Blog
-
未分類
永久歯が生えそろう時期まで前期治療を延長することもあります
「矯正」ではなく「咬合誘導」。成長を生かして、本来の噛み合わせを育てるという考え方 「○歳までに終わる矯正」や「1年半で完了」といった期間を区切る表現が多く見られます。 しかし、小児期の治療で重要なのは“どれだけ早く終わるか”ではなく、“どれだ... -
未分類
よく使うことで成長が増大します。
大阪府豊中市役所の東400mに位置する「こむら小児歯科・矯正歯科」は、1995年の開院以来、過剰な切削や不必要な抜歯に依存した治療に疑問を持ち、医学的根拠に基づく「本当に健康に資する歯科医療」を追求してきました。 こむら小児歯科・矯正歯科メインサ... -
未分類
矯正後の「後戻り」はなぜ起こる?原因とリスク、防ぐための4つのポイント (上の親知らずを抜かなかった場合)
後戻りってご存知ですか? 歯並びや噛み合わせの改善を目指して矯正治療を受けたあと、「きれいになった歯並びが少し戻ってきた気がする」と感じる方は少なくありません。時間と費用をかけて整えた歯並びが変化してしまうのは、誰にとっても納得しにくいこ... -
未分類
下の前歯が前に傾いていたら良くないのか?
患者さまの個性を大切にした歯列矯正を行います 美容整形が身近で手軽になってきた最近では、より美しい姿を目指して歯列矯正をスタートする方も増えています。自信が持てる自分になるため、努力を怠らないのは素晴らしいことだと思います。 しかし、いく... -
未分類
ティーン矯正で後悔しないための医院選びチェックリスト
ティーン矯正で後悔しないための医院選びチェックリスト ティーン矯正は、 「始める医院」で結果の大半が決まります。 ここでは、広告や雰囲気ではなく、 事実で判断するためのチェック項目をまとめました。 チェック① 診断の順序が守られているか □ セフ... -
未分類
ティーン矯正の費用と考え方
ティーン矯正の費用は、なぜ医院ごとに大きく違うのか 「同じインビザラインなのに、なぜここまで金額が違うのか」 これは、多くの保護者の方が感じる疑問です。 結論からお伝えすると、 費用の差は“装置の値段”ではなく、“どこまで責任を持つか”の差です... -
未分類
ティーン矯正のリスクと注意点
ティーン矯正のリスクと注意点|「始める前」に知っておくべき現実 ティーン矯正は、 成長を利用できる大きなメリットがある一方で、 大人とは違う特有のリスクも存在します。 ここでは、不安を煽るためではなく、 判断を誤らないための事実として整理しま... -
未分類
ワイヤー矯正とインビザラインは「同じ矯正」ではない(ティーン編)
ワイヤー矯正とインビザラインは「同じ矯正」ではありません どちらも「歯を動かす治療」であることは同じです。 しかし、歯をどう動かすか、何を基準に設計するかは、まったく異なります。 特にティーン矯正では、 成長途中の体にどんな力を与えるかが、... -
未分類
成功するティーン矯正の4条件(設計・装着・チェック・継続)
インビザライン成功の4条件|ティーン矯正は「装置」では決まらない インビザラインは、正しく使えば非常に精密な治療です。 しかし、「マウスピースだから安心」「デジタルだから正確」という理解だけでは、 うまくいかないケースが必ず出てきます。 ティ... -
未分類
CT診断で安全な設計を行う理由(ティーン版)
CT診断で安全な設計を行う理由|「動かせる範囲」を見誤らないために マウスピース矯正は、弱い力で精密に歯を動かせる治療です。 しかしそれは、安全域の中で設計されている場合に限るという前提があります。 ティーン矯正でも、成長を利用できる一方で、... -
未分類
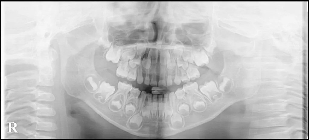
セファロ分析が必要な理由(ティーン)
セファロ分析が必要な理由|成長期の矯正で「最初に見るべきもの」 ティーンの矯正は、見えない装置を選べば自動でうまくいく治療ではありません。 本当に重要なのは、成長の段階を読み取り、安全域の中で設計し、途中でズレたら必ず修正できる道筋を先に... -
未分類
大人の矯正のリスク
```html 知っておくべき5つのリスク+1つの特徴 リスクを理解したうえで、適切な診断と設計のもとで治療を進めることが重要です ⚠️ はじめに 矯正治療は、歯並びと噛み合わせを改善する有効な治療法ですが、どんな医療にもリスクはあります。 大人の矯正で... -
未分類
治療後の保定について
後戻りを防ぐために最も重要なこと 保定期間は、矯正治療の結果を安定させるための重要な期間です ⚠️ 最も重要な事実 矯正治療は、歯が並んだ時点で「完了」ではありません。 保定を行わないと、後戻りが起こりやすくなります。 保定は治療結果を維持する... -
未分類
抜歯を避けたい方へ
非抜歯矯正の可能性と限界を正しく理解する 健康な歯を守りながら、状態に合った設計を検討します 当院の基本方針 当院では、その方の本来の歯並びと噛む力を守ることを重視しています。 なぜ抜歯を避けたいのか 抜歯に抵抗を感じる理由は、人それぞれです...