日本ではメジャーではありませんが、古くからある矯正治療法です。永久歯を28本残して矯正ができます。上の7番目の歯の抜歯が保険適応にならないため、日本ではあまり行われてきませんでした。
下顎の親知らずは骨の中に深く埋まっており、横向きに成長する場合は、矯正するしないにかかわらず、抜歯を推奨する場合がほとんどです。小臼歯を抜くことなく良い結果が得られるので、ケースによっては有力な選択肢になります。
👉 専門用語について
| 主訴 | |
|
|
|
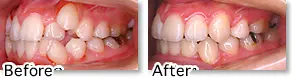
| 診断 | 上顎前突 |
| 開始年齢 | 10才 |
| 矯正装置 | マルチブラケット矯正装置、パラタルバー、ヘッドギア、リンガルアーチ |
| 抜歯部位 |
左上第二大臼歯、下顎親知らず |
| 動的治療期間 | 4年4か月 |
| 総費用 | 検証料+後期基本料金¥456,000+管理料×来院回数 |
| コメント | 小臼歯は抜かずに 左上の第二大臼歯を抜歯して矯正しました(クリックで動画が開きます)。親知らずの萌出を待ったため、時間がかかりました。現在ならインビザラインでもっと短期間で治療が可能です。 |
| 矯正にはリスク・副作用があります▶ | |
| 主訴 | |
|
|
|
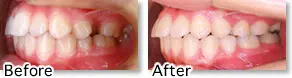
| 診断 | 叢生、過蓋咬合 |
| 開始年齢 | 10才女性 |
| 矯正装置 | 拡大床、マルチブラケット矯正装置、バイヘリックス |
| 抜歯部位 | 上顎第二大臼歯、下顎親知らず |
| 動的治療期間 | 4年11か月 |
| 総費用 | 検証料+前期+後期基本料金¥486,000+管理料×来院回数 |
| コメント |
とても顔が小さく、スペースが足りなかったので、上の前から7番目の歯と下の親知らずを抜いて、小臼歯は抜かずに並べました。 尾島先生の動画もご覧下さい。(クリックで動画が開きます) 現在ならインビザラインでもっと短期間で治療が可能です。今ならIPR(歯と歯の間をヤスリで削って歯の幅を狭くする)を行い、もっと精密に仕上げることができます。 |
| 矯正にはリスク・副作用があります▶ | |
| 主訴 | |
|
|
|
| 診断 | 上顎前突、過蓋咬合 |
| 開始年齢 | 11才 |
| 矯正装置 | マルチブラケット矯正装置、 |
| 抜歯部位 | 上顎第二大臼歯、親知らず |
| 動的治療期間 | 3年6か月 |
| 総費用 | 検証料+後期基本料金¥456,000+管理料×来院回数 |
| コメント |
上の第二大臼歯を抜歯して矯正しました。他は下の親しらずしか抜いていないので歯は全部で28本残っています。深かった咬み合わせが浅くなり安定しています。尾島先生の動画もご覧下さい(クリックで動画が開きます) 現在ならインビザラインでもっと短期間で治療が可能です。今ならIPR(歯と歯の間をヤスリで削って歯の幅を狭くする)を行い、もっと精密に仕上げることができます。 |
| 矯正にはリスク・副作用があります▶ | |
| 主訴 | |
|
|
|
| 診断 | 叢生 |
| 開始年齢 | 13才 |
| 矯正装置 | マルチブラケット矯正装置、パラタルバー |
| 抜歯部位 | 上下顎小臼歯、上顎第二大臼歯、下顎親知らず |
| 動的治療期間 | 3年7か月 |
| 総費用 | 検証料+後期基本料金¥456,000+管理料×来院回数 |
| コメント | 難しいケースは、「アゴを広げる+抜歯」でスペースを多く作る必要があるため時間がかかります。正直なところ、もう少し早く開始したかったケースです。奥歯もキレイに咬んでいます。現在ならインビザラインでもっと短期間で治療が可能です。 |
| 矯正にはリスク・副作用があります▶ | |
| 主訴 | |
|
|
|
| 診断 | 反対咬合 |
| 開始年齢 | 13才 |
| 矯正装置 | マルチブラケット装置 |
| 抜歯部位 | 上顎第二大臼歯、下顎親知らず |
| 動的治療期間 | 3年4か月 |
| 総費用 | 検証料+後期基本料金¥456,000+管理料×来院回数 |
| コメント | 男子で受け口の場合、最低でも18歳までは経過を見る必要があります。奥歯もキレイに咬んでいます。現在ならインビザラインでもっと短期間で治療が可能です。 |
| 矯正にはリスク・副作用があります▶ | |
| 主訴 | |
|
|
|
| 診断 | 反対咬合 |
| 開始年齢 | 13才 |
| 矯正装置 | マルチブラケット装置 |
| 抜歯部位 | 上顎第二大臼歯、下顎親知らず |
| 動的治療期間 | 5年 |
| 総費用 | 検証料+後期基本料金¥456,000+管理料×来院回数 |
| コメント |
上の第二大臼歯と下の親知らずを抜いて、下の歯列を奥に動かしています。 現在ならインビザラインでもっと短期間で治療が可能です。今ならIPR(歯と歯の間をヤスリで削って歯の幅を狭くする)を行い、もっと精密に仕上げることができます。 |
| 矯正にはリスク・副作用があります▶ | |
| 主訴 | |
|
|
|
| 診断 | 叢生 |
| 開始年齢 | 15才 |
| 矯正装置 | マルチブラケット装置 |
| 抜歯部位 | 上顎第二大臼歯、下顎親知らず |
| 動的治療期間 | 2年10か月 |
| 総費用 | 検証料+後期基本料金¥456,000+管理料×来院回数 |
| コメント |
拡大が不要な抜歯ケースの場合は、これくらいの年齢から開始しても全く問題ありません。こういうケースでは多くの矯正歯科医は上の5番目の歯を抜いて治療します。しかし、そうすると歯の総本数が減ってしまいます。 現在ならインビザラインでもっと短期間で治療が可能です。今ならIPR(歯と歯の間をヤスリで削って歯の幅を狭くする)を行い、もっと精密に仕上げることができます。 |
| 矯正にはリスク・副作用があります▶ | |
| 主訴 | |
|
|
|
| 診断 | 叢生 |
| 開始年齢 | 15才 |
| 矯正装置 | マルチブラケット装置 |
| 抜歯部位 | 上顎第二大臼歯、下顎親知らず |
| 動的治療期間 | 2年7か月 |
| 総費用 | 検証料+後期基本料金¥456,000+管理料×来院回数 |
| コメント |
このケースは骨格的な条件が非常に良かったのでこの年齢でも小臼歯非抜歯でうまく矯正ができました。こういうケースでは多くの矯正医は4番目の歯を4本抜いて治療します。しかし、それでは歯の総本数が減ってしまいます。 現在ならインビザラインでもっと短期間で治療が可能です。 |
| 矯正にはリスク・副作用があります▶ | |
| 主訴 | |
|
|
|
| 診断 | 叢生 |
| 開始年齢 | 16才 |
| 矯正装置 | マルチブラケット装置 |
| 抜歯部位 | 上顎第二大臼歯、下顎親知らず |
| 動的治療期間 | 3年5か月 |
| 総費用 |
検証料+後期基本料金¥456,000+管理料×来院回数 |
| コメント |
上の第二大臼歯を抜歯し、小臼歯は非抜歯で矯正しました。そのため、最終的に永久歯は28本残すことができました。 現在ならインビザラインでもっと短期間で治療が可能です。今ならIPR(歯と歯の間をヤスリで削って歯の幅を狭くする)を行い、もっと精密に仕上げることができます。 |
| 矯正にはリスク・副作用があります▶ | |
当院の治療例はこちらからご覧いただけます。
治療費用の詳細はこちら
料金ページを見る







