あまり知られていませんが、マウスピース矯正の力は、ワイヤーよりもずっと繊細です。
この “やさしい力” は、マウスピースをていねいに設計すれば、大きな可能性を持ちますが、
ひとつでも判断を誤れば、そのままズレた結果に進んでしまいます。
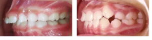
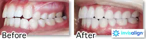
| 主訴 | 前歯がでている |
|
|
|
| 診断 | 上顎前突 |
| 開始年齢 | 7才 |
| 矯正装置 | インビザラインファースト |
| 抜歯部位 | なし |
| 動的治療期間 | 1年半 |
| 総費用 |
45万円+消費税 |
| コメント |
当院で始めてインビザラインファーストで矯正したケースです。当院の歯科医師のお子さんを治療しました。日本矯正歯科学会のサイトには、マウスピース型矯正装置による治療の欠点として「小児や骨格性要因を含む症例には適さない。」と明記されています▶。 しかし、このケースでは、上下の顎は十分に拡大され、出っ歯も治っています。(※左上の犬歯の方向が悪いので、後期矯正を行う必要があるかもしれません) |
| 矯正にはリスク・副作用があります▶ | |
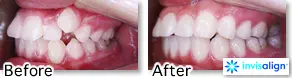
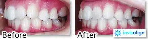
| 主訴 | 下あごが出ている |
|
|
|
| 診断 | 反対咬合 |
| 開始年齢 | 8才 |
| 矯正装置 | 拡大床、インビザライン |
| 抜歯部位 | 親知らずなし |
| 動的治療期間 | 6年6か月 |
| 総費用 |
80万円+消費税 |
| コメント |
最初に顎を拡大した後にインビザラインで矯正しました。日本矯正歯科学会のサイトには、マウスピース型矯正装置による治療の欠点として「小児や骨格性要因を含む症例には適さない。」と明記されています▶。 しかし、この小児の骨格性のケースでは、インビザライン治療はスムーズに成功しました。 |
| 矯正にはリスク・副作用があります▶ | |
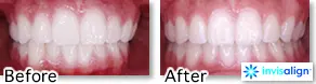
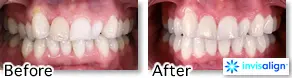
| 主訴 | 歯並び |
|
|
|
| 診断 | 叢生 |
| 開始年齢 | 12才 |
| 矯正装置 | マルチブラケット装置,インビザライン |
| 抜歯部位 | 下顎親知らず |
| 動的治療期間 |
エッジワイズ:4年1か月 インビザライン:1年9か月 |
| 総費用 | 94万円+消費税 |
| コメント | なんとか小臼歯を抜歯せずに矯正ができましたが、(歯にヤスリをかけて歯の幅を減らす=IPR)をしています。もっと早くから治療を開始したかったケースです。 |
| 矯正にはリスク・副作用があります▶ | |
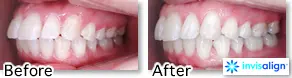
| 主訴 | 歯並びをもっとキレイにしたい |
|
|
|
| 診断 | 叢生 |
| 開始年齢 | 13才 |
| 矯正装置 | 拡大床、インビザライン |
| 抜歯部位 | 親知らず |
| 動的治療期間 | 2年10か月 |
| 総費用 | 88万円+消費税 |
| コメント | 当院でインビザラインを用いて治療した最初のケースです。簡単なケースから慎重に導入して着実に丁寧に実績を重ねてきました。 |
| 矯正にはリスク・副作用があります▶ | |
| 主訴 | 前歯を下げたい |
|
|
|
| 診断 | 上下顎前突 |
| 開始年齢 | 14才 |
| 矯正装置 | インビザライン |
| 抜歯部位 | 下の親知らず |
| 動的治療期間 | 2年1か月 |
| 総費用 |
737000円+消費税 |
| コメント | 従来の矯正なら抜歯矯正となるところでしたが、インビザライン矯正により、奥歯を後ろに動かす事で小臼歯を非抜歯で矯正できました。滋賀県からご通院の患者様でした。 |
| 矯正にはリスク・副作用があります▶ | |
| 主訴 | パーフェクトな歯並びにしたい |
|
|
|
| 診断 | 叢生 |
| 開始年齢 | 16才 |
| 矯正装置 | インビザライン |
| 抜歯部位 | 下顎親知らず |
| 動的治療期間 | 1年4か月 |
| 総費用 | 722000円+消費税 |
| コメント | 下の前歯の細かい部分までパーフェクトな歯並びを希望されたので、インビザラインで矯正しています。細かい部分の美しい仕上げはインビザラインが得意とするところです。 |
| 矯正にはリスク・副作用があります▶ | |
| 主訴 | パーフェクトな歯並びにしたい |
|
|
|
| 診断 | 叢生 |
| 開始年齢 | 16才 |
| 矯正装置 | インビザライン |
| 抜歯部位 | 下顎親知らず |
| 動的治療期間 | 1年8か月 |
| 総費用 | 726000円+消費税 |
| コメント | パーフェクトな歯並びを希望されたので、インビザラインで治療しています。細かい部分の美しい仕上げはインビザラインが得意とするところです。このケースはインビザライン公式サイトに掲載されています▶ |
| 矯正にはリスク・副作用があります▶ | |
| 主訴 | 前歯が出ている |
|
|
|
| 診断 | 上下顎前突 |
| 開始年齢 | 18才 |
| 矯正装置 | インビザライン |
| 抜歯部位 | 上下の親知らず |
| 動的治療期間 | 2年6か月 |
| 総費用 |
746000円+消費税 |
| コメント | 大臼歯を奥に動かし、少しだけ歯にヤスリをかけてスペースを作ってから前歯を下げています。(歯にヤスリをかけて歯の幅を減らす=IPR)IPR量は最小限になるようにこだわっていますので、奥歯を動かす量を多くしないといけません。そのため治療期間が長めになっています。 |
| 矯正にはリスク・副作用があります▶ | |
| 主訴 | 歯ならびをもっとキレイにしたい |
|
|
|
| 診断 | 右奥の咬合異常 |
| 開始年齢 | 19才 |
| 矯正装置 | インビザライン |
| 抜歯部位 | 下顎親知らず |
| 動的治療期間 | 2年1か月 |
| 総費用 | 737000円 +消費税 |
| コメント | パーフェクトな歯並びを希望されたので、インビザラインで治療しています。細かい部分の美しい仕上げはインビザラインが得意とするところです。右下の奥歯が起こされ、拡大されて、きれいに咬んでいます。下の前歯は2本足りないケースです。 |
| 矯正にはリスク・副作用があります▶ | |
| 主訴 | 左で咬んでいない |
|
|
|
| 診断 | 交叉咬合 |
| 開始年齢 | 20才 |
| 矯正装置 | マルチブラケット装置、インビザライン |
| 抜歯部位 | 下の親知らず(左下前歯1本は先天欠如) |
| 動的治療期間 |
マルチブラケット装置:1年1か月 インビザライン:4年8か月 |
| 総費用 |
90万円+消費税 |
| コメント | 交叉咬合をマルチブラケット装置とインビザラインで矯正しました。下の前歯が一本少ないケースです。 |
| 矯正にはリスク・副作用があります▶ | |
| 主訴 | 歯並びが気になる |
|
|
|
| 診断 | 軽度の叢生 |
| 開始年齢 | 28才 |
| 矯正装置 | インビザライン |
| 抜歯部位 | 下の8 |
| 動的治療期間 | 2年11か月 |
| 総費用 |
743000円+消費税 |
| コメント |
非常に熱心な方で歯並びの微妙な不正を治したいということで遠方から御来院されました。ご希望を詳細にお聞きして、それを反映させたマウスピースの設計を行いました。 |
| 矯正にはリスク・副作用があります▶ | |
| 主訴 | 歯並びが悪い |
|
|
|
| 診断 | 叢生 |
| 開始年齢 | 54才 |
| 矯正装置 | インビザライン |
| 抜歯部位 | 上下の親知らず |
| 動的治療期間 | 2年3か月 |
| 総費用 |
739000円+消費税 |
| コメント | 成人の方のインビザライン治療が増えてきました。成人の場合、骨格的に大きく変化させることが難しいので、後戻りを防ぐために保定が非常に大切になります。 |
| 矯正にはリスク・副作用があります▶ | |
| 主訴 | 前歯の見た目をなんとかしたい |
|
|
|
| 診断 | 交叉咬合 |
| 開始年齢 | 59才 |
| 装置 | インビザラインGo |
| 抜歯部位 | なし |
| 動的治療期間 | 8ヶ月 |
| 総費用 |
465000円+消費税 |
| コメント | インビザラインGoは使用できる枚数が少なく、奥歯が動かせないというハンディがありますが、このような簡単なケースであれば、そこそこの結果が出せるのかなと思いました。 |
| 矯正にはリスク・副作用があります▶ | |
当院の治療例はこちらからご覧いただけます。
治療費用の詳細はこちら
料金ページを見る











