現在は、歯性の下顎前突のみをお引き受けしています。
| 主訴 | |
|
|
|
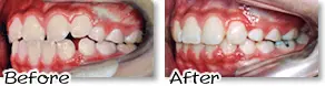
| 診断 | 反対咬合 |
| 開始年齢 | 6才 |
| 矯正装置 | マルチブラケット装置、リンガルアーチ、チンキャップ |
| 抜歯部位 | 下の8 |
| 動的治療期間 | 2年2か月 |
| 総費用 | 検証料+前期基本料金¥286,000+管理料×来院回数 |
| コメント | 下の前歯に上の前歯が抑えこまれて上顎の発育の妨げになっているので早期の矯正が必要なケースでした。骨格的な受け口ではないケースです。歯の交換を待って、必要があれば、奥歯も含めた仕上げの後期矯正を行います。 |
| 矯正にはリスク・副作用があります▶ | |
| 主訴 | |
|
|
|
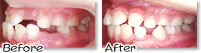
| 診断 | 反対咬合 |
| 開始年齢 | 6才 |
| 矯正装置 | 拡大床、リンガルアーチ |
| 抜歯部位 | |
| 動的治療期間 | 8か月 |
| 総費用 | 検証料+前期基本料金¥210,000+管理料×来院回数 |
| コメント | 下の前歯に上の前歯が抑えこまれて上顎の発育の妨げになっているので早期の矯正が必要です。骨格的な受け口ではないケースです。歯の交換を待って、必要があれば、奥歯も含めた仕上げの後期矯正を行います。 |
| 矯正にはリスク・副作用があります▶ | |
| 主訴 | |
|
|
|
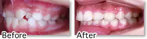
| 診断 | 反対咬合 |
| 開始年齢 | 6才 |
| 矯正装置 | 拡大床、マルチブラケット装置、クアドヘリックス、ムーシールド、 |
| 抜歯部位 | 下の8(予定) |
| 動的治療期間 | 7年3ヶ月(5年9か月) |
| 総費用 | 検証料+前期基本料金¥286,000+管理料×来院回数 |
| コメント | 骨格的に受け口のケースではありませんでしたが、舌小帯が短いため、延長手術を行いました。途中、未来院の期間が数年ありました。前期矯正のみだったので、歯の細かい角度には問題があり、個人的には後期矯正が必要なケースだと思います。 |
| 矯正にはリスク・副作用があります▶ | |
| 主訴 | |
|
|
|
| 診断 | 反対咬合 |
| 開始年齢 | 7才 |
| 矯正装置 | マルチブラケット装置、リンガルアーチ、T4K(マイオブレース) |
| 抜歯部位 | (舌小帯切除) |
| 動的治療期間 | 4年3か月 |
| 総費用 | 検証料+前期基本料金¥286,000+管理料×来院回数 |
| コメント | 前期矯正のみで治りました。途中で東京に転居されましたが、数ヶ月に一度の来院で治療が完了できました。途中経過の写真をメールでご送付いただいたり、緊急時には転居先の近隣の歯科医に装置をはずしてもらったりとお世話になりました。簡単なケースの矯正で、インビザラインやマイオブレースという取り外しの装置であれば、転居されても年に4〜5回お越し頂ければ継続して治療を行うことができます。 |
| 矯正にはリスク・副作用があります▶ | |
| 主訴 | 下あごが出ている |
|
|
|
| 診断 | 反対咬合 |
| 開始年齢 | 7才 |
| 矯正装置 | 拡大床、マルチブラケット装置、クアドヘリックス |
| 抜歯部位 | 下の8(上の8なし) |
| 動的治療期間 | 7年3か月 |
| 総費用 |
検証料+前期+後期基本料金¥486,000+管理料×来院回数 |
| コメント | 下顎の成長を見極める必要があったため、期間は長くなりましたが、小臼歯非抜歯で矯正できました。前歯が反対に咬んでいるケースは上の顎をかなり大きくする必要があるためできるだけ早く開始した方が良いと思います。 |
| 矯正にはリスク・副作用があります▶ | |
| 主訴 | 前歯が気になる |
|
|
|
| 診断 | 叢生、下顎前突 |
| 開始年齢 | 7才 |
| 矯正装置 | 拡大床、マルチブラケット装置、クアドヘリックス、リンガルアーチ |
| 抜歯部位 | 下の親知らず |
| 動的治療期間 | 7年6か月 |
| 総費用 |
検証料+前期+後期基本料金¥486,000+管理料×来院回数 |
| コメント | 小さいときから顎を拡大し、前期矯正+後期矯正のケースになります。時間はかかりましたが、小臼歯を抜かずに受け口を治療する事ができました。 |
| 矯正にはリスク・副作用があります▶ | |
| 主訴 | |
|
|
|
| 診断 | 反対咬合 |
| 開始年齢 | 8才 |
| 矯正装置 | マルチブラケット装置、クアドヘリックス、チンキャップ |
| 抜歯部位 | 親知らず |
| 動的治療期間 | 1年 |
| 総費用 | 検証料+前期¥286,000+管理料×来院回数 |
| コメント | ピッタリの開始時期だったと思います。奥歯も含めた仕上げの矯正は不要でした。簡単なケースの場合、トータルプライス制の矯正歯科医院だと費用が余分にかかります。 |
| 矯正にはリスク・副作用があります▶ | |
| 主訴 | |
|
|
|
| 診断 | 反対咬合 |
| 開始年齢 | 8才 |
| 矯正装置 | 拡大床、マルチブラケット装置、チンキャップ |
| 抜歯部位 | 上下の8 |
| 動的治療期間 | 11か月 |
| 総費用 | 検証料+前期基本料金¥286,000+管理料×来院回数 |
| コメント | 骨格的にはそれほど受け口ではなく、下の前歯が前に倒れているケースで簡単なケースだったので短期間で終了できました。必要があれば、奥歯も含めた仕上げの矯正を行います。 |
| 矯正にはリスク・副作用があります▶ | |
| 主訴 | |
|
|
|
| 診断 | 反対咬合、叢生 |
| 開始年齢 | 8才 |
| 矯正装置 | マルチブラケット装置、パラタルバー、クアドヘリックス、バイヘリックス |
| 抜歯部位 | 親知らず |
| 動的治療期間 | 5年 |
| 総費用 | 検証料+前期+後期基本料金¥486,000+管理料×来院回数 |
| コメント | 前期矯正+後期治療のため時間はかかりましたが、小臼歯は非抜歯で歯を28本残して治療できました。奥歯もキレイに咬んでいます。下の歯はIPRといってヤスリで歯の幅を少しずつ削って並べています。 |
| 矯正にはリスク・副作用があります▶ | |
| 主訴 | |
|
|
|
| 診断 | 反対咬合 |
| 開始年齢 | 8才 |
| 矯正装置 | ヘッドギア、リンガルアーチ |
| 抜歯部位 | 上下の8(予定) |
| 動的治療期間 | 6か月 |
| 総費用 | 検証料+前期¥210,000+管理料×来院回数 |
| コメント | 骨格的に受け口のケースでした。治療開始はもう少し早い方が良いと思います。後に、奥歯も含めた仕上げの矯正を行います。ただ、下顎が過成長し外科矯正の必要があれば、顎変形症の矯正を保険で行うことができる指定医療機関▶にご紹介させていただくことになります。 |
| 矯正にはリスク・副作用があります▶ | |
| 主訴 | |
|
|
|
| 診断 | 反対咬合 |
| 開始年齢 | 8才 |
| 矯正装置 | 拡大床、マルチブラケット装置 |
| 抜歯部位 | 下の8 |
| 動的治療期間 | 1年7か月 |
| 総費用 | 検証料+前期基本料金¥286,000+管理料×来院回数 |
| コメント | 骨格的な受け口のケースではありませんでした。上の顎を拡大して、部分的にマルチブラケット装置を使用しました。奥歯のズレがありますので奥歯も含めた仕上げの矯正を行った方が望ましいと思います。 |
| 矯正にはリスク・副作用があります▶ | |
| 主訴 | |
|
|
|
| 診断 | 反対咬合 |
| 開始年齢 | 8才 |
| 矯正装置 | マルチブラケット装置 |
| 抜歯部位 | 上下の8(予定) |
| 経過観察期間 | 4年11か月 |
| 動的治療期間 | 11か月 |
| 総費用 | 検証料+前期基本料金¥152,000+管理料×来院回数 |
| コメント | 骨格性の受け口ではありませんでした。このままだと左下の前歯に負担がかかるので早期の改善が望ましいケースです。個人的には前から5番目の歯のかみ合わせも改善するために後期矯正が望ましいと思います。 |
| 矯正にはリスク・副作用があります▶ | |
| 主訴 | |
|
|
|
| 診断 | 反対咬合 |
| 開始年齢 | 8才 |
| 矯正装置 | リンガルアーチ、ムーシールド |
| 抜歯部位 | 上下の8(予定) |
| 動的治療期間 | 10か月 |
| 総費用 | 検証料+前期基本料金¥210,000+管理料×来院回数 |
| コメント | 骨格的に受け口のケースではありませんでした。筋機能訓練も行いました。前から4番目の歯が手前に傾いているので、歯の奥歯も含めた仕上げの後期矯正が望ましいです。 |
| 矯正にはリスク・副作用があります▶ | |
| 主訴 | |
|
|
|
| 診断 | 反対咬合 |
| 開始年齢 | 8才 |
| 矯正装置 | 拡大床、マルチブラケット装置、リンガルアーチ |
| 抜歯部位 | 上下の8(予定) |
| 動的治療期間 | 2年 |
| 総費用 | 検証料+前期基本料金¥286,000+管理料×来院回数 |
| コメント | 骨格的には少し受け口傾向が予想されました。ピッタリの開始時期だったと思います。必要があれば、奥歯も含めた仕上げの後期矯正を行います。 |
| 矯正にはリスク・副作用があります▶ | |
| 主訴 | 下あごが出ている |
|
|
|
| 診断 | 反対咬合 |
| 開始年齢 | 8才 |
| 矯正装置 | 拡大床、インビザライン |
| 抜歯部位 | 親知らずなし |
| 動的治療期間 | 6年6か月 |
| 総費用 |
検証料+前期+後期基本料金¥680,000+管理料×来院回数 |
| コメント | 最初に顎を拡大した後にインビザラインで矯正しました。マウスピースの装着に大変協力が得られたため治療はスムーズに終了しました。/td> |
| 矯正にはリスク・副作用があります▶ | |
| 主訴 | 前歯のかみ合わせ |
|
|
|
| 診断 | 叢生、反対咬合 |
| 開始年齢 | 8才 |
| 矯正装置 | 拡大床、マルチブラケット装置、クアドヘリックス |
| 抜歯部位 | 下の親知らず |
| 動的治療期間 | 前期1年9か月、後期2年11か月 |
| 総費用 |
検証料+前期+後期基本料金¥486,000+管理料×来院回数 |
| コメント | 骨格的に受け口のケースではありませんでした。前期矯正+後期矯正を行いました。 |
| 矯正にはリスク・副作用があります▶ | |
| 主訴 | |
|
|
|
| 診断 | 受け口 |
| 開始年齢 | 8才 |
| 矯正装置 | 拡大装置、マルチブラケット装置 |
| 抜歯部位 | 親知らず |
| 動的治療期間 | 前期:1年3ヶ月 後期:1年9ヶ月 |
| 総費用 |
検証料+前期+後期基本料金¥486,000+管理料×来院回数 |
| コメント | 前期治療で受け口を治して、13歳から後期治療で歯のガタガタを治しました |
| 矯正にはリスク・副作用があります▶ | |
| 主訴 | 受け口、歯並び |
|
|
|
| 診断 | 反対咬合、叢生 |
| 開始年齢 | 9才 |
| 矯正装置 | 拡大床、マルチブラケット装置 |
| 抜歯部位 | 上下の8 |
| 動的治療期間 | 前期:2年4か月、後期:2年9か月 |
| 総費用 | 検証料+前期+後期基本料金¥486,000+管理料×来院回数 |
| コメント | 前期矯正で顎を広げた結果、後期矯正で無理なく非抜歯で矯正できました。このケースは下顎は装置を付けていません。 |
| 矯正にはリスク・副作用があります▶ | |
| 主訴 | 受け口、歯並び |
|
|
|
| 診断 | 叢生、反対咬合 |
| 開始年齢 | 9才 |
| 矯正装置 | 拡大床、マルチブラケット装置 |
| 抜歯部位 | 下の8の予定 |
| 動的治療期間 | 1年11か月 |
| 総費用 | 検証料+前期基本料金¥286,000+管理料×来院回数 |
| コメント | 前期矯正のみ行いました。引き続き後期矯正を行って小臼歯の咬み合わせも整えた方が良いケースです。 |
| 矯正にはリスク・副作用があります▶ | |
| 主訴 | 受け口 |
|
|
|
| 診断 | 受け口 |
| 開始年齢 | 9才 |
| 矯正装置 | 拡大装置、リンガルアーチ、マルチブラケット装置 |
| 抜歯部位 | 上下の8(予定) |
| 動的治療期間 | 6年9ヶ月 |
| 総費用 | 検証料+前期+後期基本料金¥486,000+管理料×来院回数 |
| コメント | 骨格的に受け口のケースではありませんでした。前期矯正+後期矯正を行いました。 |
| 矯正にはリスク・副作用があります▶ | |
| 主訴 | |
|
|
|
| 診断 | 反対咬合 |
| 開始年齢 | 10才 |
| 矯正装置 | 拡大床、マルチブラケット装置、クアドヘリックス |
| 抜歯部位 | 上下の8(予定) |
| 動的治療期間 | 2年4か月 |
| 総費用 | 検証料+前期基本料金¥286,000+管理料×来院回数 |
| コメント | 上下の顎を拡大し、前歯に部分的にマルチブラケット装置を使用しました。今後、必要があれば、奥歯を含めた仕上げの矯正を行った方が良いと思います。 |
| 矯正にはリスク・副作用があります▶ | |
| 主訴 | |
|
|
|
| 診断 | 1歯反対咬合 |
| 開始年齢 | 10才 |
| 矯正装置 | マルチブラケット装置 |
| 抜歯部位 | 上下の8 |
| 動的治療期間 | 1年1か月 |
| 総費用 | 検証料+前期¥114,000+管理料×来院回数 |
| コメント | 前期治療+筋機能訓練だけで奥歯もキレイに並びましたので、後期矯正は必要ないと思います。こういうケースはトータルプライス制の矯正医院だと費用が必要以上にかかります。 |
| 矯正にはリスク・副作用があります▶ | |
| 主訴 | |
|
|
|
| 診断 | 1歯反対咬合、叢生 |
| 開始年齢 | 10才 |
| 矯正装置 | マルチブラケット装置、パラタルバー、クアドヘリックス |
| 抜歯部位 | 小臼歯 |
| 動的治療期間 | 前期:1年5か月、後期:3年6か月 |
| 総費用 | 検証料+前期+後期基本料金¥486,000+管理料×来院回数 |
| コメント | このケースは顎を拡げた上だけではスペースが足りず、抜歯してようやく並びました。元々のかみ合わせが悪く、矯正の途中で顎の痛みも出ました。このようなケースは7歳前後から開始した方が望ましいです。 |
| 矯正にはリスク・副作用があります▶ | |
| 主訴 | |
|
|
|
| 診断 | 1歯反対咬合、叢生、過蓋咬合 |
| 開始年齢 | 10才 |
| 矯正装置 | 拡大床、マルチブラケット装置、クアドヘリックス、リンガルアーチ |
| 抜歯部位 | (下顎親知らず先天欠如) |
| 動的治療期間 | 5年9か月 |
| 総費用 | 検証料+前期+後期基本料金¥486,000+管理料×来院回数 |
| コメント | 前期矯正として上の顎を拡大して、引っかかっていた前歯を前に出した後に下の顎を拡大し、後期でマルチブラケット装置を用いて小臼歯を非抜歯で矯正しました。期間は長くなりましたが、歯を削ったり抜いたりせずにきれいに並べることができました。 |
| 矯正にはリスク・副作用があります▶ | |
| 主訴 | 歯並び |
|
|
|
| 診断 | 叢生、反対咬合 |
| 開始年齢 | 10才 |
| 矯正装置 | マルチブラケット装置、クアドヘリックス |
| 抜歯部位 | 下の8、上の8は欠損 |
| 動的治療期間 | 4年1か月 |
| 総費用 | 検証料+後期基本料金¥456,000+管理料×来院回数 |
| コメント | 上の顎を広げ、下の親しらずを抜歯して、右下の3本の歯にヤスリをかけて幅を小さくし、下の奥歯を後ろに移動することで歯は28本残しながら並べることができました。 |
| 矯正にはリスク・副作用があります▶ | |
| 主訴 | 受け口、歯並び |
|
|
|
| 診断 | 反対咬合、叢生 |
| 開始年齢 | 13才 |
| 矯正装置 | マルチブラケット装置,ホールディングアーチ |
| 抜歯部位 | 小臼歯、親知らず(予定) |
| 動的治療期間 | 1年11か月 |
| 総費用 | 検証料+後期基本料金¥456,000+管理料×来院回数 |
| コメント | 顎が小さく、口元が出ていて、下の前歯が前に傾斜しているため、小臼歯を抜歯して矯正しました。 |
| 矯正にはリスク・副作用があります▶ | |
| 主訴 | |
|
|
|
| 診断 | 反対咬合、叢生 |
| 開始年齢 | 12才 |
| 矯正装置 | マルチブラケット装置 |
| 抜歯部位 | 下顎親知らず |
| 動的治療期間 | 1年 |
| 総費用 | 検証料+後期基本料金¥456,000+管理料×来院回数 |
| コメント | 早く開始したかったのですが、虫歯が多かったので待ちました。その後、下顎が過成長したため外科矯正が必要となり転医となりました。 |
| 矯正にはリスク・副作用があります▶ | |
| 主訴 | |
|
|
|
| 診断 | 1歯反対咬合 |
| 開始年齢 | 12才 |
| 矯正装置 | マルチブラケット装置 |
| 抜歯部位 | 下顎親知らず |
| 動的治療期間 | 1年9か月 |
| 総費用 | 検証料+後期基本料金¥456,000+管理料×来院回数 |
| コメント | 簡単なケースだったので12歳から始めても早く終わりました。 |
| 矯正にはリスク・副作用があります▶ | |
| 主訴 | |
|
|
|
| 診断 | 反対咬合 |
| 開始年齢 | 12才 |
| 矯正装置 | マルチブラケット装置 |
| 抜歯部位 | (下顎親知らず先天欠如) |
| 動的治療期間 | 1年10か月 |
| 総費用 | 検証料+後期基本料金¥456,000+管理料×来院回数 |
| コメント | 骨格的には多少受け口のケースでしたが、下の前歯が前方に傾斜し、上の顎の幅も十分にあり、下の親知らずがないと条件が揃っていたので比較的、短期間で終わりました。 |
| 矯正にはリスク・副作用があります▶ | |
| 主訴 | 受け口、歯並び |
|
|
|
| 診断 | 反対咬合、叢生 |
| 開始年齢 | 13才 |
| 矯正装置 | マルチブラケット装置,ホールディングアーチ |
| 抜歯部位 | 小臼歯、親知らず(予定) |
| 動的治療期間 | 1年11か月 |
| 総費用 | 検証料+後期基本料金¥456,000+管理料×来院回数 |
| コメント | 顎が小さく、口元が出ていて、下の前歯が前に傾斜しているため、小臼歯を抜歯して矯正しました。抜歯のケースとしてピッタリの時期に開始できました。奥歯もキレイに咬んでいます。 |
| 矯正にはリスク・副作用があります▶ | |
| 主訴 | |
|
|
|
| 診断 | 反対咬合 |
| 開始年齢 | 13才 |
| 矯正装置 | マルチブラケット装置 |
| 抜歯部位 | 上顎第二大臼歯、下顎親知らず |
| 動的治療期間 | 3年4か月 |
| 総費用 | 検証料+後期基本料金¥456,000+管理料×来院回数 |
| コメント | 骨格的にやや受け口でしたので、もう少し早くから始めたかったケースです。骨格的な受け口の場合、身長の伸びが止まるまで油断できないので、最低でも18歳までは経過を見る必要があります。上の顎が小さく、上の7の向きがおかしかったので親知らずの代わりに7を抜歯しました。 |
| 矯正にはリスク・副作用があります▶ | |
| 主訴 | |
|
|
|
| 診断 | 反対咬合 |
| 開始年齢 | 13才 |
| 矯正装置 | マルチブラケット装置、インプラントアンカー |
| 抜歯部位 | 上顎第二大臼歯、下顎親知らず |
| 動的治療期間 | 5年 |
| 総費用 | 検証料+後期基本料金¥456,000+管理料×来院回数 |
| コメント | 骨格的には受け口ではなく、やや上の顎が小さいという状態でした。上の第二大臼歯と下の親知らずを抜いて、下の歯列を奥に動かしています。こういうケースで小臼歯を抜歯すると往々にして口元が下がりすぎた顔貌になりがちです。 |
| 矯正にはリスク・副作用があります▶ | |
| 主訴 | 前歯が気になる |
|
|
|
| 診断 | 下顎前突 |
| 開始年齢 | 17才 |
| 矯正装置 | マルチブラケット装置、クアドヘリックス |
| 抜歯部位 | なし(親知らず先天欠如) |
| 動的治療期間 | 3年 |
| 総費用 |
検証料+後期基本料金¥456,000+管理料×来院回数 |
| コメント | 受け口だったのですが、骨格的にはそれほど問題がなかったので、簡単に直りました。 |
| 矯正にはリスク・副作用があります▶ | |
当院の治療例はこちらからご覧いただけます。
治療費用の詳細はこちら
料金ページを見る































