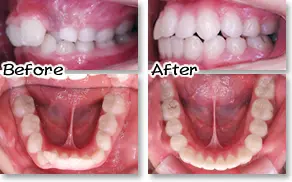
かみ合わせが深い場合、現在では前歯4本が永久歯になった時期に開始する事が多いです。
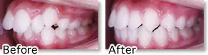
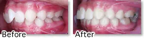
| 主訴 | 出っ歯 |
|
|
|
| 診断 | 上顎前突、過蓋咬合 |
| 開始年齢 | 9才 |
| 矯正装置 | マルチブラケット装置 |
| 抜歯部位 | 小臼歯、親知らず(予定) |
| 動的治療期間 |
前期:1年3か月 後期:2年11か月 |
| 総費用 | 検証料+前期+後期基本料金¥486,000+管理料×来院回数 |
| コメント | 「出っ歯」ということで来院されました。最初は小臼歯を非抜歯で進めたのですが、「もっと上の前歯を下げたい」とのご希望で、上の小臼歯を抜歯する治療に切り替えたため、トータルの期間が長くなりました。奥歯の噛み合わせは通常とは異なります。 |
| 矯正にはリスク・副作用があります▶ | |
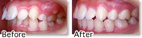
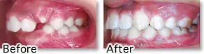
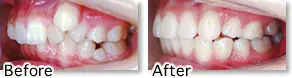
| 主訴 | 口元が出ている |
|
|
|
| 診断 | 上下顎前突、過蓋咬合 |
| 開始年齢 | 9才 |
| 矯正装置 | 拡大床、マルチブラケット装置、パラタルバー、クアドヘリックス、リップバンパー |
| 抜歯部位 | 小臼歯、親知らず(予定) |
| 動的治療期間 |
前期:9か月 後期:2年9ヶ月 |
| 総費用 | 検証料+前期+後期基本料金¥486,000+管理料×来院回数 |
| コメント | 「口元が出ている」と来院されました。口元が出ていて、上の前歯だけでなく、下の前歯が前に倒れていたので、前期治療で前歯の噛み合わせを浅くして、口元を下げるために後期矯正で小臼歯を4本抜歯してマルチブラケット装置で治療しました。 |
| 矯正にはリスク・副作用があります▶ | |
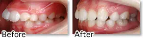
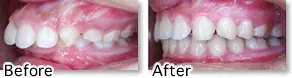
| 主訴 | 前歯が出ている |
|
|
|
| 診断 | 上顎前突、過蓋咬合、正中離開 |
| 開始年齢 | 9才 |
| 矯正装置 | 拡大床、マルチブラケット装置、リンガルアーチ |
| 抜歯部位 | 親知らず(予定) |
| 動的治療期間 | 2年7か月 |
| 総費用 | 検証料+前期+後期基本料金¥486,000+管理料×来院回数 |
| コメント | 「前歯が出ている」で来院されました。スペースは充分にあったので、顎の拡大は行わずに、一つ一つの歯にブラケットをつけ、スペースを利用して前歯を下げることができました。 |
| 矯正にはリスク・副作用があります▶ | |
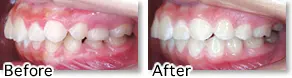
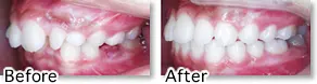
| 主訴 | 前歯が出ている |
|
|
|
| 診断 | 過蓋咬合、上顎前突 |
| 開始年齢 | 9才 |
| 矯正装置 | 拡大床、マイオブレース、マルチブラケット装置 |
| 抜歯部位 | 親知らず(予定) |
| 動的治療期間 | 3年4か月 |
| 総費用 | 検証料+前期+後期基本料金¥486,000+管理料×来院回数 |
| コメント | 顎を拡大し、成長のチカラを利用して、かみ合わせを浅くしながら下顎を前に出すことができました。このようなケースは身長の伸びのスパート前に開始することが重要です。 |
| 矯正にはリスク・副作用があります▶ | |
| 主訴 | 歯並び |
|
|
|
| 診断 | 叢生、過蓋咬合 |
| 開始年齢 | 9才 |
| 矯正装置 | 拡大床、マルチブラケット装置、クアドヘリックス |
| 抜歯部位 | 親知らず |
| 動的治療期間 | 3年11か月 |
| 総費用 | 検証料+前期+後期基本料金¥486,000+管理料×来院回数 |
| コメント | 期間は長くなりましたが、乳歯が残っている時期から矯正を開始したことで、下顎の前方への成長を促進して咬み合わせを十分に浅くし、難易度の高い下顎の拡大も小臼歯非抜歯でキレイに行う事ができました。今なら歯を少しヤスリで削ってもう少しかみ合わせを緊密にします。 |
| 矯正にはリスク・副作用があります▶ | |
| 主訴 | 前歯が出ている |
|
|
|
| 診断 | 上顎前突、過蓋咬合 |
| 開始年齢 | 9才 |
| 矯正装置 | 拡大床、マルチブラケット装置、バイオネーター |
| 抜歯部位 | 下の親知らず |
| 動的治療期間 | 4年9か月 |
| 総費用 |
検証料+前期+後期基本料金¥486,000+管理料×来院回数 |
| コメント | 低年齢から顎を拡大し、下顎の前方への成長を誘導し、ワイヤー矯正で仕上げました。上の歯を少しずつ削ることでより緊密な咬合は得られると思いますが、そこまでは希望されませんでした。 |
| 矯正にはリスク・副作用があります▶ | |
| 主訴 | 歯並び |
|
|
|
| 診断 | 叢生、過蓋咬合 |
| 開始年齢 | 10才 |
| 矯正装置 | マルチブラケット装置、リップバンパー |
| 抜歯部位 | 親しらず |
| 動的治療期間 | 3年5か月 |
| 総費用 | 検証料+前期+後期基本料金¥456,000+管理料×来院回数 |
| コメント | ギリギリで小臼歯非抜歯のケースでは、歯列を育成してスペースを作り、奥歯の咬み合わせも整えないといけないので、治療は長期になります。このようなケースの場合、永久歯にすべて交換後に矯正を開始すると抜歯が必要になったり、歯を多く削ったりしないといけなくなりがちです。 |
| 矯正にはリスク・副作用があります▶ | |
| 主訴 | 歯並び |
|
|
|
| 診断 | 上顎前突、過蓋咬合、叢生 |
| 開始年齢 | 10才 |
| 矯正装置 | ホールディングアーチ、パラタルバー、バイオネーター、マルチブラケッ ト装置、ヘッドギア |
| 抜歯部位 | 上顎小臼歯、親知らず |
| 動的治療期間 | 4年6か月 |
| 総費用 | 検証料+後期基本料金¥456,000+管理料×来院回数 |
| コメント | 「歯のガタガタ」でご来院されました。調べてみると下顎は小さかったのですが、保護者が背が高い方でしたので、身長の伸びる時期に下顎がかなり成長することを警戒して、抜歯を延期して治療を1.5年程度停止しました。しかし、下顎の前方への成長が予想を下回ったため、小さい下顎に上の顎を合わせるために上の小臼歯を2本抜歯し、下の小臼歯は非抜歯で治療を行いました。治療を慎重に進めたため、期間は長くなりましたが、良い結果を得ることができました。 |
| 矯正にはリスク・副作用があります▶ | |
| 主訴 | 前歯が出ている |
|
|
|
| 診断 | 上顎前突、過蓋咬合 |
| 開始年齢 | 10才 |
| 矯正装置 | マルチブラケット装置、パラタルバー |
| 抜歯部位 | 親知らず、上の4 |
| 動的治療期間 | 6年4か月 |
| 総費用 | 検証料+後期基本料金¥456,000+管理料×来院回数 |
| コメント | 「前歯が出ている」でお越しになりました。2か月に一度しかご来院がなく、更に途中8か月の中断があったため時間がかかりました。早期にはじめましたが下顎があまり前方に発育しなかったため、やむなく上の4を抜歯して治療しました。 |
| 矯正にはリスク・副作用があります▶ | |
| 主訴 |
歯が出ている |
|
|
|
| 診断 | 過蓋咬合、叢生、1歯反対咬合 |
| 開始年齢 | 10才 |
| 矯正装置 | 拡大床、マルチブラケット装置、クアドヘリックス、リンガルアーチ |
| 抜歯部位 | (下顎親知らずなし) |
| 動的治療期間 | 5年9か月 |
| 総費用 | 検証料+前期+後期基本料金¥486,000+管理料×来院回数 |
| コメント | 出っ歯のケースではないのですが、歯が出ていると来られました。時間はかかりましたが、早期から取り組んだため、小臼歯非抜歯で治療できました。 |
| 矯正にはリスク・副作用があります▶ | |
| 主訴 | 歯が出ている |
|
|
|
| 診断 | 過蓋咬合、上顎前突 |
| 開始年齢 | 10才 |
| 矯正装置 | マルチブラケット装置、パラタルバー、ヘッドギア |
| 抜歯部位 | 小臼歯、親知らず(予定) |
| 動的治療期間 | 9年 |
| 総費用 | 検証料+後期基本料金¥456,000+管理料×来院回数 |
| コメント | 口元があまり出ていない方でしたが、「歯が出ている」で来院されました。最初は非抜歯で治療を進めたのですが、やはり口元を下げてほしいとのことでした。最初の時点で奥歯のかみ合わせが左右非対称だったため、種類の異なる小臼歯を計4本抜歯して矯正を行いました。 |
| 矯正にはリスク・副作用があります▶ | |
| 主訴 | 歯並び |
|
|
|
| 診断 | 叢生、過蓋咬合 |
| 開始年齢 | 10才 |
| 矯正装置 | 拡大床,マルチブラケット装置,バイヘリックス |
| 抜歯部位 | 上顎第二大臼歯、下顎親知らず |
| 動的治療期間 | 4年11か月 |
| 総費用 | 検証料+前期+後期基本料金¥486,000+管理料×来院回数 |
| コメント | とても顔が小さく、スペースが足りなかったので、上の前から7番目の歯と下の親知らずを抜いて、小臼歯は抜かずに並べました。歯にヤスリをかけても良ければ、前歯をもう少し下げることは可能です。 |
| 矯正にはリスク・副作用があります▶ | |
| 主訴 | かみ合わせが深い |
|
|
|
| 診断 | 過蓋咬合 |
| 開始年齢 | 10才 |
| 矯正装置 | マルチブラケット装置 |
| 抜歯部位 | 下顎親知らず |
| 動的治療期間 | 4年1か月 |
| 総費用 | 検証料+後期基本料金¥456,000+管理料×来院回数 |
| コメント | 期間はかかりましたが、下顎の成長を利用して小臼歯を抜かずに治療することができました。ちなみに全部の歯が永久歯に交換するのを待ってから上の小臼歯を抜いて治療する方法だと口元はもっと下がって期間は短くなると思います。どの治療法を選ぶかは患者様がお決めになることですが、私は小臼歯の抜歯矯正治療は最小限にしたいと思っています。 |
| 矯正にはリスク・副作用があります▶ | |
| 主訴 | 出っ歯 |
|
|
|
| 診断 | 上顎前突、過蓋咬合 |
| 開始年齢 | 10才 |
| 矯正装置 | 拡大床,マルチブラケット装置,バイヘリックス |
| 抜歯部位 | 親知らず |
| 動的治療期間 | 5年2か月 |
| 総費用 | 検証料+前期+後期基本料金¥486,000+管理料×来院回数 |
| コメント | 「出っ歯」でご来院されましたが、調べてみたら下顎が小さい方でした。上下の顎を拡大して、下顎の前方への成長を促進させることで、トータルで5年以上かかりましたが、小臼歯を抜かずに治療ができました。中学生くらいから開始し、上の小臼歯を抜歯する矯正だともっと短期間で終了することができます。 |
| 矯正にはリスク・副作用があります▶ | |
| 主訴 | 歯が出ている、下の歯並び、口元が出ている |
|
|
|
| 診断 | 上顎前突、過蓋咬合、小臼歯欠如 |
| 開始年齢 | 11才 |
| 矯正装置 | マルチブラケット装置 |
| 抜歯部位 | 上の4、下の5は先天欠如 |
| 動的治療期間 | 4年 |
| 総費用 | 検証料+後期基本料金¥456,000+管理料×来院回数 |
| コメント | 「歯が出ていて、下の歯がガタガタで、口元が出ている」でご来院でした。お顔が細い方で下の5番目の歯が2本ともなかったので、顎は広げず、上は4番目の歯を2本抜歯して後期治療を行いました。途中で舌小帯延長術を行っています。今なら上の歯をヤスリで削ってもっと緊密にかめるようにするかもしれません。 |
| 矯正にはリスク・副作用があります▶ | |
| 主訴 | 歯が出ている |
|
|
|
| 診断 | 過蓋咬合、空隙歯列 |
| 開始年齢 | 11才 |
| 矯正装置 | マルチブラケット装置、バイトプレート、ヘッドギア |
| 抜歯部位 | 親知らず |
| 動的治療期間 | 4年1か月 |
| 総費用 | 検証料+後期基本料金¥456,000+管理料×来院回数 |
| コメント | 「歯が出ている」で来られました。調べてみると骨格に問題はなく、歯が小さくて前に出ているだけでした。乳歯が残っている時期から始め、前歯の咬み合わせが深いままですがもう終わって欲しいとの事で外しました。もっと改善したかったケースです。スペースが充分にあり、拡大する必要がなかったため、もう少し永久歯に交換してから開始した方が期間が短くて済んだかもしれません。 |
| 矯正にはリスク・副作用があります▶ | |
| 主訴 | 出っ歯 |
|
|
|
| 診断 | 上顎前突、過蓋咬合 |
| 開始年齢 | 11才 |
| 矯正装置 | マルチブラケット装置,ヘッドギア,ホールディングアーチ,パラタルバー |
| 抜歯部位 | 親知らず |
| 動的治療期間 | 2年5か月 |
| 総費用 | 検証料+後期基本料金¥456,000+管理料×来院回数 |
| コメント | 個人的には、もう少し早く開始したかったケースです。もう少し噛み合わせは浅くできたかもしれません。 |
| 矯正にはリスク・副作用があります▶ | |
| 主訴 | 出っ歯 |
|
|
|
| 診断 | 上顎前突、過蓋咬合 |
| 開始年齢 | 11才 |
| 矯正装置 | 拡大床、クワドヘリックス、リップバンパー、リンガルアーチ、パラタル バー、マルチブラケット装置 |
| 抜歯部位 | 小臼歯、親知らず |
| 動的治療期間 | 5年9か月 |
| 総費用 | 検証料+前期+後期基本料金¥486,000+管理料×来院回数 |
| コメント | 最初は非抜歯で進めましたが、歯が入りきらなかったため小臼歯の抜歯矯正に移行し、時間がかかりました。7歳くらいから始めることができたら結果は異なっていたように思います。 |
| 矯正にはリスク・副作用があります▶ | |
| 主訴 | 出っ歯 |
|
|
|
| 診断 | 上顎前突、過蓋咬合 |
| 開始年齢 | 11才 |
| 矯正装置 | マルチブラケット装置,パラタルバー |
| 抜歯部位 | 上顎前歯、親知らず |
| 動的治療期間 | 2年2か月 |
| 総費用 | 検証料+後期基本料金¥456,000+管理料×来院回数 |
| コメント | 発育不良の前歯を抜歯して矯正しました。どの歯を抜歯して矯正を行うかは慎重に決めた方が良いと思います。 |
| 矯正にはリスク・副作用があります▶ | |
| 主訴 | きれいにしてほしい |
|
|
|
| 診断 | 過蓋咬合 |
| 開始年齢 | 11才 |
| 矯正装置 | マルチブラケット装置 |
| 抜歯部位 | 親知らず(予定) |
| 動的治療期間 | 1年10か月 |
| 総費用 | 検証料+後期基本料金¥456,000+管理料×来院回数 |
| コメント | 簡単なケースなのでこの年齢から始めても非抜歯で治療することができました。 |
| 矯正にはリスク・副作用があります▶ | |
| 主訴 | 出っ歯 |
|
|
|
| 診断 | 上顎前突、過蓋咬合、上顎犬歯欠如 |
| 開始年齢 | 11才 |
| 矯正装置 | マルチブラケット装置、パラタルバー、インプラント |
| 抜歯部位 | 親知らず(予定) |
| 動的治療期間 | 4年3か月 |
| 総費用 | 検証料+後期基本料金¥456,000+管理料×来院回数 |
| コメント | 左側の犬歯がなく、乳犬歯が残っていました。乳犬歯を抜いて、小臼歯や大臼歯を大きく前方移動するためにミニスクリューを用いました。 |
| 矯正にはリスク・副作用があります▶ | |
| 主訴 | 出っ歯 |
|
|
|
| 診断 | 上顎前突、過蓋咬合 |
| 開始年齢 | 11才 |
| 矯正装置 | マルチブラケット装置 |
| 抜歯部位 | 上顎第二大臼歯、下の親知らず |
| 動的治療期間 | 3年6か月 |
| 総費用 | 検証料+後期基本料金¥456,000+管理料×来院回数 |
| コメント | 上の第二大臼歯を抜歯して治療しました(クリックで動画が開きます)。他は下の親しらずしか抜いていないので歯は全部で28本残っています。こういうケースでは上の4番目の歯と8番目の歯を抜く治療が一般的ですが、そうすると歯の総数は26本になってしまいます。 |
| 矯正にはリスク・副作用があります▶ | |
| 主訴 | かめない |
|
|
|
| 診断 | 過蓋咬合、鋏状咬合 |
| 開始年齢 | 11才 |
| 矯正装置 | マルチブラケット装置,リンガルアーチ |
| 抜歯部位 | (下顎親知らずなし) |
| 動的治療期間 | 2年8か月 |
| 総費用 | 検証料+後期基本料金¥456,000+管理料×来院回数 |
| コメント | 左側はうまく咬めていなかったのですが、咬み合わせが改善し、よく咬めるようになりました。今ならもっと噛みあわせを浅くすると思います。 |
| 矯正にはリスク・副作用があります▶ | |
| 主訴 | 歯並び |
|
|
|
| 診断 | 過蓋咬合、叢生 |
| 開始年齢 | 11才 |
| 矯正装置 | マルチブラケット装置 |
| 抜歯部位 | 下顎親知らず |
| 動的治療期間 | 2年5か月 |
| 総費用 | 検証料+後期基本料金¥456,000+管理料×来院回数 |
| コメント | 開始時期が遅れたのですが、難易度が低かったため、なんとか小臼歯非抜歯で直りました。もう少し早くから始めた方が好ましいケースです。 |
| 矯正にはリスク・副作用があります▶ | |
| 主訴 |
上下の歯の真ん中がずれている、かみ合わせが深い |
|
|
|
| 診断 | 過蓋咬合 |
| 開始年齢 | 11才 |
| 矯正装置 | マルチブラケット装置 |
| 抜歯部位 | 親知らず |
| 動的治療期間 | 3年6か月 |
| 総費用 | 検証料+後期基本料金¥456,000+管理料×来院回数 |
| コメント | 期間はかかりましたが、成長を利用することで小臼歯を抜かずに深いかみ合わせを改善することができました。 |
| 矯正にはリスク・副作用があります▶ | |
| 主訴 | 真ん中がずれている |
|
|
|
| 診断 | 過蓋咬合 |
| 開始年齢 | 11才 |
| 矯正装置 | 拡大床、クアドヘリックス、マルチブラケット装置 |
| 抜歯部位 | 下の8、舌小帯延長術 |
| 動的治療期間 | 3年11か月 |
| 総費用 | 検証料+前期+後期基本料金¥486,000+管理料×来院回数 |
| コメント | 上下の顎を広げた後、永久歯への交換を待ってマルチブラケット装置を装着し、下顎を前方に誘導しました。期間はかかりましたが、成長のチカラを利用することで小臼歯を抜かずに深いかみ合わせを改善することができました。 |
| 矯正にはリスク・副作用があります▶ | |
| 主訴 | 出っ歯 |
|
|
|
| 診断 | 上顎前突、過蓋咬合 |
| 開始年齢 | 11才 |
| 矯正装置 | マルチブラケット装置,クアドヘリックス |
| 抜歯部位 | 親知らず |
| 動的治療期間 | 3年4か月 |
| 総費用 | 検証料+後期基本料金¥456,000+管理料×来院回数 |
| コメント | 期間はかかりましたが、成長を利用することで深いかみ合わせを改善することができました。このようなケースですべての永久歯を待ってから矯正をすると小臼歯の抜歯の可能性が高くなります。 |
| 矯正にはリスク・副作用があります▶ | |
| 主訴 | 歯並びが悪い |
|
|
|
| 診断 | 叢生、過蓋咬合 |
| 開始年齢 | 11才 |
| 矯正装置 | マルチブラケット装置、パラタルバー、SMC |
| 抜歯部位 | 上の4、7、下の8(下の左右側切歯先天欠如) |
| 動的治療期間 | 3年11か月 |
| 総費用 |
検証料+後期基本料金¥456,000+管理料×来院回数 |
| コメント | 叢生+過蓋咬合でしたが、なんとか矯正できました。 |
| 矯正にはリスク・副作用があります▶ | |
| 主訴 | 歯並びが悪い |
|
|
|
| 診断 | 過蓋咬合 |
| 開始年齢 | 11才 |
| 矯正装置 | マルチブラケット装置 |
| 抜歯部位 | 上下の親知らず、舌小帯切除術 |
| 動的治療期間 |
前期治療:1年9か月 後期治療:2年10か月 |
| 総費用 |
検証料+後期基本料金¥456,000+管理料×来院回数 |
| コメント |
開始年令は遅かったのですが、非常に高身長になった結果、下顎も十分に成長してくれました。小臼歯を抜歯する事なくClass II div2という比較的珍しいケースを矯正できました。 |
| 矯正にはリスク・副作用があります▶ | |
| 主訴 | 歯並び |
|
|
|
| 診断 | 下顎前歯欠如、叢生、過蓋咬合、上顎前突 |
| 開始年齢 | 12才 |
| 矯正装置 | マルチブラケット装置 |
| 抜歯部位 | 親知らず |
| 動的治療期間 | 1年8か月 |
| 総費用 | 検証料+後期基本料金¥456,000+管理料×来院回数 |
| コメント | 下顎前歯が3本しかないケースです。上顎の抜歯を希望されなかったために、前歯の前突が残っています→再治療を行っています。私達は、矯正を押し付けるのではなく、ご本人が納得されてから矯正する事を重要視しています。 |
| 矯正にはリスク・副作用があります▶ | |
| 主訴 | 歯並び |
|
|
|
| 診断 | 叢生、過蓋咬合 |
| 開始年齢 | 12才 |
| 矯正装置 | 拡大床,マルチブラケット装置 |
| 抜歯部位 | 親知らず |
| 動的治療期間 | 3年10か月 |
| 総費用 | 検証料+後期基本料金¥456,000+管理料×来院回数 |
| コメント | ガタガタの程度がきついですが、小臼歯非抜歯で矯正ができました。この年令では珍しいケースです。 |
| 矯正にはリスク・副作用があります▶ | |
| 主訴 | 犬歯 |
|
|
|
| 診断 | 叢生、上顎前突、過蓋咬合 |
| 開始年齢 | 14才 |
| 矯正装置 | マルチブラケット装置,パラタルバー |
| 抜歯部位 | 上の4、親知らず(予定) |
| 動的治療期間 | 5年4か月 |
| 総費用 | 検証料+後期基本料金¥456,000+管理料×来院回数 |
| コメント | 年齢的に拡大が難しいので、上の小臼歯を2本抜歯して矯正しています。 |
| 矯正にはリスク・副作用があります▶ | |
当院の治療例はこちらからご覧いただけます。
治療費用の詳細はこちら
料金ページを見る






























