「Ⅰ期(前期)矯正のみ」でどこまで治るかには個人差があります▶
🧭 お願い
当院では、第Ⅰ期(前期)治療だけでしっかり整ったお子さまもたくさんいらっしゃいます。しかし、これは「運が良かったケース」と考えていただけると幸いです。
すべてのお子さまに第Ⅰ期だけで終わるとは限らず、あごの成長や歯の生え変わりによって、後の仕上げ(第Ⅱ期治療)が必要になることもあります。
前期矯正の場合、実際に歯を動かしている期間は2年以内がほとんどで、残りの期間は保定として、現状をキープする期間になります。※費用については、過去の総額です。
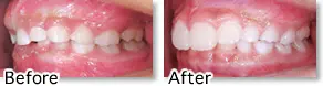
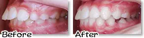
| 主訴 | 受け口 |
|
|
|
| 診断 | 反対咬合 |
| 開始年齢 | 6才 |
| 矯正装置 | 拡大床、リンガルアーチ |
| 抜歯部位 | 親知らず(予定) |
| 動的治療期間 | 2年2か月 |
| 総費用 | 32万円+消費税 |
コメント |
下の前歯に上の前歯が抑えこまれて上顎の発育の妨げになっているので早期の矯正が必要なケースでした。歯の交換を待って、必要があれば、奥歯も含めた仕上げのⅡ期(後期)矯正治療を行います。 |
| 矯正にはリスク・副作用があります▶ | |
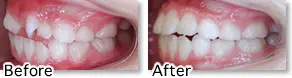
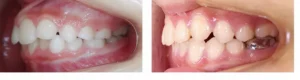
| 主訴 | 前歯が変 |
|
|
|
| 診断 | 反対咬合 |
| 開始年齢 | 6才 |
| 矯正装置 | 拡大床、リンガルアーチ |
| 抜歯部位 | 親知らず(予定) |
| 動的治療期間 |
7年3ヶ月(5年9か月) |
| 総費用 | 345,000円+消費税 |
コメント |
途中、未来院の期間が数年ありました。Ⅰ期治療(前期治療)のみだったので歯の細かい角度には問題があり、個人的にはⅡ期治療(後期治療)が必要なケースだと思います。現在、後期治療では、インビザラインを用いて、IPR(歯と歯の間をヤスリで削って歯の幅を狭くする)を行い、もっと精密に仕上げるようにしています。 |
| 矯正にはリスク・副作用があります▶ | |
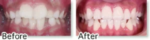
| 主訴 | 前歯がおかしい |
|
|
|
| 診断 | 前歯部交叉咬合 |
| 開始年齢 | 7才 |
| 矯正装置 | 拡大床、リンガルアーチ |
| 抜歯部位 | 親知らず(予定) |
| 動的治療期間 | 3か月 |
| 総費用 | 16万円+消費税 |
コメント |
ピッタリの開始時期だったと思います。歯の交換を待って、奥歯も含めた仕上げの矯正を行った方が良かったと思います。現在、後期治療では、インビザラインを用いて、IPR(歯と歯の間をヤスリで削って歯の幅を狭くする)を行い、もっと精密に仕上げるようにしています。 |
| 矯正にはリスク・副作用があります▶ | |
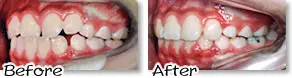
| 主訴 | 前歯のねじれ |
|
|
|
| 診断 | 叢生 |
| 開始年齢 | 7才 |
| 矯正装置 | 拡大床、マルチブラケット装置 |
| 抜歯部位 | 親知らず(予定) |
| 動的治療期間 | 1年8か月 |
| 総費用 | 306,000円+消費税 |
コメント |
ピッタリの開始時期だったと思います。「だいたい並べば良い」とのご希望でしたのでⅠ期矯正(前期矯正)で終了しました。 現在、後期治療では、インビザラインを用いて、IPR(歯と歯の間をヤスリで削って歯の幅を狭くする)を行い、もっと精密に仕上げるようにしています。 |
| 矯正にはリスク・副作用があります▶ | |
| 主訴 | 下の前歯がガタガタ |
|
|
|
| 診断 | 過蓋咬合 |
| 開始年齢 | 7才 |
| 矯正装置 | 拡大床 |
| 抜歯部位 | 親知らず(予定) |
| 動的治療期間 | 2年6か月 |
| 総費用 | 335,000円+消費税 |
コメント |
Ⅰ期治療(前期矯正)のみの治療でした。個人的には、引き続きⅡ期治療(後期矯正)を行い、過蓋咬合(深いかみ合わせ)を直した方が良いと思います。 現在、後期治療では、インビザラインを用いて、IPR(歯と歯の間をヤスリで削って歯の幅を狭くする)を行い、もっと精密に仕上げるようにしています。 |
| 矯正にはリスク・副作用があります▶ | |
| 主訴 | 上の前歯がおかしい |
|
|
|
| 診断 | 叢生 |
| 開始年齢 | 7才 |
| 装置 | 拡大床、マルチブラケット装置 |
| 抜歯部位 | 親知らず(予定) |
| 動的治療期間 | 1年2か月 |
| 総費用 | 293,500円+消費税 |
コメント |
ピッタリの開始時期だったと思います。この方はⅠ期治療(前期治療)のみで終了しました。個人的にはⅡ期治療(後期治療)を行いたかったです。 現在、後期治療では、インビザラインを用いて、IPR(歯と歯の間をヤスリで削って歯の幅を狭くする)を行い、もっと精密に仕上げるようにしています。 |
| 矯正にはリスク・副作用があります▶ | |
| 主訴 | 上の前歯がおかしい |
|
|
|
| 診断 | 叢生 |
| 開始年齢 | 7才 |
| 矯正装置 | 拡大床、マルチブラケット装置 |
| 抜歯部位 | 親知らず(予定) |
| 動的治療期間 | 2年11か月 |
| 総費用 | 326,000円+消費税 |
コメント |
Ⅰ期治療(前期治療)でここまで直し、まだ乳歯が4本残っています。上の前歯は改善していますが、前方に傾斜しているので、永久歯への交換を待って、Ⅱ期治療(後期治療)を行った方が望ましいケースです。 現在、後期治療では、インビザラインを用いて、IPR(歯と歯の間をヤスリで削って歯の幅を狭くする)を行い、もっと精密に仕上げるようにしています。 |
| 矯正にはリスク・副作用があります▶ | |
| 主訴 | 前歯が出ている |
|
|
|
| 診断 | 上顎前突 |
| 開始年齢 | 7才 |
| 矯正装置 | 拡大床、リンガルアーチ、Multi-Family |
| 抜歯部位 | 親知らず(予定) |
| 動的治療期間 | 4年5か月(拡大ストップ期間1年を含む) |
| 総費用 |
34万円+消費税 |
コメント |
Ⅰ期矯正(前期治療)のみである程度改善したので、Ⅱ期矯正(後期治療)は望まれませんでした。現在、後期治療では、インビザラインを用いて、IPR(歯と歯の間をヤスリで削って歯の幅を狭くする)を行い、もっと精密に仕上げるようにしています。 |
| 矯正にはリスク・副作用があります▶ | |
| 主訴 | 前歯ががたがたしている |
|
|
|
| 診断 | 叢生 |
| 開始年齢 | 7才 |
| 矯正装置 |
拡大床、ポーター、リンガルアーチ、ブラケット |
| 抜歯部位 | 親知らず(予定) |
| 動的治療期間 | 5年9ヶ月 |
| 総費用 |
436,000円+消費税 |
コメント |
インビザライン矯正できれいに仕上げたかったのですが、第2期矯正(後期治療)はご希望されませんでした。 |
| 矯正にはリスク・副作用があります▶ | |
| 主訴 | 上の前歯がおかしい |
|
|
|
| 診断 | 叢生 |
| 開始年齢 | 8才 |
| 矯正装置 | 拡大床、マルチブラケット装置 |
| 抜歯部位 | 親知らず(予定) |
| 動的治療期間 | 4か月 |
| 総費用 | 206,000円+消費税 |
コメント |
ピッタリの開始時期だったと思います。このケースはⅠ期矯正(前期矯正)のみで終了しました。 |
| 矯正にはリスク・副作用があります▶ | |
| 主訴 | 左上の前歯がおかしい |
|
|
|
| 診断 | 前歯部交叉咬合 |
| 開始年齢 | 8才 |
| 矯正装置 | 拡大床、マルチブラケット装置 |
| 抜歯部位 | 親知らず(予定) |
| 動的治療期間 | 10か月 |
| 総費用 | 25万円+消費税 |
コメント |
ピッタリの開始時期だったと思います。このケースはⅠ期治療(前期治療)のみで終了しました。 |
| 矯正にはリスク・副作用があります▶ | |
| 主訴 | 軽い受け口 |
|
|
|
| 診断 | 反対咬合 |
| 開始年齢 | 8才 |
| 矯正装置 | 拡大床、マルチブラケット装置 |
| 抜歯部位 | 親知らず(予定) |
| 動的治療期間 | 11か月 |
| 総費用 | 236,000円+消費税 |
コメント |
ピッタリの開始時期だったと思います。必要があれば、奥歯も含めた仕上げの矯正を行います。現在、後期治療では、インビザラインを用いて、IPR(歯と歯の間をヤスリで削って歯の幅を狭くする)を行い、もっと精密に仕上げるようにしています。 |
| 矯正にはリスク・副作用があります▶ | |
| 主訴 | 受け口 |
|
|
|
| 診断 | 反対咬合 |
| 開始年齢 | 8才 |
| 矯正装置 | 拡大床、マルチブラケット装置、リンガルアーチ |
| 抜歯部位 | 親知らず(予定) |
| 動的治療期間 | 6か月 |
| 総費用 | 246,000円+消費税 |
コメント |
矯正開始はもう少し早い方が良いと思います。後に、奥歯も含めた仕上げの矯正を行います。 |
| 矯正にはリスク・副作用があります▶ | |
| 主訴 | 前歯が変 |
|
|
|
| 診断 | 反対咬合 |
| 開始年齢 | 8才 |
| 矯正装置 | 拡大床、マルチブラケット装置 |
| 抜歯部位 | 親知らず(予定) |
| 動的治療期間 | 1年7か月 |
| 総費用 | 246,000円+消費税 |
コメント |
将来、奥歯も含めた仕上げの矯正を行った方が良いと思います。 現在、後期治療では、インビザラインを用いて、IPR(歯と歯の間をヤスリで削って歯の幅を狭くする)を行い、もっと精密に仕上げるようにしています。 |
| 矯正にはリスク・副作用があります▶ | |
| 主訴 | 前歯がおかしい |
|
|
|
| 診断 | 上顎前突 |
| 開始年齢 | 8才 |
| 矯正装置 | 拡大床、マイオブレース |
| 抜歯部位 | 親知らず(予定) |
| 動的治療期間 | 1年5か月 |
| 総費用 | 210,000円+消費税 |
コメント |
下の前歯が後ろに倒れているので将来、奥歯も含めた仕上げ後期矯正を行った方が良いと思います。 現在、後期治療では、インビザラインを用いて、IPR(歯と歯の間をヤスリで削って歯の幅を狭くする)を行い、もっと精密に仕上げるようにしています。 |
| 矯正にはリスク・副作用があります▶ | |
| 主訴 | |
|
|
|
| 診断 | 反対咬合 |
| 開始年齢 | 8才 |
| 矯正装置 | 拡大床 |
| 抜歯部位 | 親知らず(予定) |
| 動的治療期間 | 11か月(経過観察期間:4年11か月あり) |
| 総費用 | 22万円+消費税 |
コメント |
ピッタリの開始時期だったと思います。ただ最近は顎を広げただけできれいに治るケースは少なくなっているように思います。 現在、後期治療では、インビザラインを用いて、IPR(歯と歯の間をヤスリで削って歯の幅を狭くする)を行い、もっと精密に仕上げるようにしています。 |
| 矯正にはリスク・副作用があります▶ | |
| 主訴 | 受け口 |
|
|
|
| 診断 | 反対咬合 |
| 開始年齢 | 8才 |
| 矯正装置 | 拡大床 |
| 抜歯部位 | 親知らず(予定) |
| 動的治療期間 | 10か月 |
| 総費用 | 21万円+消費税 |
コメント |
受け口でしたが、骨格性でない簡単なケースでした。歯の交換を待って、必要があれば、奥歯も含めた仕上げのⅡ期治療(後期矯正)を行います。 |
| 矯正にはリスク・副作用があります▶ | |
| 主訴 | かみ合わせが深い |
|
|
|
| 診断 | 過蓋咬合 |
| 開始年齢 | 8才 |
| 矯正装置 |
マルチファミリー |
| 抜歯部位 | 親知らず(予定) |
| 動的治療期間 | 1年10か月 |
| 総費用 | 145,000円+消費税 |
コメント |
Ⅰ期治療(前期治療)だけ行い、歯の交換を待ってご相談の上でⅡ期治療(後期治療)を行います。 |
| 矯正にはリスク・副作用があります▶ | |
| 主訴 | 前歯が逆 |
|
|
|
| 診断 | 反対咬合 |
| 開始年齢 | 8才 |
| 矯正装置 | 拡大床、マルチブラケット装置 |
| 抜歯部位 | 親知らず(予定) |
| 動的治療期間 | 2年 |
| 総費用 | 236,000円+消費税 |
コメント |
ピッタリの開始時期だったと思います。必要があれば、奥歯も含めた仕上げのⅡ期治療(後期治療)を行います。 |
| 矯正にはリスク・副作用があります▶ | |
| 主訴 | 下の前歯がガタガタ |
|
|
|
| 診断 | 叢生 |
| 開始年齢 | 8才 |
| 装置 | クアドヘリックス、バイヘリックス |
| 抜歯部位 | 親知らず(予定) |
| 動的治療期間 | 1年3か月 |
| 総費用 | 271,000円+消費税 |
コメント |
簡単なケースだったので、部分矯正のみである程度は改善しました。個人的にはⅡ期治療(後期治療)で犬歯の角度は直したかったです。 現在、後期治療では、インビザラインを用いて、IPR(歯と歯の間をヤスリで削って歯の幅を狭くする)を行い、もっと精密に仕上げるようにしています。 |
| 矯正にはリスク・副作用があります▶ | |
| 主訴 | 前歯が逆 |
|
|
|
| 診断 | 叢生 |
| 開始年齢 | 8才 |
| 矯正装置 | 拡大床、マルチブラケット装置、クアドヘリックス |
| 抜歯部位 | 親知らず(予定) |
| 動的治療期間 | 3年8か月 |
| 総費用 | 336,000円+消費税 |
コメント |
Ⅰ期治療(前期治療)後も前歯のかみ合わせが深いので、Ⅱ期治療(後期治療)+親しらずの抜歯が必要だったのですが、了解が得られず終了しました。犬歯の角度も気になります。 現在、後期治療では、インビザラインを用いて、IPR(歯と歯の間をヤスリで削って歯の幅を狭くする)を行い、もっと精密に仕上げるようにしています。 |
| 矯正にはリスク・副作用があります▶ | |
| 主訴 | 前歯が変 |
|
|
|
| 診断 | 叢生 |
| 開始年齢 | 8才 |
| 矯正装置 | 拡大床、マルチブラケット装置、リンガルアーチ |
| 抜歯部位 | 親知らず(予定) |
| 動的治療期間 | 2年 |
| 総費用 | 386,000円+消費税 |
コメント |
歯が小さめだったので、Ⅰ期治療(前期治療)のみでだいたい並べることができました。個人的にはⅡ期治療(後期治療)で側方の噛み合わせを改善したかったです。 現在、後期治療では、インビザラインを用いて、IPR(歯と歯の間をヤスリで削って歯の幅を狭くする)を行い、もっと精密に仕上げるようにしています。 |
| 矯正にはリスク・副作用があります▶ | |
| 主訴 | |
|
|
|
| 診断 | 叢生 |
| 開始年齢 | 8才 |
| 矯正装置 | マルチブラケット装置、クアドヘリックス、リンガルアーチ |
| 抜歯部位 | 親知らず(予定) |
| 動的治療期間 | 5年 |
| 総費用 | 45万円+消費税 |
コメント |
Ⅰ期治療(前期治療)を行って、歯の交換を待ちました。前歯以外がキレイに生えて来たのでⅡ期治療(後期治療)は不要でした。 |
| 矯正にはリスク・副作用があります▶ | |
| 主訴 | 前歯がガタガタしている |
|
|
|
| 診断 | 叢生 |
| 開始年齢 | 8才 |
| 矯正装置 | 拡大床、マルチブラケット装置 |
| 抜歯部位 | 左下8、舌小帯切除 |
| 動的治療期間 | 6年1か月 |
| 総費用 |
366,000円+消費税 |
コメント |
Ⅰ期治療(前期治療)だけでしたが、運良く他の歯がきれいにはえてきたため、Ⅱ期治療(後期治療)は希望されませんでした。 現在、後期治療では、インビザラインを用いて、IPR(歯と歯の間をヤスリで削って歯の幅を狭くする)を行い、もっと精密に仕上げるようにしています。 |
| 矯正にはリスク・副作用があります▶ | |
| 主訴 | 下の前歯ががたがた |
|
|
|
| 診断 | 叢生 |
| 開始年齢 | 8才 |
| 矯正装置 | 拡大床、プレオルソ、リンガルアーチ |
| 抜歯部位 | 親知らず(予定) |
| 動的治療期間 | 4年3ヶ月 |
| 総費用 |
35万円+消費税 |
| コメント |
あごを広げて、プレオルソを使用しました。そこそこは並んでいますが、もっときれいにするにはインビザラインを使用した後期治療が必要です。現在ならインビザラインファーストで治療を行うと思います。 |
| 矯正にはリスク・副作用があります▶ | |
| 主訴 | 歯が生える場所がない |
|
|
|
| 診断 | 臼歯部叢生 |
| 開始年齢 | 9才 |
| 矯正装置 | 拡大床、マルチブラケット装置 |
| 抜歯部位 | 親知らず(予定) |
| 動的治療期間 | 1年9か月 |
| 総費用 | 306,000円+消費税 |
コメント |
乳臼歯が早く抜けて上の6才臼歯が前にズレていました。簡単なケースだったので上だけマルチブラケット装置を使用しました。現在、後期治療では、インビザラインを用いて、IPR(歯と歯の間をヤスリで削って歯の幅を狭くする)を行い、もっと精密に仕上げるようにしています。。 |
| 矯正にはリスク・副作用があります▶ | |
| 主訴 | 前歯が変 |
|
|
|
| 診断 | 前歯部叢生 |
| 開始年齢 | 9才 |
| 矯正装置 | 拡大床 |
| 抜歯部位 | 親知らず(予定) |
| 動的治療期間 | 2年5か月 |
| 総費用 | 155,000円+消費税 |
コメント |
拡大して、上の前歯のスペースを作りました。生え替わりを待って、Ⅱ期治療(後期治療)が必要です。現在、後期治療では、インビザラインを用いて、IPR(歯と歯の間をヤスリで削って歯の幅を狭くする)を行い、もっと精密に仕上げるようにしています。 |
| 矯正にはリスク・副作用があります▶ | |
| 主訴 | 前歯がおかしい |
|
|
|
| 診断 | 叢生 |
| 開始年齢 | 9才 |
| 矯正装置 | 拡大床、マルチブラケット装置 |
| 抜歯部位 | 親知らず(予定) |
| 動的治療期間 | 3年7か月 |
| 総費用 | 326,000円+消費税 |
コメント |
Ⅰ期治療(前期治療)だけで予想以上に改善し、Ⅱ期治療(後期治療)は希望されませんでした。現在、後期治療では、インビザラインを用いて、IPR(歯と歯の間をヤスリで削って歯の幅を狭くする)を行い、もっと精密に仕上げるようにしています。 |
| 矯正にはリスク・副作用があります▶ | |
| 主訴 | 下の前歯がガタガタしている |
|
|
|
| 診断 | 叢生 |
| 開始年齢 | 9才 |
| 矯正装置 | 拡大床、マルチブラケット装置 |
| 抜歯部位 | 親知らず(予定) |
| 動的治療期間 | 1年5か月 |
| 総費用 | 296,000円+消費税 |
コメント |
犬歯や前歯のかみ合わせに問題があるのでⅡ期治療(後期治療)+親しらず抜歯で咬み合わせを良くした方が望ましいケースです。 現在、後期治療では、インビザラインを用いて、IPR(歯と歯の間をヤスリで削って歯の幅を狭くする)を行い、もっと精密に仕上げるようにしています。 |
| 矯正にはリスク・副作用があります▶ | |
| 主訴 | うけぐち |
|
|
|
| 診断 | 反対咬合、叢生 |
| 開始年齢 | 9才 |
| 矯正装置 | 拡大床、マルチブラケット装置 |
| 抜歯部位 | 親知らず(予定) |
| 動的治療期間 | 1年11か月 |
| 総費用 | 291,000円+消費税 |
コメント |
Ⅰ期治療(前期治療)のみ行いました。個人的には、引き続きⅡ期治療(後期治療)を行って咬み合わせも整えた方が良かったと思います。 現在、後期治療では、インビザラインを用いて、IPR(歯と歯の間をヤスリで削って歯の幅を狭くする)を行い、もっと精密に仕上げるようにしています。 |
| 矯正にはリスク・副作用があります▶ | |
| 主訴 | 受け口 |
|
|
|
| 診断 | 反対咬合 |
| 開始年齢 | 10才 |
| 装置 | 拡大床、マルチブラケット装置 |
| 抜歯部位 | 親知らず(予定) |
| 動的治療期間 | 2年4か月 |
| 総費用 | 276,000円+消費税 |
コメント |
今後、必要があれば、奥歯を含めた仕上げの矯正を行った方が良いと思います。 |
| 矯正にはリスク・副作用があります▶ | |
| 主訴 | ハの字みたいな前歯 |
|
|
|
| 診断 | 叢生 |
| 開始年齢 | 10才 |
| 矯正装置 | 拡大床、マルチブラケット装置 |
| 抜歯部位 | 親知らず(予定) |
| 動的治療期間 | 3年8か月 |
| 総費用 | 266,000円+消費税 |
コメント |
前歯は改善したのですが、前後的なズレが残っていますので個人的にはⅡ期治療(後期治療)を行った方が良いと思います。 現在、後期治療では、インビザラインを用いて、IPR(歯と歯の間をヤスリで削って歯の幅を狭くする)を行い、もっと精密に仕上げるようにしています。 |
| 矯正にはリスク・副作用があります▶ | |
🌱 私たちの第1期治療の考え方
私たちは、第1期(前期)治療は、「細かく前歯を並べる治療ではなくて、歯の土台を整える治療」だと考えています。
土台ができていれば、第2期治療(一つ一つの歯を細かく並べる治療)は、大人になってからでもOKな場合もあります。
大学受験では、「地元の大学に行く」なら70点で十分ですが、「東大に行く」なら95点以上が必要になるように、目指すゴールによって必要な点数は変わってきます。
第2期治療でどこまで整えたいか、どんなゴールを目指すかは、機能的に問題がなければ、ご本人やご家族がお決めになられても良いと考えています。
当院の治療例はこちらからご覧いただけます。































