上下顎前突はかみ合わせとしては悪くないので、最近は、ワイヤーでの抜歯矯正ではなく、インビザラインで歯をヤスリで削る量を正確に決定し、できるだけ非抜歯で治療を行なっています。
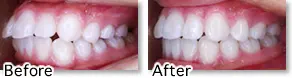
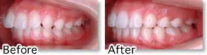
| 主訴 | 口元が出ている |
 |
| 診断 | 上下顎前突、過蓋咬合 |
| 開始年齢 | 9才 |
| 矯正装置 | 拡大床,マルチブラケット装置,パラタルバー,クアドヘリックス,リップバンパー, |
| 抜歯部位 | 上の4、下の5、親知らず |
| 動的治療期間 | 前期:9か月後期:2年9ヶ月 |
| 総費用 | 検証料+前期+後期基本料金¥486,000+管理料×来院回数 |
| コメント | 「口元が出ている」と来院されました。鼻があまり高くなくて上の前歯だけでなく、下の前歯が前に倒れていたので、前期矯正で上下の顎を拡大し、口元を下げるために後期矯正で小臼歯を4本抜歯してマルチブラケット装置で矯正しました。 |
| 矯正にはリスク・副作用があります▶ |
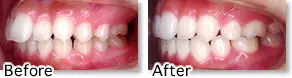
| 主訴 | 口元が出ている |
 |
| 診断 | 上下顎前突 |
| 開始年齢 | 10才 |
| 矯正装置 | マルチブラケット装置,ヘッドギア,パラタルバー |
| 抜歯部位 | 上下の4、親知らず(予定) |
| 動的治療期間 | 3年2か月 |
| 総費用 | 検証料+後期基本料金¥456,000+管理料×来院回数 |
| コメント | この方は鼻があまり高くなくて下の前歯が前に倒れていたので、口元を下げるために小臼歯を抜歯して矯正しました。拡大する必要がなかったので、もう少し後から開始しても良かったと思います。 |
| 矯正にはリスク・副作用があります▶ |
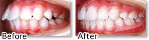
| 主訴 | 口元が出ている |
 |
| 診断 | 上下顎前突 |
| 開始年齢 | 11才 |
| 矯正装置 | マルチブラケット装置,ホールディングアーチ |
| 抜歯部位 | 上下の4、親知らず |
| 動的治療期間 | 2年4か月 |
| 総費用 | 検証料+後期基本料金¥456,000+管理料×来院回数 |
| コメント | この方は鼻は高かったのですが、前歯がかなり前に倒れていたので、口元を下げるために小臼歯を抜歯して矯正しました。ガタガタのない小臼歯抜歯のケースはこれくらいの年令から開始する事が多いです。 |
| 矯正にはリスク・副作用があります▶ |
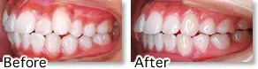
| 主訴 | 歯並びが悪い |
 |
| 診断 | 上下顎前突 |
| 開始年齢 | 11才 |
| 矯正装置 | マルチブラケット装置,パラタルバー,クアドヘリックス |
| 抜歯部位 | 上下の4、親知らず |
| 動的治療期間 | 2年8か月 |
| 総費用 | 検証料+後期基本料金¥456,000+管理料×来院回数 |
| コメント | 左右対称でかみ合わせも良いのですが、下の歯にガタガタがあり、しかも下の前歯が前に傾いていましたので、小臼歯を4本抜歯して矯正しました。奥歯もキレイに咬んでいます。 |
| 矯正にはリスク・副作用があります▶ |
| 主訴 | 口元が出ている |
 |
| 診断 | 上下顎前突 |
| 開始年齢 | 11才 |
| 矯正装置 | マルチブラケット装置,パラタルバー |
| 抜歯部位 | 上の4と下の5,上下の8 |
| 動的治療期間 | 3年1か月 |
| 総費用 | 検証料+後期基本料金¥456,000+管理料×来院回数 |
| コメント | 「口元が出ている」と来院されました。鼻があまり高くなく、前歯がかなり前に倒れていたので、口元を下げるために小臼歯を4本抜歯して矯正しました。 |
| 矯正にはリスク・副作用があります▶ |
| 主訴 | 唇が閉じにくい |
 |
| 診断 | 上下顎前突 |
| 開始年齢 | 11才 |
| 矯正装置 | マルチブラケット装置,ヘッドギア,パラタルバー |
| 抜歯部位 | 上下の4、親知らず |
| 動的治療期間 | 3年 |
| 総費用 | 検証料+後期基本料金¥456,000+管理料×来院回数 |
| コメント | 「唇が閉じにくい」と来院されました。かみ合わせはよく、それほどガタガタではなかったのですが、鼻があまり高くなくて前歯がかなり前に倒れていたので、口元を下げるために小臼歯を4本抜歯して矯正しました。 |
| 矯正にはリスク・副作用があります▶ |
| 主訴 | 歯並びが悪い、八重歯が気になる |
 |
| 診断 | 叢生、上下顎前突 |
| 開始年齢 | 11才 |
| 矯正装置 | マルチブラケット装置、リンガルアーチ |
| 抜歯部位 | 下の親知らず |
| 動的治療期間 | 4年1か月 |
| 総費用 | 検証料+後期基本料金¥456,000+管理料×来院回数 |
| コメント | 開始時期は少し遅めでしたが、比較的簡単なケースだったので早期矯正を行わずに第二期治療のみで小臼歯を非抜歯で前歯を下げて良好な咬み合わせを作ることができました。 |
| 矯正にはリスク・副作用があります▶ |
| 主訴 | |
 |
| 診断 | 上下額前突 |
| 開始年齢 | 11才 |
| 矯正装置 | マルチブラケット装置 |
| 抜歯部位 | 下の親知らず |
| 動的治療期間 | 2年7ヶ月 |
| 総費用 | 検証料+後期基本料金¥456,000+管理料×来院回数 |
| コメント | 当院の標準よりは開始年令が遅かったのですが、なんとか小臼歯非抜歯で治療できました。ただし下の前歯についてはヤスリで削って少し小さくしています。当院では、インビザライン以外のケースではできるだけ歯を削らずに矯正治療を行っています。 |
| 矯正にはリスク・副作用があります▶ |
| 主訴 | 歯が出ている |
 |
| 診断 | 上下顎前突、叢生 |
| 開始年齢 | 12才 |
| 矯正装置 | マルチブラケット装置,パラタルバー |
| 抜歯部位 | 上の1、下の5、親知らず |
| 動的治療期間 | 2年9か月 |
| 総費用 | 検証料+後期基本料金¥456,000+管理料×来院回数 |
| コメント | 打撲して折れた前歯2本を抜歯し、裏側に隠れて見えなかった健康な歯を前に出して矯正しました。低年令から始めても非抜歯では無理なケースです。 |
| 矯正にはリスク・副作用があります▶ |
| 主訴 | 歯並び |
 |
| 診断 | 上下顎前突、叢生 |
| 開始年齢 | 12才 |
| 矯正装置 | マルチブラケット装置,ヘッドギア |
| 抜歯部位 | 上の4、下の5、親知らず |
| 動的治療期間 | 4年3か月 |
| 総費用 | 検証料+後期基本料金¥456,000+管理料×来院回数 |
| コメント | 前期矯正に引き続いて後期矯正を行いました。ヘッドギアの協力が良く、成長を利用できたため、出っ歯+ガタガタという難しいケースでしたが、かみ合わせを良くすることができました。 |
| 矯正にはリスク・副作用があります▶ |
| 主訴 | 歯並びが出ている |
 |
| 診断 | 上下顎前突、叢生 |
| 開始年齢 | 12才 |
| 矯正装置 | マルチブラケット装置、ホールディングアーチ |
| 抜歯部位 | 上4、下5、親知らず |
| 動的治療期間 | 4年10か月 |
| 総費用 | 検証料+後期基本料金¥456,000+管理料×来院回数 |
| コメント | 低年令から開始しても非抜歯では無理なケースです。 「アゴを広げる+抜歯」でスペースを多く作る必要があります。現在はミニスクリューを用いるので期間は短縮できます。 |
| 矯正にはリスク・副作用があります▶ |
| 主訴 | 上下の顎がずれている |
 |
| 診断 | 上下顎前突 |
| 開始年齢 | 12才 |
| 矯正装置 | マルチブラケット装置,ヘッドギア,ホールディングアーチ |
| 抜歯部位 | 上下4、下親知らず |
| 動的治療期間 | 3年10か月 |
| 総費用 | 検証料+後期基本料金¥456,000+管理料×来院回数 |
| コメント | 上下の真ん中がズレていたので、修正に時間がかかりました。奥歯もキレイに咬んでいます。今なら右は上下の5,左は上の4と下の5を抜歯することで治療期間を短縮すると思います。 |
| 矯正にはリスク・副作用があります▶ |
| 主訴 | くちもとが出ている |
 |
| 診断 | 上下顎前突 |
| 開始年齢 | 12才 |
| 矯正装置 | マルチブラケット装置,パラタルバー |
| 抜歯部位 | 小臼歯、下顎親知らず |
| 動的治療期間 | 3年2か月 |
| 総費用 | 検証料+後期基本料金¥456,000+管理料×来院回数 |
| コメント | 来院キャンセルが多く、時間がかかってしまいました。 |
| 矯正にはリスク・副作用があります▶ |
| 主訴 | 口元が出ている |
 |
| 診断 | 上下顎前突 |
| 開始年齢 | 12才 |
| 矯正装置 | マルチブラケット装置、ヘッドギア、パラタルバー、クアドヘリックス |
| 抜歯部位 | 上の4と下の5、親知らず |
| 動的治療期間 | 3年11か月 |
| 総費用 | 検証料+後期基本料金¥456,000+管理料×来院回数 |
| コメント | 最初は、拡大して、小臼歯非抜歯でトライしましたが、口元を下げるために上下の小臼歯を抜歯して矯正を行いました。 |
| 矯正にはリスク・副作用があります▶ |
| 主訴 | 永久歯が足りない |
 |
| 診断 | 上下顎前突、下顎小臼歯欠如 |
| 開始年齢 | 12才 |
| 装置 | マルチブラケット装置,パラタルバー, |
| 抜歯部位 | 上顎小臼歯、下顎乳臼歯、親知らず(舌小帯切除) |
| 動的治療期間 | 2年7か月 |
| 総費用 | 検証料+後期基本料金¥456,000+管理料×来院回数 |
| コメント | 口元が出ていた上に、下の前から5番目の歯が元々なかったので、右上の前から4番目、左上の前から5番目の歯と残っていた下の乳歯左右2本を抜歯して並べました。 |
| 矯正にはリスク・副作用があります▶ |
| 主訴 | 口元が出ている |
 |
| 診断 | 上下顎前突 |
| 開始年齢 | 13才 |
| 矯正装置 | マルチブラケット装置,ホールディングアーチ,バイトプレート |
| 抜歯部位 | 上の4,右下の4、左下の5,上下の8 |
| 動的治療期間 | 2年7か月 |
| 総費用 | 検証料+後期基本料金¥456,000+管理料×来院回数 |
| コメント | 上下の顎の前後的なズレが大きく、下の前歯が前方に傾斜していたため。小臼歯を抜歯して矯正を行いました。途中でかみ合せが深くなったのでバイトプレートを使用しました。 |
| 矯正にはリスク・副作用があります▶ |
| 主訴 | 口元が出ている |
 |
| 診断 | 上下顎前突 |
| 開始年齢 | 13才 |
| 矯正装置 | マルチブラケット装置,ヘッドギア,パラタルバー |
| 抜歯部位 | 上下の4、親知らず |
| 動的治療期間 | 2年6か月 |
| 総費用 | 検証料+後期基本料金¥456,000+管理料×来院回数 |
| コメント | 下の前歯が前傾していて口元を下げる場合は、小臼歯を抜歯しないといけないことが多いです。 |
| 矯正にはリスク・副作用があります▶ |
| 主訴 | 歯並び |
 |
| 診断 | 上下顎前突 |
| 開始年齢 | 13才 |
| 矯正装置 | マルチブラケット装置 |
| 抜歯部位 | 親知らず |
| 動的治療期間 | 1年6か月 |
| 総費用 | 検証料+後期基本料金¥456,000+管理料×来院回数 |
| コメント | 少し拡大して親知らずを抜歯して、比較的短期間に終わりました。 |
| 矯正にはリスク・副作用があります▶ |
| 主訴 | |
 |
| 診断 | 上下顎前突 |
| 開始年齢 | 14才 |
| 矯正装置 | マルチブラケット装置,パラタルバー,リンガルアーチ |
| 抜歯部位 | 小臼歯、親知らず |
| 動的治療期間 | 2年4か月 |
| 総費用 | 検証料+後期基本料金¥456,000+管理料×来院回数 |
| コメント | 小臼歯を抜歯するケースの場合、これくらいの年齢から始めても問題ない場合が多いです。 |
| 矯正にはリスク・副作用があります▶ |
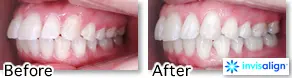
| 主訴 | 前歯が出ている |
 |
| 診断 | 上下顎前突 |
| 開始年齢 | 18才 |
| 矯正装置 | インビザライン |
| 抜歯部位 | 上下の親知らず |
| 動的治療期間 | 2年6か月 |
| 総費用 | 650,700円 |
| コメント | 大臼歯を奥に動かし、少しだけ歯にヤスリをかけてスペースを作ってから前歯を下げています。歯にヤスリをかける量を最小限になるようにこだわっていますので、奥歯を動かす量は多くしないといけません。そのため治療期間が長めになっています。 |
| 矯正にはリスク・副作用があります▶ |
当院の治療例はこちらからご覧いただけます。
当院の症例を見る