分類しにくいケースを並べました。舌癖が治らないケースはキレイに仕上がらず後戻りも見られます。
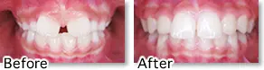
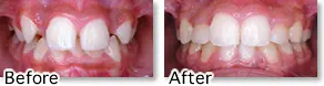
| 主訴 | 前歯のガタガタと正中のズレ |
| |
| 診断 | 顎偏位 |
| 開始年齢 | 7才 |
| 矯正装置 | 拡大床 |
| 抜歯部位 | 親知らず(予定) |
| 動的治療期間 | 11か月 |
| 総費用 | 検証料+前期基本料金¥210,000+管理料×来院回数 |
| コメント | 舌小帯延長術と前期治療を行う事で、顎のズレを早期に改善できました。必要があれば、生え替わりを待って、後期矯正を行います。→下の8を抜歯 |
| 矯正にはリスク・副作用があります▶ | |
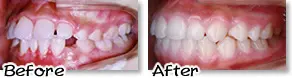
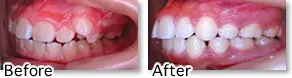
| 主訴 | 前歯のスキマ |
| |
| 診断 | 正中離開、狭窄歯列 |
| 開始年齢 | 7才 |
| 矯正装置 | 拡大床、マルチブラケット装置 |
| 抜歯部位 | 親知らず(予定) |
| 動的治療期間 | 2年4か月 |
| 総費用 | 検証料+前期基本料金¥286,000+管理料×来院回数 |
| コメント | 前歯をスキマを閉じた後に上の顎を横に広げて上の前歯4本が並ぶスペースを作りましたが、本来なら拡大してから前歯のスキマを閉じた方が良いです。必要があれば、生え替わりを待って、後期矯正を行います。当院では、1995年くらいからこのような早期矯正を行ってまいりました。 |
| 矯正にはリスク・副作用があります▶ | |
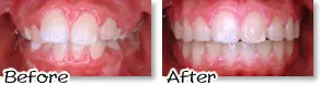
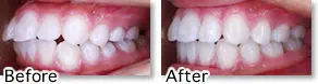
| 主訴 | 下の歯がねじれている |
| |
| 診断 | 捻転歯 |
| 開始年齢 | 7才 |
| 矯正装置 | 拡大床、マルチブラケット装置、リンガルアーチ |
| 抜歯部位 | 親知らず(予定) |
| 動的治療期間 | 2年 |
| 総費用 | 検証料+前期基本料金¥286,000+管理料×来院回数 |
| コメント | 下の前歯だけの矯正になりそうですが、並べるためには上下の顎を拡大する必要がありました。 |
| 矯正にはリスク・副作用があります▶ | |
| 主訴 | |
| |
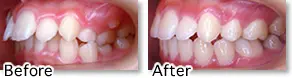
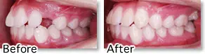
| 診断 | 空隙歯列 |
| 開始年齢 | 8才 |
| 矯正装置 | 拡大床、マルチブラケット装置 |
| 抜歯部位 | 親知らず |
| 動的治療期間 | 前期:1年10か月、後期:1年11か月 |
| 総費用 | 検証料+前期+後期基本料金¥486,000+管理料×来院回数 |
| コメント | 前期矯正で上下の顎を広げて、後期矯正でマルチブラケットを用いて永久歯を配列しました。簡単なケースでした。 |
| 矯正にはリスク・副作用があります▶ | |
| 主訴 | 顎がずれている |
| |
| 診断 | 顎偏位、交叉咬合 |
| 開始年齢 | 8才 |
| 矯正装置 | 拡大床、クアドヘリックス |
| 抜歯部位 | 親知らず(予定) |
| 動的治療期間 | 1年8か月 |
| 総費用 | 検証料+前期基本料金¥210,000+管理料×来院回数 |
| コメント | 早期治療を行う事で、顎のズレを早期に改善できました。必要があれば、生え替わりを待って、後期矯正を行います。このようなケースを中学生まで放置してから矯正開始すれば、費用も多くかかる上に、小臼歯の抜歯が必要になることもあります。 |
| 矯正にはリスク・副作用があります▶ | |
| 主訴 | 前歯がガタガタしている |
| |
| 診断 | 歯列狭窄、叢生 |
| 開始年齢 | 8才 |
| 矯正装置 | 拡大床、マルチブラケット装置、クアドヘリックス、リンガルアーチ、バイヘリックス |
| 抜歯部位 | 親知らず |
| 動的治療期間 | 5年10ヶ月 |
| 総費用 | 検証料+前期+後期基本料金¥486,000+管理料×来院回数 |
| コメント | 低年齢から拡大することで、時間はかかりましたが、小臼歯を抜かずに矯正することができました。中学生くらいから開始すれば、小臼歯の抜歯が避けられなかったケースだと思います。当院では、1995年からこのような早期矯正を行ってまいりました。 |
| 矯正にはリスク・副作用があります▶ | |
| 主訴 | 前歯が気になる |
| |
| 診断 | 切端咬合 |
| 開始年齢 | 8才 |
| 矯正装置 | 拡大床、マルチブラケット装置 |
| 抜歯部位 | 親知らず(予定) |
| 動的治療期間 | 1年 |
| 総費用 | 検証料+前期基本料金¥286,000+管理料×来院回数 |
| コメント | 前歯だけに矯正器具をつけて前歯だけを改善しました。 |
| 矯正にはリスク・副作用があります▶ | |
| 主訴 | もっときれいにしてほしい |
| |
| 診断 | 正常咬合 |
| 開始年齢 | 9歳 |
| 矯正装置 | マルチブラケット装置、ヘッドギア、オーラルスクリーン、リンガルアーチ |
| 抜歯部位 | 親知らず |
| 動的治療期間 | 2年11か月 |
| 総費用 | 検証料+後期基本料金¥456,000+管理料×来院回数 |
| コメント | よりキレイな歯列をご希望されたので矯正しました。「ようやく日本でも歯に対する意識が高まってきた」と感じたことを覚えています。 |
| 矯正にはリスク・副作用があります▶ | |
| 主訴 | 歯がガタガタしている |
| |
| 診断 | 叢生、狭窄歯列 |
| 開始年齢 | 10才 |
| 矯正装置 | 拡大床、マルチブラケット装置、パラタルバー、リップバンパー |
| 抜歯部位 | 親知らず |
| 動的治療期間 | 4年11か月 |
| 総費用 | 検証料+前期+後期基本料金¥486,000+管理料×来院回数 |
| コメント | 前期治療と後期治療を一緒に行い、長期間かけて上下顎共に拡大しました。ギリギリで小臼歯非抜歯のケースでは、歯列を育成してスペースを作り、奥歯の咬み合わせも整えないといけないので、それなりに時間がかかります。当院では、1995年くらいからこのような早期治療を行ってまいりました。 |
| 矯正にはリスク・副作用があります▶ | |
| 主訴 | 前歯が気になる |
| |
| 診断 | 空隙歯列 |
| 開始年齢 | 10才 |
| 矯正装置 | マルチブラケット装置、リンガルアーチ |
| 抜歯部位 | 上下の親知らず、舌小帯切除術 |
| 動的治療期間 | 6年7か月 |
| 総費用 | 検証料+後期基本料金¥456,000+管理料×来院回数 |
| コメント | 受け口傾向のあった方です。保護者が高身長でしたので下顎の長期間の成長が予想されました。舌小帯を延長する手術も行いました。期間はかかりましたが何とか受け口に後戻りすることなく終了できました。 |
| 矯正にはリスク・副作用があります▶ | |
| 主訴 | |
| |
| 診断 | 上顎前突、過蓋咬合、小臼歯欠如 |
| 開始年齢 | 11才 |
| 矯正装置 | マルチブラケット装置 |
| 抜歯部位 | 親知らず(予定) |
| 動的治療期間 | 4年 |
| 総費用 | 検証料+前期+後期基本料金¥456,000+管理料×来院回数 |
| コメント | 過蓋咬合があったので早めに始めました。前期矯正と後期矯正を一緒に行った上、途中5ヶ月間小臼歯が生えるのを待ったため時間がかかりました。上の前歯をヤスリで少し削れば、仕上がりはよくなりますが、当院では後戻りをした時のために余地を残した矯正を行なうように心がけています。 |
| 矯正にはリスク・副作用があります▶ | |
| 主訴 | 上の歯が2本前から見えない |
| |
| 診断 | 叢生、狭窄歯列 |
| 開始年齢 | 11才 |
| 矯正装置 | マルチブラケット装置、パラタルバー、クアドヘリックス |
| 抜歯部位 | 上の4、下の2、親知らず(予定) |
| 動的治療期間 | 3年2か月 |
| 総費用 | 検証料+後期基本料金¥456,000+管理料×来院回数 |
| コメント | 幅が狭かったので早めに始めました。小臼歯を抜かないといけないケースは、これくらいの年齢からでも問題なく矯正はできます。 |
| 矯正にはリスク・副作用があります▶ | |
| 主訴 | 歯がねじれている |
| |
| 診断 | 捻転歯 |
| 開始年齢 | 11才 |
| 矯正装置 | クアドヘリックス、マルチブラケット装置 |
| 抜歯部位 | 親知らず(予定) |
| 動的治療期間 | 2年 |
| 総費用 | 検証料+後期基本料金¥456,000+管理料×来院回数 |
| コメント | あまり広げる必要もなく、骨格的には簡単なケースなので11歳からでも余裕でした。最近、こういうケースは本当に少なくなったように思います。 |
| 矯正にはリスク・副作用があります▶ | |
| 主訴 | 歯並び |
| |
| 診断 | 叢生、正中埋伏過剰歯 |
| 開始年齢 | 11才 |
| 矯正装置 | マルチブラケット装置、バイトプレート |
| 抜歯部位 | 上下の4と下の8 |
| 動的治療期間 | 3年9か月 |
| 総費用 | 検証料+後期基本料金¥456,000+管理料×来院回数 |
| コメント | 小臼歯を抜歯するケースだったので開始時期は良かったのですが、前歯の後ろに下げる際に上の正中埋伏過剰歯が邪魔をして歯列が広がったため、正中埋伏歯を抜歯し、急速拡大装置を合計で3ヶ月用いて6-6間を縮小し、仕上げました。奥歯もキレイに咬んでいます。 |
| 矯正にはリスク・副作用があります▶ | |
| 主訴 | |
| |
| 診断 | 上顎前突、過蓋咬合、上顎犬歯欠如 |
| 開始年齢 | 11才 |
| 矯正装置 | 拡大床、パラタルバー、インプラントアンカー |
| 抜歯部位 | 親知らず |
| 動的治療期間 | 4年3か月 |
| 総費用 | 検証料+後期基本料金¥456,000+管理料×来院回数 |
| コメント | 左側の乳犬歯を抜いて、小臼歯をその場所に移動するためにミニスクリューを用いました。上の犬歯に見えるような歯は第一小臼歯です。 |
| 矯正にはリスク・副作用があります▶ | |
| 主訴 | |
| |
| 診断 | 空隙歯列 |
| 開始年齢 | 11才 |
| 矯正装置 | マルチブラケット装置 |
| 抜歯部位 | 上下の親知らず(予定) |
| 動的治療期間 | 2年1か月 |
| 総費用 | 検証料+後期基本料金¥456,000+管理料×来院回数 |
| コメント | すき間が開きすぎていたので、上下のすき間を閉じて並べました。舌小帯延長術も行いました。 |
| 矯正にはリスク・副作用があります▶ | |
| 主訴 | 前歯の歯並び |
| |
| 診断 | 叢生、下顎前歯欠如 |
| 開始年齢 | 12才 |
| 矯正装置 | マルチブラケット装置,フェイスマスク |
| 抜歯部位 | 上顎前歯、下顎親知らず、下の前歯は1本欠損 |
| 動的治療期間 | 3年2か月 |
| 総費用 | 検証料+後期基本料金¥456,000+管理料×来院回数 |
| コメント | 打撲して折れた前歯2本を抜歯し、内側に入りこんで見えなかった健康な歯を残して矯正しました。上の奥歯を前に移動するためにフェイスマスクを用いました。 |
| 矯正にはリスク・副作用があります▶ | |
| 主訴 | |
| |
| 診断 | 下顎小臼歯欠如、上下顎前突 |
| 開始年齢 | 12才 |
| 矯正装置 | マルチブラケット装置、パラタルバー |
| 抜歯部位 | 上顎小臼歯、親知らず、(舌小帯切除) |
| 動的治療期間 | 2年7か月 |
| 総費用 | 検証料+後期基本料金¥456,000+管理料×来院回数 |
| コメント | 口元が出ていた上に、下の前から5番目の歯が元々なかったので、右上の前から4番目、左上の前から5番目の歯と残っていた下の乳歯左右2本を抜歯して並べました。 |
| 矯正にはリスク・副作用があります▶ | |
| 主訴 | |
| |
| 診断 | 叢生、下顎前歯欠如 |
| 開始年齢 | 13才 |
| 矯正装置 | マルチブラケット装置 |
| 抜歯部位 | 下顎親知らず |
| 動的治療期間 | 2年6か月 |
| 総費用 | 検証料+後期基本料金¥456,000+管理料×来院回数 |
| コメント | 下顎の拡大が不要な簡単なケースだったので、13歳でしたが小臼歯非抜歯で直すことができました。 |
| 矯正にはリスク・副作用があります▶ | |
| 主訴 | |
| |
| 診断 | 上顎犬歯埋伏 |
| 開始年齢 | 13才 |
| 矯正装置 | マルチブラケット装置 |
| 抜歯部位 | 親知らず |
| 動的治療期間 | 2年1か月 |
| 総費用 | 検証料+後期基本料金¥456,000+管理料×来院回数 |
| コメント | 左上の犬歯が埋伏していたので、マルチブラケット装置を装着した後に開窓し、左上の犬歯にボタンをつけて牽引後に並べました。このケースではうまくできましたが、牽引すれば必ず出てくるとは限りません。勤務先で2症例、当院で1症例は牽引しても出なかったです。 |
| 矯正にはリスク・副作用があります▶ | |
| 主訴 | |
| |
| 診断 | 上顎犬歯埋伏 |
| 開始年齢 | 13才 |
| 矯正装置 | マルチブラケット装置 |
| 抜歯部位 | 親知らず |
| 動的治療期間 | 3年11か月 |
| 総費用 | 検証料+後期基本料金¥456,000+管理料×来院回数 |
| コメント | 犬歯が埋伏していたので、マルチブラケット装置を装着した後に阪大に開窓をお願いし、その後左上の犬歯にボタンをつけて牽引後に並べました。 |
| 矯正にはリスク・副作用があります▶ | |
当院の治療例はこちらからご覧いただけます。
治療費用の詳細はこちら
料金ページを見る




















