯の大きさを正確に測定して、大きめの歯の幅を少しヤスリで削り、インビザラインを用いることでより美しく仕上げることをお勧めすると思います。 |
| 矯正にはリスク・副作用があります▶ | |
| 主訴 | 歯並び |
|
|
|
| 診断 | 叢生 |
| 開始年齢 | 13才 |
| 矯正装置 | マルチブラケット装置 |
| 抜歯部位 | 下顎切歯、親知らず |
| 動的治療期間 | 2年1か月 |
| 総費用 | 検証料+後期基本料金¥456,000+管理料×来院回数 |
| コメント | 上の側切歯が小さかったので、下の前歯を一本抜いて矯正しています。従って、上下の真ん中は合いませんが、奥歯のかみ合わせを崩すことなく、前歯をきれいに並べることができました。 |
| 矯正にはリスク・副作用があります▶ | |
| 主訴 | 歯並び |
|
|
|
| 診断 | 叢生、下顎前歯欠如 |
| 開始年齢 | 13才 |
| 矯正装置 | マルチブラケット装置 |
| 抜歯部位 | 親知らず |
| 動的治療期間 | 2年6か月 |
| 総費用 | 検証料+後期基本料金¥456,000+管理料×来院回数 |
| コメント |
歯の交換が遅く、下顎の拡大が不要な簡単なケースなので、13歳でしたが、歯をヤスリで削ることなく小臼歯非抜歯で直すことができました。ただし、舌の小帯が短かったので矯正途中に延長術を行っています。最終段階で上の歯の先端のギザギザを少しだけ削っています。 |
| 矯正にはリスク・副作用があります▶ | |
| 主訴 | 歯並び |
|
|
|
| 診断 | 上顎前突、叢生 |
| 開始年齢 | 13才 |
| 装置 | マルチブラケット装置 |
| 抜歯部位 | 親知らず |
| 動的治療期間 | 2年4か月 |
| 総費用 | 検証料+後期基本料金¥456,000+管理料×来院回数 |
| コメント | 他院で上下の顎の拡大を行っていたので、後期矯正は比較的短期間で終わることができました。他院で適切な前期治療を受けた方の場合は、当院で後期治療のみで治療が完了できます。 |
| 矯正にはリスク・副作用があります▶ | |
| 主訴 | 歯並び |
|
|
|
| 診断 | 叢生 |
| 開始年齢 | 14才 |
| 矯正装置 | マルチブラケット装置,ヘッドギア |
| 抜歯部位 | 下の親知らず、上の7 |
| 動的治療期間 | 2年11か月 |
| 総費用 | 検証料+後期基本料金¥456,000+管理料×来院回数 |
| コメント | 開始年齢が遅かったので、最初に下の8を抜歯してから矯正をはじめました。ヘッドギアをしてもあまり効果がなかったため、上の7の抜歯を行い上下の顎の前後的なギャップを解消しました。上の小臼歯を抜歯する治療法を選択しなかったので、全部で永久歯は28本残すことができました。 |
| 矯正にはリスク・副作用があります▶ | |
| 主訴 | 咬み合わせ |
|
|
|
| 診断 | 叢生、下顎前歯先天欠如 |
| 開始年齢 | 14才 |
| 矯正装置 | マルチブラケット装置,クアドヘリックス |
| 抜歯部位 | 下の前歯が1本先天欠如、親知らず |
| 動的治療期間 | 1年7か月 |
| 総費用 | 検証料+後期基本料金¥456,000+管理料×来院回数 |
| コメント | もし、もっと早期に始めていれば、おそらく前期矯正だけで終了できたと思われます。 |
| 矯正にはリスク・副作用があります▶ | |
| 主訴 | 歯並び |
|
|
|
| 診断 | 叢生 |
| 開始年齢 | 14才 |
| 矯正装置 | マルチブラケット装置 |
| 抜歯部位 | 親知らず |
| 動的治療期間 | 4年7か月 |
| 総費用 |
検証料+後期基本料金¥456,000+管理料×来院回数 |
| コメント | 簡単なケースだったので14歳から始めても小臼歯を非抜歯で矯正できました。 |
| 矯正にはリスク・副作用があります▶ | |
| 主訴 | 歯並び |
|
|
|
| 診断 | 叢生 |
| 開始年齢 | 15才 |
| 矯正装置 | マルチブラケット装置 |
| 抜歯部位 | 上顎第二大臼歯、下顎親知らず |
| 動的治療期間 | 2年10か月 |
| 総費用 | 検証料+後期基本料金¥456,000+管理料×来院回数 |
| コメント | 歯が大きくなくて拡大が不要なケースの場合、これくらいの年齢から開始しても小臼歯非抜歯で矯正できることが多いです。 |
| 矯正にはリスク・副作用があります▶ | |
| 主訴 | 歯並び |
|
|
|
| 診断 | 叢生 |
| 開始年齢 | 15才 |
| 矯正装置 | マルチブラケット装置 |
| 抜歯部位 | 上顎第二大臼歯、下顎親知らず |
| 動的治療期間 | 2年7か月 |
| 総費用 | 検証料+後期基本料金¥456,000+管理料×来院回数 |
| コメント | このケースは諸条件が非常に良かったので、この年齢でも歯をヤスリで削らずに小臼歯非抜歯で矯正ができましたが、こういうケースは稀です。 |
| 矯正にはリスク・副作用があります▶ | |
| 主訴 | |
|
|
|
| 診断 | 叢生、上顎前突 |
| 開始年齢 | 15才 |
| 矯正装置 | マルチブラケット装置,バイトプレート,パラタルバー |
| 抜歯部位 | 上下の4 |
| 動的治療期間 | 4年9か月 |
| 総費用 | 検証料+後期基本料金¥456,000+管理料×来院回数 |
| コメント | 「小臼歯を抜歯せずに並べて終了」と思いましたが、口元が出ているとのことで、そこから小臼歯を抜歯して矯正治療を行ったため時間がかかりました。 |
| 矯正にはリスク・副作用があります▶ | |
| 主訴 | 歯並び |
|
|
|
| 診断 | 叢生 |
| 開始年齢 | 16才 |
| 矯正装置 | マルチブラケット装置 |
| 抜歯部位 | 上顎第二大臼歯、下顎親知らず、下の1は先天欠如 |
| 動的治療期間 | 3年5か月 |
| 総費用 | 検証料+後期基本料金¥456,000+管理料×来院回数 |
| コメント | 上の第二大臼歯を抜歯し、小臼歯は非抜歯で治療しましたので、最終的に永久歯は27本残すことができました。歯をヤスリで削らずに治療を行っているため、仕上がりがそこそこです。現在では、デジタルスキャンを行い、歯の大きさを正確に測定して、大きめの歯の幅を少しヤスリで削り、インビザラインを用いることでより美しく仕上げることも行っています。 |
| 矯正にはリスク・副作用があります▶ | |
| 主訴 | 歯並び |
|
|
|
| 診断 | 叢生 |
| 開始年齢 | 17才 |
| 矯正装置 | マルチブラケット装置,パラタルバー |
| 抜歯部位 | 左上の4、親知らず |
| 動的治療期間 | 2年10か月 |
| 総費用 | 検証料+後期基本料金¥456,000+管理料×来院回数 |
| コメント | 年齢が高く、拡大が難しいため、左上の4番目の小臼歯を1本抜歯して矯正しました。 |
| 矯正にはリスク・副作用があります▶ | |
| 主訴 | 歯並び |
|
|
|
| 診断 | 叢生 |
| 開始年齢 | 18才 |
| 矯正装置 | マルチブラケット装置,クアドヘリックス |
| 抜歯部位 | 親知らず |
| 動的治療期間 | 1年11か月 |
| 総費用 | 検証料+後期基本料金¥456,000+管理料×来院回数 |
| コメント | これくらいの年齢では、まず下の親知らずを抜歯してから治療を開始します。小臼歯を非抜歯で矯正しましたが、18歳だと拡大しても後戻りしやすいので、本当は14歳頃に開始したかったケースです。 |
| 矯正にはリスク・副作用があります▶ | |
| 主訴 | 歯並び |
|
|
|
| 診断 | 叢生 |
| 開始年齢 | 19才 |
| 矯正装置 | マルチブラケット装置,ヘッドギア,パラタルバー |
| 抜歯部位 | 親知らず |
| 動的治療期間 | 2年6か月 |
| 総費用 | 検証料+後期基本料金¥456,000+管理料×来院回数 |
| コメント | 現在では、デジタルスキャンを行い、歯の大きさを正確に測定して、大きめの歯の幅を少しヤスリで削り、インビザラインでより美しく仕上げることも行っています。 |
| 矯正にはリスク・副作用があります▶ | |
| 主訴 | 歯並び |
|
|
|
| 診断 | 叢生 |
| 開始年齢 | 20才 |
| 矯正装置 | マルチブラケット装置,パラタルバー |
| 抜歯部位 | 左上下の4、右上下の5、親知らず |
| 動的治療期間 | 2年4か月 |
| 総費用 | 検証料+後期基本料金¥456,000+管理料×来院回数 |
| コメント | 成人の場合、抜歯矯正後に後戻りしやすいので、本当は成長期に開始したかったケースです。歯をヤスリで削らずに治療を行っているため、仕上がりがそこそこです。現在では、デジタルスキャンを行い、歯の大きさを正確に測定して、大きめの歯の幅を少しヤスリで削り、インビザラインを用いることでより美しく仕上げることも行っています。 |
| 矯正にはリスク・副作用があります▶ | |
| 主訴 | 歯並び |
|
|
|
| 診断 | 叢生 |
| 開始年齢 | 25才 |
| 矯正装置 | 拡大床,マルチブラケット装置,ヘッドギア,クアドヘリックス,バイヘリックス |
| 抜歯部位 | 親知らず |
| 動的治療期間 | 1年10か月 |
| 総費用 | 検証料+後期基本料金¥456,000+管理料×来院回数 |
| コメント | 「ガタガタだけど歯を抜かずに矯正したい」ということで来院されました。成人の場合、拡大しても後戻りしやすいのですが、リテーナーをずっと使用していただくという条件で治療を行いました。調べてみると骨格的には問題がなく、上の歯がかなり内側に傾斜していたので、小臼歯を抜かずに1998年に治療を終了できました。歯をヤスリで削らずに治療を行っているため、仕上がりがそこそこです。現在では、デジタルスキャンを行い、歯の大きさを正確に測定して、大きめの歯の幅を少しヤスリで削り、インビザラインを用いることでより美しく仕上げることも行っています。 |
| 矯正にはリスク・副作用があります▶ | |
| 主訴 | 歯並び |
|
|
|
| 診断 | 叢生 |
| 開始年齢 | 27才 |
| 矯正装置 | 拡大床,マルチブラケット装置,ヘッドギア |
| 抜歯部位 | 親知らず(他院にて抜歯済) |
| 動的治療期間 | 3年9か月 |
| 総費用 | 検証料+後期基本料金¥456,000+管理料×来院回数 |
| コメント | 成人の場合、後戻りしやすいので、本当は成長期に開始したかったケースです。顎の拡大があまりできなかったので、上下の歯をヤスリで削って小さくして並べました。 |
| 矯正にはリスク・副作用があります▶ | |
| 主訴 | 八重歯 |
|
|
|
| 診断 | 叢生 |
| 開始年齢 | 28才 |
| 矯正装置 | マルチブラケット装置,ヘッドギア,パラタルバー |
| 抜歯部位 | 右上の4と左上の5、親知らず(他院にて抜歯済) |
| 動的治療期間 | 2年5か月 |
| 総費用 | 検証料+後期基本料金¥456,000+管理料×来院回数 |
| コメント | 虫歯になっていた第二小臼歯を抜歯して矯正したため、第一小臼歯を抜歯して行う通常の矯正より期間が長くなっています。上は親知らずがあれば、銀歯を抜歯して親知らずを生かせたのに残念です。奥歯もキレイに咬んでいます。 |
| 矯正にはリスク・副作用があります▶ | |
| 主訴 | 歯並びが悪い |
|
|
|
| 診断 | 叢生 |
| 開始年齢 | 54才 |
| 矯正装置 | インビザライン |
| 抜歯部位 | 上下の親知らず |
| 動的治療期間 | 2年3か月 |
| 総費用 |
650,000円 |
| コメント | 成人の場合、奥歯の咬み合わせを大きく変えないことが多く、そのため期間は短くなりますが、後戻りはしやすくなります。 |
| 矯正にはリスク・副作用があります▶ | |
















































































































