噛み合わせのズレは、顎の成長に大きく影響するので、できるだけ早期に取り掛かります。
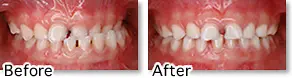
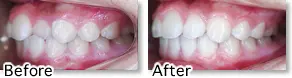
| 主訴 | かみあわせがおかしい |
![]()
| |
| 診断 | 交叉咬合 |
| 開始年齢 | 6才 |
| 矯正装置 | 拡大床、マルチブラケット装置、リンガルアーチ |
| 抜歯部位 | 親知らず(予定) |
| 動的治療期間 | 9か月 |
| 総費用 | 検証料+前期基本料金¥226,000+管理料×来院回数 |
| コメント | 前から見て噛み合わせが非対称のケースは早期の改善が必要です。歯の交換を待って、必要があれば、奥歯も含めた仕上げの矯正を行います。 |
| 矯正にはリスク・副作用があります▶ | |
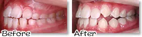
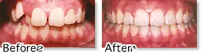
| 主訴 | かみ合わせがおかしい |
![]()
| |
| 診断 | 交叉咬合 |
| 開始年齢 | 6才 |
| 矯正装置 | 拡大床 |
| 抜歯部位 | 親知らず(予定) |
| 動的治療期間 | 1年3か月 |
| 総費用 | 検証料+前期基本料金¥180,000+管理料×来院回数 |
| コメント | 奥歯の咬み合わせが左右で非対称の場合は、下顎のズレにつながるため早期に改善をはかります。 |
| 矯正にはリスク・副作用があります▶ | |
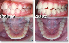
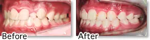
| 主訴 | 咬み合わせがおかしい |
![]()
| |
| 診断 | 前歯部交叉咬合 |
| 開始年齢 | 7才 |
| 矯正装置 | 拡大床 |
| 抜歯部位 | 親知らず(予定) |
| 動的治療期間 | 3か月 |
| 総費用 | 検証料+前期基本料金¥60,000+管理料×来院回数 |
| コメント | ピッタリの開始時期だったと思います。永久歯に生え変わる時は順調だったため、後期矯正は必要ありませんでした。 |
| 矯正にはリスク・副作用があります▶ | |
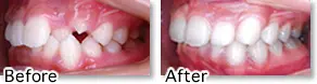
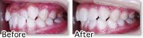
| 主訴 | かみかたがおかしい |
![]()
| |
| 診断 | 顎偏位、交叉咬合 |
| 開始年齢 | 7才 |
| 矯正装置 | 拡大床 |
| 抜歯部位 | 親知らず(予定) |
| 動的治療期間 | 1年5か月 |
| 総費用 | 検証料+前期基本料金¥180,000+管理料×来院回数 |
| コメント | 奥歯の咬み合わせが左右で非対称の場合は、下顎のズレにつながるため早期に改善をはかります。生え替わりを待って、後期矯正を行います。 |
| 矯正にはリスク・副作用があります▶ | |
| 主訴 | 前歯が気になる |
![]()
| |
| 診断 | 交叉咬合 |
| 開始年齢 | 7才 |
| 矯正装置 | 拡大床,マルチブラケット装置,リンガルアーチ |
| 抜歯部位 | 親知らず(予定) |
| 動的治療期間 | 2年1か月 |
| 総費用 | 検証料+前期基本料金¥226,000+管理料×来院回数 |
| コメント | 歯が小さめだったので、前期矯正のみで並べることができました。こういうケースはトータルプライス制の矯正歯科医院だと費用が必要以上にかかります。 |
| 矯正にはリスク・副作用があります▶ | |
| 主訴 | かみ合わせが反対 |
![]()
| |
| 診断 | 前歯部交叉咬合 |
| 開始年齢 | 7才 |
| 矯正装置 | 拡大床、マルチブラケット装置、クアドヘリックス、バイヘリックス |
| 抜歯部位 | 右下親知らず |
| 動的治療期間 | 6年6か月 |
| 総費用 | 検証料+前期基本料金¥286,000+管理料×来院回数 |
| コメント | 上下を広げて、前歯だけにマルチブラケット装置をつけました。個人的には犬歯より後 ろも治療したかったケースです。 |
| 矯正にはリスク・副作用があります▶ | |
| 主訴 | |
| |
| 診断 | 叢生 |
| 開始年齢 | 7才 |
| 矯正装置 | |
| 抜歯部位 | |
| 動的治療期間 | |
| 総費用 | |
| コメント | |
| 矯正にはリスク・副作用があります▶ | |
| 主訴 | 歯並び |
| |
| 診断 | 前歯部交叉咬合 |
| 開始年齢 | 8才 |
| 矯正装置 | マルチブラケット装置 |
| 抜歯部位 | 親知らず(予定) |
| 動的治療期間 | 10か月 |
| 総費用 | 検証料+前期基本料金¥76,000+管理料×来院回数 |
| コメント | ピッタリの開始時期だったと思います。このケースは前期矯正のみで終了しました。今なら上下の顎を拡大しています。 |
| 矯正にはリスク・副作用があります▶ | |
| 主訴 | 歯並び |
| |
| 診断 | 前歯部交叉咬合 |
| 開始年齢 | 8才 |
| 矯正装置 | 拡大床、マルチブラケット装置 |
| 抜歯部位 | 親知らず(予定) |
| 動的治療期間 | 4か月 |
| 総費用 | 検証料+前期基本料金¥136,000+管理料×来院回数 |
| コメント | ピッタリの開始時期だったと思います。このケースは前期矯正のみで終了しました。現在は、上下の顎を拡大しています。 |
| 矯正にはリスク・副作用があります▶ | |
| 主訴 | かみあわせが変 |
| |
| 診断 | 交叉咬合 |
| 開始年齢 | 8才 |
| 矯正装置 | マルチブラケット装置,クアドヘリックス |
| 抜歯部位 | 親知らず(予定) |
| 動的治療期間 | 1年5か月 |
| 総費用 | 検証料+前期基本料金¥286,000+管理料×来院回数 |
| コメント | ピッタリの開始時期だったと思います。必要があれば、奥歯も含めた仕上げの矯正を行います。 |
| 矯正にはリスク・副作用があります▶ | |
| 主訴 | 前歯が気になる |
| |
| 診断 | 交叉咬合 |
| 開始年齢 | 8才 |
| 矯正装置 | 拡大床、クアドヘリックス |
| 抜歯部位 | 親知らず(予定) |
| 動的治療期間 | 1年8か月 |
| 総費用 | 検証料+前期基本料金¥210,000+管理料×来院回数 |
| コメント | 上の顎を拡大して噛み合わせを改善しました。必要があれば、生え替わりを待って、後期矯正を行います |
| 矯正にはリスク・副作用があります▶ | |
| 主訴 | かみあわせが深い |
| |
| 診断 | 前歯部交叉咬合、過蓋咬合 |
| 開始年齢 | 8才 |
| 矯正装置 | 拡大床、マルチブラケット装置、バイトプレート |
| 抜歯部位 | 親知らず(予定) |
| 動的治療期間 | 3年3か月 |
| 総費用 | 検証料+前期基本料金¥286,000+管理料×来院回数 |
| コメント | 前期矯正のみです。個人的には後期矯正も行って過蓋咬合と犬歯や小臼歯の角度を直したてもっと咬めるようにした方が良いと思います。 |
| 矯正にはリスク・副作用があります▶ | |
| 主訴 | 前歯が気になる |
| |
| 診断 | 交叉咬合 |
| 開始年齢 | 8才 |
| 矯正装置 | 拡大床、リンガルアーチ |
| 抜歯部位 | 親知らず(予定) |
| 動的治療期間 | 1年11か月 |
| 総費用 | 検証料+前期基本料金¥210,000+管理料×来院回数 |
| コメント | 前期矯正のみで、咬み合わせは改善しました。必要があれば後期矯正を開始します。 |
| 矯正にはリスク・副作用があります▶ | |
| 主訴 | 歯並びが悪い |
| |
| 診断 | 交叉咬合、叢生 |
| 開始年齢 | 8才 |
| 矯正装置 | 拡大床、マルチブラケット装置、クアドヘリックス |
| 抜歯部位 | 下顎親知らず(予定) |
| 動的治療期間 | 2年2か月 |
| 総費用 | 検証料+前期基本料金¥286,000+管理料×来院回数 |
| コメント | 前歯は並んだのですが、小臼歯はそのままで良いとのご希望でしたので、後期矯正なしでやむなく終了しました。 |
| 矯正にはリスク・副作用があります▶ | |
| 主訴 | |
| |
| 診断 | 叢生 |
| 開始年齢 | 8才 |
| 矯正装置 | |
| 抜歯部位 | |
| 動的治療期間 | |
| 総費用 | |
| コメント | |
| 矯正にはリスク・副作用があります▶ | |
| 主訴 | かみ合わせがおかしい |
| |
| 診断 | 交叉咬合、過蓋咬合 |
| 開始年齢 | 9才 |
| 矯正装置 | マルチブラケット装置、クアドヘリックス |
| 抜歯部位 | 親知らず(予定) |
| 動的治療期間 | 3年9か月 |
| 総費用 | 検証料+前期基本料金¥286,000+管理料×来院回数 |
| コメント | 乳犬歯のクロスバイトだったので、前期矯正を行いました。個人的には、後期矯正を行い前歯の深いかみ合わせを改善したかったです。 |
| 矯正にはリスク・副作用があります▶ | |
| 主訴 | 奥のかみ合わせ |
![]()
| |
| 診断 | 乳臼歯の交叉咬合 |
| 開始年齢 | 9才 |
| 矯正装置 | マルチブラケット装置、クアドヘリックス |
| 抜歯部位 | 親知らず(予定) |
| 動的治療期間 | 4年 |
| 総費用 | 検証料+前期基本料金¥286,000+管理料×来院回数 |
| コメント | 前期矯正で、奥歯の咬み合わせのみを直しました。 |
| 矯正にはリスク・副作用があります▶ | |
| 主訴 | |
| |
| 診断 | 交叉咬合 |
| 開始年齢 | 10才 |
| 矯正装置 | |
| 抜歯部位 | |
| 動的治療期間 | |
| 総費用 | |
| コメント | |
| 矯正にはリスク・副作用があります▶ | |
| 主訴 | 咬み合わせ |
| |
| 診断 | 前歯部交叉咬合 |
| 開始年齢 | 11才 |
| 矯正装置 | マルチブラケット装置、クアドヘリックス |
| 抜歯部位 | 親知らず(予定) |
| 動的治療期間 | 2年10か月 |
| 総費用 | 検証料+後期基本料金¥456,000+管理料×来院回数 |
| コメント | 舌の癖がある場合、上下の歯のすき間がうまく閉じない場合があります。正しい舌の位置が重要です。 |
| 矯正にはリスク・副作用があります▶ | |
| 主訴 | 咬み合わせ |
| |
| 診断 | 前歯部交叉咬合 |
| 開始年齢 | 11才 |
| 矯正装置 | マルチブラケット装置 |
| 抜歯部位 | 親知らず |
| 動的治療期間 | 2年8か月 |
| 総費用 | 検証料+後期基本料金¥456,000+管理料×来院回数 |
| コメント | 乳歯が残っているもう少し早い時期から矯正開始した方がより美しい仕上がりになったと思います。多くの歯にヤスリをかけて小さくすれば、もう少し仕上がりをキレイにする事は可能です。 |
| 矯正にはリスク・副作用があります▶ | |
| 主訴 | 歯並び |
| |
| 診断 | 前歯部交叉咬合 |
| 開始年齢 | 11才 |
| 矯正装置 | マルチブラケット装置 |
| 抜歯部位 | 上下の8 |
| 動的治療期間 | 前期:2年6か月 後期:3年6ヶ月 |
| 総費用 | 検証料+後期基本料金¥456,000+管理料×来院回数 |
| コメント | 歯が大きかったので苦労しましたが、なんとか非抜歯で矯正しました。開始時期が遅かったので、下顎を十分に拡大できませんでした。そのためにヤスリをかけても良ければ、もう少し仕上がりをキレイにする事は可能です。 |
| 矯正にはリスク・副作用があります▶ | |
| 主訴 | かみ合わせが悪い、右上の前歯が内側に入っている |
| |
| 診断 | 叢生、前歯部交叉咬合 |
| 開始年齢 | 11才 |
| 矯正装置 | マルチブラケット装置、リンガルアーチ |
| 抜歯部位 | 下の親知らず |
| 動的治療期間 | 3年2か月 |
| 総費用 | 検証料+後期基本料金¥456,000+管理料×来院回数 |
| コメント | 後期矯正を行い、親知らずを抜歯しました。 |
| 矯正にはリスク・副作用があります▶ | |
| 主訴 | 上の前歯が気になる |
| |
| 診断 | 前歯部交叉咬合 |
| 開始年齢 | 12才 |
| 矯正装置 | マルチブラケット装置,クアドヘリックス |
| 抜歯部位 | 親しらず(予定) |
| 動的治療期間 | 2年3か月 |
| 総費用 | 検証料+後期基本料金¥456,000+管理料×来院回数 |
| コメント | 「上の前歯が気になる」で来院されました。下顎は広がりにくいのですが、このケースは下顎の拡大が不要だったので、12歳という遅めの開始時期でしたが、小臼歯を抜歯せずに矯正ができました。 |
| 矯正にはリスク・副作用があります▶ | |
| 主訴 | 前歯が気になる |
| |
| 診断 | 奥歯の交叉咬合 |
| 開始年齢 | 12才 |
| 矯正装置 | マルチブラケット装置、クアドヘリックス |
| 抜歯部位 | 親知らず |
| 動的治療期間 | 2年2か月 |
| 総費用 | 検証料+後期基本料金¥456,000+管理料×来院回数 |
| コメント | 永久歯に完全に生え替わる前に上の顎を広げることができて良かったです。奥歯もキレイに咬んでいます。 |
| 矯正にはリスク・副作用があります▶ | |
| 主訴 | 咬み合わせ |
| |
| 診断 | 前歯部交叉咬合、叢生 |
| 開始年齢 | 12才 |
| 矯正装置 | マルチブラケット装置,ホールディングアーチ,パラタルバー |
| 抜歯部位 | 上下の4、上下の8(予定) |
| 動的治療期間 | 3年10か月 |
| 総費用 | 検証料+後期基本料金¥456,000+管理料×来院回数 |
| コメント | 下の前歯が前に傾いていて、顎が小さく、歯が大きく、年齢が高かったため、小臼歯と8を抜歯して矯正を行いました。 |
| 矯正にはリスク・副作用がありますと▶ | |
| 主訴 | 前歯の歯並び |
| |
| 診断 | 前歯部交叉咬合 |
| 開始年齢 | 12才 |
| 矯正装置 | マルチブラケット装置,クアドヘリックス |
| 抜歯部位 | 親知らず |
| 動的治療期間 | 3年1か月 |
| 総費用 | 検証料+後期基本料金¥456,000+管理料×来院回数 |
| コメント | 下顎の拡大が不要なケースです。キャンセルが多かったため期間がかかってしまいました。 |
| 矯正にはリスク・副作用があります▶ | |
| 主訴 | 受け口 |
| |
| 診断 | 交叉咬合 |
| 開始年齢 | 12才 |
| 矯正装置 | マルチブラケット装置、切歯斜面板 |
| 抜歯部位 | 親知らず |
| 動的治療期間 | 1年1か月 |
| 総費用 | 検証料+前期基本料金¥136,000+管理料×来院回数 |
| コメント | 本当は上下に装置をつけて全顎の矯正をしたかったのですが、「これで充分です」との事で部分矯正だけで終了しました。前歯の噛み合わせが逆の場合、噛むことによって歯にかかる力の方向が通常とは逆になります。そのために早期の改善が望ましいです。 |
| 矯正にはリスク・副作用があります▶ | |
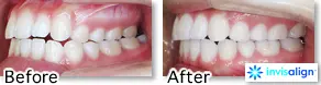
| 主訴 | 左で咬んでいない |
| |
| 診断 | 交叉咬合 |
| 開始年齢 | 20才 |
| 矯正装置 | マルチブラケット装置、インビザライン |
| 抜歯部位 | 下の親知らず(左下前歯1本は先天欠如) |
| 動的治療期間 | マルチブラケット装置:1年1か月 インビザライン:4年8か月 |
| 総費用 | 検証料+後期基本料金¥650,000+管理料×来院回数 |
| コメント | 交叉咬合をマルチブラケット装置とインビザラインで矯正しました。下の前歯が一本少ないです。 |
| 矯正にはリスク・副作用があります▶ | |
当院の治療例はこちらからご覧いただけます。
治療費用の詳細はこちら
料金ページを見る

































